Skip to main content

TNNC2 Antibody - BSA Free

Novus Biologicals, part of Bio-Techne | Catalog # NBP2-93498

Novus Biologicals, part of Bio-Techne
Catalog #
Availability
Size / Price
Qty
Loading...
NBP2-93498-0.02ml
NBP2-93498-0.1ml

Key Product Details

Species Reactivity

Human, Mouse, Rat

Applications

Immunohistochemistry, Immunohistochemistry-Paraffin, Western Blot

Label

Unconjugated

Antibody Source

Polyclonal Rabbit IgG

Format

BSA Free

Concentration

Please see the vial label for concentration. If unlisted please contact technical services.

Product Specifications

Immunogen

Recombinant fusion protein containing a sequence corresponding to amino acids 1-160 of human TNNC2 (NP_003270.1). MTDQQAEARSYLSEEMIAEFKAAFDMFDADGGGDISVKELGTVMRMLGQTPTKEELDAIIEEVDEDGSGTIDFEEFLVMMVRQMKEDAKGKSEEELAECFRIFDRNADGYIDPEELAEIFRASGEHVTDEEIESLMKDGDKNNDGRIDFDEFLKMMEGVQ

Clonality

Polyclonal

Host

Rabbit

Isotype

IgG

Theoretical MW

18 kDa.
Disclaimer note: The observed molecular weight of the protein may vary from the listed predicted molecular weight due to post translational modifications, post translation cleavages, relative charges, and other experimental factors.

Description

Novus Biologicals Rabbit TNNC2 Antibody - BSA Free (NBP2-93498) is a polyclonal antibody validated for use in IHC and WB. All Novus Biologicals antibodies are covered by our 100% guarantee.

Scientific Data Images for TNNC2 Antibody - BSA Free

Western Blot: TNNC2 AntibodyBSA Free [NBP2-93498]

Western Blot: TNNC2 AntibodyBSA Free [NBP2-93498]

Western Blot: TNNC2 Antibody [NBP2-93498] - Analysis of extracts of various cell lines, using TNNC2 . Exposure time: 15s.
Immunohistochemistry-Paraffin: TNNC2 Antibody - BSA Free [NBP2-93498]

Immunohistochemistry-Paraffin: TNNC2 Antibody - BSA Free [NBP2-93498]

Immunohistochemistry-Paraffin: TNNC2 Antibody [NBP2-93498] - Mouse lung using TNNC2 antibody at dilution of 1:200 (40x lens).Perform microwave antigen retrieval with 10 mM PBS buffer pH 7.2 before commencing with IHC staining protocol.
Immunohistochemistry-Paraffin: TNNC2 Antibody - BSA Free [NBP2-93498]

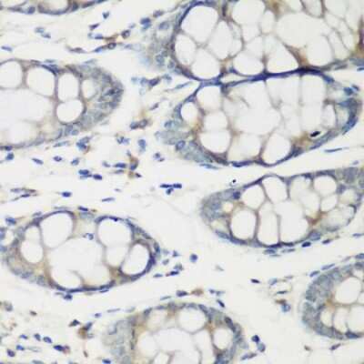
Immunohistochemistry-Paraffin: TNNC2 Antibody - BSA Free [NBP2-93498]

Immunohistochemistry-Paraffin: TNNC2 Antibody [NBP2-93498] - Human colon using TNNC2 antibody at dilution of 1:200 (40x lens).Perform microwave antigen retrieval with 10 mM PBS buffer pH 7.2 before commencing with IHC staining protocol.

Applications for TNNC2 Antibody - BSA Free

Application
Recommended Usage

Immunohistochemistry

1:50 - 1:200

Western Blot

1:500 - 1:2000

Formulation, Preparation, and Storage

Purification

Affinity purified

Formulation

PBS (pH 7.3), 50% glycerol

Format

BSA Free

Preservative

0.02% Sodium Azide

Concentration

Please see the vial label for concentration. If unlisted please contact technical services.

Shipping

The product is shipped with polar packs. Upon receipt, store it immediately at the temperature recommended below.

Stability & Storage

Store at -20C. Avoid freeze-thaw cycles.

Background: Troponin C

Troponin (Tn), a key protein complex in the regulation of striated muscle contraction, is composed of 3 subunits. The Tn-I subunit inhibits actomyosin ATPase, the Tn-T subunit binds tropomyosin and Tn-C, while the Tn-C subunit binds calcium and overcomes the inhibitory action of the troponin complex on actin filaments. The protein encoded by this gene is the Tn-C subunit. (provided by RefSeq)

Alternate Names

Tn-C, TNNC2

Gene Symbol

TNNC2

Additional Troponin C Products

Product Documents for TNNC2 Antibody - BSA Free

Certificate of Analysis

To download a Certificate of Analysis, please enter a lot number in the search box below.

Product Specific Notices for TNNC2 Antibody - BSA Free

This product is for research use only and is not approved for use in humans or in clinical diagnosis. Primary Antibodies are guaranteed for 1 year from date of receipt.

Loading...
Loading...
Loading...
Loading...