UBE2E3 Antibody (OTI7E8)
Novus Biologicals, part of Bio-Techne | Catalog # NBP2-03819
Conjugate
Catalog #
Forumulation
Catalog #
Key Product Details
Species Reactivity
Validated:
Human, Mouse, Rat, Canine, Monkey
Cited:
Mouse
Applications
Validated:
Immunohistochemistry, Immunohistochemistry-Paraffin, Western Blot, Flow Cytometry, Immunocytochemistry/ Immunofluorescence
Cited:
Western Blot
Label
Unconjugated
Antibody Source
Monoclonal Mouse IgG1 Clone # OTI7E8
Concentration
1 mg/ml
Product Specifications
Immunogen
Full length human recombinant protein of human UBE2E3 (NP_006348) produced in E.coli.
Reactivity Notes
Please note that this antibody is reactive to Mouse and derived from the same host, Mouse. Mouse-On-Mouse blocking reagent may be needed for IHC and ICC experiments to reduce high background signal. You can find these reagents under catalog numbers PK-2200-NB and MP-2400-NB. Please contact Technical Support if you have any questions.
Clonality
Monoclonal
Host
Mouse
Isotype
IgG1
Theoretical MW
22.7 kDa.
Disclaimer note: The observed molecular weight of the protein may vary from the listed predicted molecular weight due to post translational modifications, post translation cleavages, relative charges, and other experimental factors.
Disclaimer note: The observed molecular weight of the protein may vary from the listed predicted molecular weight due to post translational modifications, post translation cleavages, relative charges, and other experimental factors.
Scientific Data Images for UBE2E3 Antibody (OTI7E8)
Western Blot: UBE2E3 Antibody (OTI7E8) [NBP2-03819]
Western Blot: UBE2E3 Antibody (OTI7E8) [NBP2-03819] - Analysis of extracts (35ug) from 9 different cell lines by usin g anti-UBE2E3 monoclonal antibody (HepG2: human; HeLa: human; SVT2: mouse; A549: human; COS7: monkey; Jurkat: human; MDCK: canine; PC12: rat; MCF7: human).Immunohistochemistry-Paraffin: UBE2E3 Antibody (OTI7E8) [NBP2-03819]
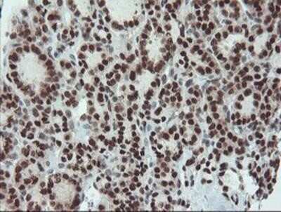
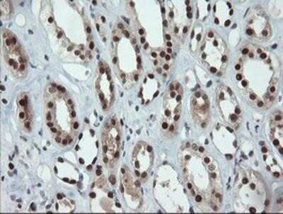
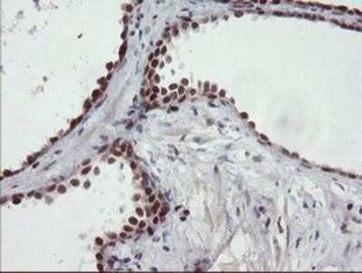
Immunohistochemistry-Paraffin: UBE2E3 Antibody (OTI7E8) [NBP2-03819] - Staining of paraffin-embedded Human prostate tissue using anti-UBE2E3 mouse monoclonal antibody.Flow Cytometry: UBE2E3 Antibody (OTI7E8) [NBP2-03819]
Flow Cytometry: UBE2E3 Antibody (OTI7E8) [NBP2-03819] - HEK293T cells transfected with either overexpression plasmid (Red) or empty vector control plasmid (Blue) were immunostained by anti-UBE2E3 antibody, and then analyzed by flow cytometry.Applications for UBE2E3 Antibody (OTI7E8)
Application
Recommended Usage
Flow Cytometry
1:100
Immunohistochemistry
1:150
Immunohistochemistry-Paraffin
1:150
Western Blot
1:500-2000
Reviewed Applications
Read 1 review rated 5 using NBP2-03819 in the following applications:
Formulation, Preparation, and Storage
Purification
Immunogen affinity purified
Formulation
PBS (pH 7.3), 1.0% BSA and 50% Glycerol
Preservative
0.02% Sodium Azide
Concentration
1 mg/ml
Shipping
The product is shipped with polar packs. Upon receipt, store it immediately at the temperature recommended below.
Stability & Storage
Store at -20C. Avoid freeze-thaw cycles.
Background: UBE2E3
Alternate Names
E2-23K, UBCE4, UbcH9, UbcM2, UBE2E3
Entrez Gene IDs
10477 (Human)
Gene Symbol
UBE2E3
Additional UBE2E3 Products
Product Documents for UBE2E3 Antibody (OTI7E8)
Product Specific Notices for UBE2E3 Antibody (OTI7E8)
This product is for research use only and is not approved for use in humans or in clinical diagnosis. Primary Antibodies are guaranteed for 1 year from date of receipt.
Loading...
Loading...
Loading...
Loading...
Loading...