Skip to main content

UBE2M/Ubc12 Antibody - BSA Free

Novus Biologicals, part of Bio-Techne | Catalog # NBP2-49268

Catalog #
Availability
Size / Price
Qty
Loading...
NBP2-49268

Key Product Details

Validated by

Independent Antibodies

Species Reactivity

Validated:

Human

Predicted:

Mouse (100%), Rat (100%). Backed by our 100% Guarantee.

Applications

Immunohistochemistry, Immunohistochemistry-Paraffin, Western Blot, Immunocytochemistry/ Immunofluorescence

Label

Unconjugated

Antibody Source

Polyclonal Rabbit IgG

Format

BSA Free

Concentration

Concentrations vary lot to lot. See vial label for concentration. If unlisted please contact technical services.

Product Specifications

Immunogen

This antibody was developed against a recombinant protein corresponding to amino acids: KLFSLKQQKKEEESAGGTKGSSKKASAAQLRIQKDINELNLPKTCDISFSDPDDLLNFKLVICPDEGFYKSGKFVFSFKVGQ

Clonality

Polyclonal

Host

Rabbit

Isotype

IgG

Scientific Data Images for UBE2M/Ubc12 Antibody - BSA Free

Western Blot: UBE2M/Ubc12 Antibody [NBP2-49268]

Western Blot: UBE2M/Ubc12 Antibody [NBP2-49268]

Western Blot: UBE2M/Ubc12 Antibody [NBP2-49268] - Analysis using Anti-UBE2M antibody NBP2-49268 (A) shows similar pattern to independent antibody NBP2-49137 (B).
Immunocytochemistry/ Immunofluorescence: UBE2M/Ubc12 Antibody [NBP2-49268]

Immunocytochemistry/ Immunofluorescence: UBE2M/Ubc12 Antibody [NBP2-49268]

Immunocytochemistry/Immunofluorescence: UBE2M/Ubc12 Antibody [NBP2-49268] - Immunofluorescent staining of human cell line MCF7 shows localization to nucleus & nucleoli.
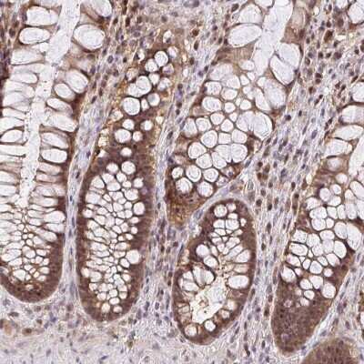
Immunohistochemistry-Paraffin: UBE2M/Ubc12 Antibody [NBP2-49268]

Immunohistochemistry-Paraffin: UBE2M/Ubc12 Antibody [NBP2-49268]

Immunohistochemistry-Paraffin: UBE2M/Ubc12 Antibody [NBP2-49268] - Staining of human rectum shows distinct cytoplasmic and nuclear positivity in glandular cells.

Applications for UBE2M/Ubc12 Antibody - BSA Free

Application
Recommended Usage

Immunocytochemistry/ Immunofluorescence

0.25-2 ug/ml

Immunohistochemistry

1:20 - 1:50

Immunohistochemistry-Paraffin

1:20 - 1:50

Western Blot

0.04-0.4 ug/ml
Application Notes
For IHC-Paraffin, HIER pH 6 retrieval is recommended. Immunocytochemistry/Immunofluorescence Fixation Permeabilization: Use PFA/Triton X-100.

Formulation, Preparation, and Storage

Purification

Affinity purified

Formulation

PBS (pH 7.2) and 40% Glycerol

Format

BSA Free

Preservative

0.02% Sodium Azide

Concentration

Concentrations vary lot to lot. See vial label for concentration. If unlisted please contact technical services.

Shipping

The product is shipped with polar packs. Upon receipt, store it immediately at the temperature recommended below.

Stability & Storage

Store at 4C short term. Aliquot and store at -20C long term. Avoid freeze-thaw cycles.

Background: UBE2M/Ubc12

The modification of proteins with ubiquitin is an important cellular mechanism for targeting abnormal or short-lived proteins for degradation. Ubiquitination involves at least three classes of enzymes: ubiquitin-activating enzymes, or E1s, ubiquitin-conjugating enzymes, or E2s, and ubiquitin-protein ligases, or E3s. This gene encodes a member of the E2 ubiquitin-conjugating enzyme family. The encoded protein is linked with a ubiquitin-like protein, NEDD8, which can be conjugated to cellular proteins, such as Cdc53/culin.

Alternate Names

UBC-RS2, UBC12, UbcH12

Gene Symbol

UBE2M

Additional UBE2M/Ubc12 Products

Product Documents for UBE2M/Ubc12 Antibody - BSA Free

Certificate of Analysis

To download a Certificate of Analysis, please enter a lot number in the search box below.

Product Specific Notices for UBE2M/Ubc12 Antibody - BSA Free

This product is for research use only and is not approved for use in humans or in clinical diagnosis. Primary Antibodies are guaranteed for 1 year from date of receipt.

Loading...
Loading...
Loading...
Loading...