Skip to main content

Topoisomerase I Antibody - BSA Free

Novus Biologicals, part of Bio-Techne | Catalog # NBP3-35246

Novus Biologicals, part of Bio-Techne
Catalog #
Availability
Size / Price
Qty
Loading...
NBP3-35246-20ul
NBP3-35246-100ul

Key Product Details

Species Reactivity

Human, Mouse

Applications

ELISA, Immunohistochemistry, Immunohistochemistry-Paraffin, Immunoprecipitation, Western Blot

Label

Unconjugated

Antibody Source

Polyclonal Rabbit IgG

Format

BSA Free

Concentration

Please see the vial label for concentration. If unlisted please contact technical services.

Product Specifications

Immunogen

A synthetic peptide corresponding to a sequence within amino acids 1-100 of human Topoisomerase I (Topoisomerase I (TOP1)) (NP_003277.1).

Sequence:
MSGDHLHNDSQIEADFRLNDSHKHKDKHKDREHRHKEHKKEKDREKSKHSNSEHKDSEKKHKEKEKTKHKDGSSEKHKDKHKDRDKEKRKEEKVRASGDA

Clonality

Polyclonal

Host

Rabbit

Isotype

IgG

Theoretical MW

91 kDa.
Disclaimer note: The observed molecular weight of the protein may vary from the listed predicted molecular weight due to post translational modifications, post translation cleavages, relative charges, and other experimental factors.

Description

Novus Biologicals Rabbit Topoisomerase I Antibody - BSA Free (NBP3-35246) is a polyclonal antibody validated for use in IHC, WB, ELISA and IP. All Novus Biologicals antibodies are covered by our 100% guarantee.

Scientific Data Images for Topoisomerase I Antibody - BSA Free

Topoisomerase I Antibody

Western Blot: Topoisomerase I Antibody [NBP3-35246] -

Western Blot: Topoisomerase I Antibody [NBP3-35246] - Western blot analysis of various lysates using Topoisomerase I(TOP1) Rabbit pAb at 1:1000 dilution.
Secondary antibody: HRP-conjugated Goat anti-Rabbit IgG (H+L) at 1:10000 dilution.
Lysates/proteins: 25ug per lane.
Blocking buffer: 3% nonfat dry milk in TBST.
Detection: ECL Basic Kit.
Exposure time: 90s.
Topoisomerase I Antibody

Immunoprecipitation: Topoisomerase I Antibody [NBP3-35246] -

Immunoprecipitation: Topoisomerase I Antibody [NBP3-35246] - Immunoprecipitation analysis of 200 ug extracts of Jurkat cells, using 3 ug Topoisomerase I(Topoisomerase I(TOP1)) antibody. Western blot was performed from the immunoprecipitate using Topoisomerase I(Topoisomerase I(TOP1)) antibody at a dilution of 1:1000.
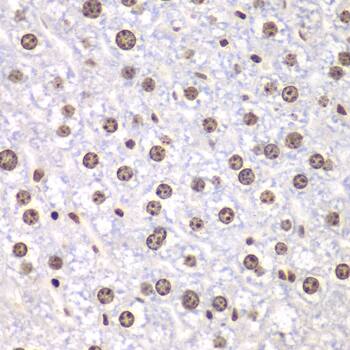
Topoisomerase I Antibody

Immunohistochemistry: Topoisomerase I Antibody [NBP3-35246] -

Immunohistochemistry: Topoisomerase I Antibody [NBP3-35246] - Immunohistochemistry analysis of paraffin-embedded Mouse liver using Topoisomerase I(TOP1) Rabbit pAb at dilution of 1:100 (40x lens). Microwave antigen retrieval performed with 0.01M PBS Buffer (pH 7.2) prior to IHC staining.

Applications for Topoisomerase I Antibody - BSA Free

Application
Recommended Usage

Immunohistochemistry-Paraffin

1:50 - 1:200

Immunoprecipitation

0.5ug - 4ug antibody for 200ug - 400ug extracts of whole cells

Western Blot

1:500 - 1:2000

Formulation, Preparation, and Storage

Purification

Affinity purified

Formulation

PBS (pH 7.3), 50% glycerol

Format

BSA Free

Preservative

0.02% Sodium Azide

Concentration

Please see the vial label for concentration. If unlisted please contact technical services.

Shipping

The product is shipped with polar packs. Upon receipt, store it immediately at the temperature recommended below.

Stability & Storage

Store at -20C. Avoid freeze-thaw cycles.

Background: Topoisomerase I

Topoisomerases are nuclear enzymes involved in a variety of cellular activities such as chromosome condensation, DNA replication, transcription, recombination and segregation at mitosis. Human topoisomerase I is a 100kD protein capable of relaxing positively and negatively supercoiled DNA by performing a transient single stranded nick which is then religated at the end of the reaction. It has been shown that the enzyme is located in regions of the genome that are undergoing active RNA synthesis, where it probably reduces superhelical stresses in the DNA, enabling RNA polymerase to function properly. Both DNA topoisomerases I and II have been found to be targets of autoantibodies in the sera of patients with certain autoimmune diseases such as systemic lupus erythematosus and also of some anti tumor drugs and antibiotics. Elevated levels of DNA topoisomerase I, detected by transfer assays, have been demonstrated in colorectal tumors compared with normal colon mucosa as a result of increased transcription or mRNA stability.

Long Name

DNA topoisomerase 1

Alternate Names

DNA topoisomerase I, EC 5.6.2.1, TOP1

Gene Symbol

TOP1

Additional Topoisomerase I Products

Product Documents for Topoisomerase I Antibody - BSA Free

Certificate of Analysis

To download a Certificate of Analysis, please enter a lot number in the search box below.

Product Specific Notices for Topoisomerase I Antibody - BSA Free

This product is for research use only and is not approved for use in humans or in clinical diagnosis. Primary Antibodies are guaranteed for 1 year from date of receipt.

Loading...
Loading...
Loading...
Loading...