TRPS1 Antibody (TRPS1/7912R)
Novus Biologicals, part of Bio-Techne | Catalog # NBP3-20270
Recombinant Monoclonal Antibody
Conjugate
Catalog #
Forumulation
Catalog #
Key Product Details
Species Reactivity
Human
Applications
Immunohistochemistry-Paraffin
Label
Unconjugated
Antibody Source
Recombinant Monoclonal Rabbit IgG Kappa Clone # TRPS1/7912R
Concentration
0.2 mg/ml
Product Specifications
Immunogen
Recombinant fragment (around aa900-1100) of human TRPS1 protein (exact sequence is proprietary)
Localization
Nucleus.
Clonality
Monoclonal
Host
Rabbit
Isotype
IgG Kappa
Description
Positive Controls: Human squamous epithelium, breast or breast cancer.
Antibody with azide - store at 2 to 8C. Antibody without azide - store at -20 to -80C. Non-hazardous. No MSDS required.
Antibody with azide - store at 2 to 8C. Antibody without azide - store at -20 to -80C. Non-hazardous. No MSDS required.
Scientific Data Images for TRPS1 Antibody (TRPS1/7912R)
TRPS1 Antibody (TRPS1/7912R)
Formalin-fixed, paraffin-embedded human ovary stained with TRPS1 antibody (TRPS1/7912R). Inset: PBS instead of primary antibody; secondary only negative control.TRPS1 Antibody (TRPS1/7912R)
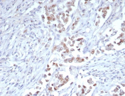
IHC analysis of formalin-fixed, paraffin-embedded human breast carcinoma. Strong nuclear staining using TRPS1 antibody (TRPS1/7912R) at 2ug/ml in PBS for 30min RT. HIER: Tris/EDTA, pH9.0, 45min. Secondary: HRP-polymer, 30min. DAB, 5min.Applications for TRPS1 Antibody (TRPS1/7912R)
Application
Recommended Usage
Immunohistochemistry-Paraffin
1-2 ug/ml
Application Notes
Immunohistochemistry (Formalin-fixed): 1-2ug/ml for 30 minutes. at RT. Staining of formalin-fixed tissues requires heating tissue sections in 10mM Tris with 1mM EDTA, pH 9.0, for 45 min at 95C followed by cooling at RT for 20 minutes.
Optimal dilution for a specific application should be determined.
Optimal dilution for a specific application should be determined.
Formulation, Preparation, and Storage
Purification
Protein A or G purified
Formulation
10mM PBS with 0.05% BSA
Preservative
0.05% Sodium Azide
Concentration
0.2 mg/ml
Shipping
The product is shipped with polar packs. Upon receipt, store it immediately at the temperature recommended below.
Stability & Storage
Store at 4C. Do not freeze.
Background: TRPS1
Long Name
Tricho-rhino-phalangeal Syndrome Type I Protein
Alternate Names
GC79
Gene Symbol
TRPS1
Additional TRPS1 Products
Product Documents for TRPS1 Antibody (TRPS1/7912R)
Product Specific Notices for TRPS1 Antibody (TRPS1/7912R)
This product is for research use only and is not approved for use in humans or in clinical diagnosis. Primary Antibodies are guaranteed for 1 year from date of receipt.
Loading...
Loading...
Loading...
Loading...