Skip to main content

TLR4 Antibody - BSA Free

Novus Biologicals, part of Bio-Techne | Catalog # NBP1-78427

Novus Biologicals, part of Bio-Techne

Key Product Details

Species Reactivity

Validated:

Human, Mouse, Rat

Cited:

Mouse, Rat

Applications

Validated:

Immunohistochemistry, Immunohistochemistry-Paraffin, Western Blot, Flow Cytometry, Immunocytochemistry/ Immunofluorescence

Cited:

Immunohistochemistry-Paraffin, Western Blot, Immunocytochemistry/ Immunofluorescence

Label

Unconjugated

Antibody Source

Polyclonal Rabbit IgG

Format

BSA Free

Concentration

1.14 mg/ml

Product Specifications

Immunogen

This TLR4 antibody was developed against a synthetic peptide made to the C-terminal portion of the human TLR4 protein (between residues 650-710) .

Localization

Membrane

Clonality

Polyclonal

Host

Rabbit

Isotype

IgG

Theoretical MW

95.7 kDa.
Disclaimer note: The observed molecular weight of the protein may vary from the listed predicted molecular weight due to post translational modifications, post translation cleavages, relative charges, and other experimental factors.

Description

Novus Biologicals Rabbit TLR4 Antibody - BSA Free (NBP1-78427) is a polyclonal antibody validated for use in IHC, WB, Flow and ICC/IF. Anti-TLR4 Antibody: Cited in 4 publications. All Novus Biologicals antibodies are covered by our 100% guarantee.

Scientific Data Images for TLR4 Antibody - BSA Free

Flow Cytometry: TLR4 Antibody - BSA Free [NBP1-78427]

Flow Cytometry: TLR4 Antibody - BSA Free [NBP1-78427]

Flow Cytometry: TLR4 Antibody [NBP1-78427] - An intracellular stain was performed on RH-30 cells with NBP1-78427AF488 (blue) and a matched isotype control (orange). Cells were fixed with 4% PFA and then permeabilized with 0.1% saponin. Cells were incubated in an antibody dilution of 5 ug/mL for 30 minutes at room temperature. Both antibodies were conjugated to Alexa Fluor 488.
Western Blot: TLR4 AntibodyBSA Free [NBP1-78427]

Western Blot: TLR4 AntibodyBSA Free [NBP1-78427]

Western Blot: TLR4 Antibody [NBP1-78427] - Analysis of TLR4 in Raw 264.7 cell lysate.
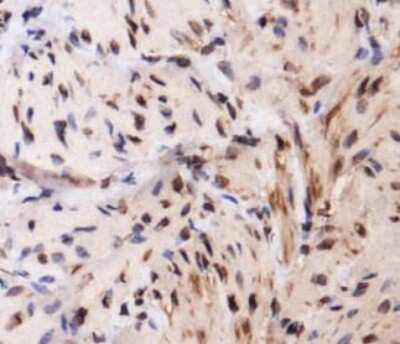
Immunohistochemistry: TLR4 Antibody - BSA Free [NBP1-78427]

Immunohistochemistry: TLR4 Antibody - BSA Free [NBP1-78427]

Immunohistochemistry: TLR4 Antibody [NBP1-78427] - Analysis of TLR4 in mouse smooth muscle using DAB wtih hematoxylin counterstain.

Applications for TLR4 Antibody - BSA Free

Application
Recommended Usage

Flow Cytometry

2 - 5 ug / million cells

Immunocytochemistry/ Immunofluorescence

1:50

Immunohistochemistry

1:50

Immunohistochemistry-Paraffin

1:50

Western Blot

1:1000
Application Notes
Prior to immunostaining paraffin tissues, antigen retrieval with sodium citrate buffer (pH 6.0) is recommended.

Formulation, Preparation, and Storage

Purification

Immunogen affinity purified

Formulation

PBS, 30% Glycerol

Format

BSA Free

Preservative

0.05% Sodium Azide

Concentration

1.14 mg/ml

Shipping

The product is shipped with polar packs. Upon receipt, store it immediately at the temperature recommended below.

Stability & Storage

Store at 4C short term. Aliquot and store at -20C long term. Avoid freeze-thaw cycles.

Background: TLR4

TLR4 (Toll-like receptor 4) is a type-1 transmembrane glycoprotein that is a pattern recognition receptor (PRR) belonging to the TLR family (1-3). TLR4 is expressed in many tissues and is most abundantly expressed in the placenta, spleen, and peripheral blood leukocytes (1). Human TLR4 is synthesized as a 839 amino acid (aa) protein containing a signal sequence (1-23 aa), an extracellular domain (ECD) (24-631 aa), a transmembrane domain (632-652 aa), and Toll/interleukin-1 receptor (TIR) cytoplasmic domain (652-839 aa) with a theoretical molecular weight of 95 kDa (3, 4). The ECD contains 21 leucine-rich repeats (LRRs) and has a horseshoe-shaped structure (3, 4). TLR4 requires binding with the co-receptor myeloid differentiation protein 2 (MD2) largely via hydrophilic interactions for proper ligand sensing and signaling (2-4). In general, the TLR family plays a role in activation of innate immunity and responds to a variety of pathogen-associated molecular patterns (PAMPs) (5). TLR4 is specifically responsive to lipopolysaccharide (LPS), which is found on the outer-membrane of most ram-negative bacteria (3-5). Activation of TLR4 requires binding of a ligand, such as LPS to MD2, followed by MD2-LPS complex binding to TLR4, resulting in a partial complex (TLR4-MD2/LPS) (3, 5). To become fully active, two partial complexes must dimerize thereby allowing the TIR domains of TLR4 to bind other adapter molecular and initiate signaling, triggering an inflammatory response and cytokine production (3, 5).

TLR4 signaling occurs through two distinct pathways: The MyD88 (myeloid differentiation primary response gene 88)-dependent pathway and the MyD88-independent (TRIF-dependent, TIR domain-containing adaptor inducing IFN-beta) pathway (3, 5-7). The MyD88-dependent pathway occurs mainly at the plasma membrane and involves the binding of MyD88-adaptor-like (MAL) protein followed by a signaling cascade that results in the activation of transcription factors including nuclear factor-kappaB (NF-kappaB) that promote the secretion of inflammatory molecules and increased phagocytosis (5-7). Conversely, the MyD88-independent pathway occurs after TLR4-MD2 complex internalization in the endosomal compartment. This pathway involves the binding of adapter proteins TRIF and TRIF-related adaptor molecule (TRAM), a signaling activation cascade resulting in IFN regulatory factor 3 (IRF3) translocation into the nucleus, and secretion of interferon-beta (INF-beta) genes and increased phagocytosis (5-7).

Given its expression on immune-related cells and its role in inflammation, TLR4 activation can contribute to various diseases (6-8). For instance, several studies have found that TLR4 activation is associated with neurodegeneration and several central nervous system (CNS) pathologies, including Alzheimer's disease, Parkinson's disease, and Huntington's disease (6, 7). Furthermore, TLR4 mutations have been shown to lead to higher rates of infections and increased susceptibility to sepsis (7-8). One potential therapeutic approach aimed at targeting TLR4 and neuroinflammation is polyphenolic compounds which include flavonoids and phenolic acids and alcohols (8).

Alternative names for TLR4 includes 76B357.1, ARMD10, CD284 antigen, CD284, EC 3.2.2.6, homolog of Drosophila toll, hToll, toll like receptor 4 protein, TOLL, toll-like receptor 4.

References

1. Vaure, C., & Liu, Y. (2014). A comparative review of toll-like receptor 4 expression and functionality in different animal species. Frontiers in immunology. https://doi.org/10.3389/fimmu.2014.00316

2. Park, B. S., & Lee, J. O. (2013). Recognition of lipopolysaccharide pattern by TLR4 complexes. Experimental & molecular medicine. https://doi.org/10.1038/emm.2013.97

3. Krishnan, J., Anwar, M.A., & Choi, S. (2016) TLR4 (Toll-Like Receptor 4). In: Choi S. (eds) Encyclopedia of Signaling Molecules. Springer, New York, NY. https://doi.org/10.1007/978-1-4614-6438-9_592-1

4. Botos, I., Segal, D. M., & Davies, D. R. (2011). The structural biology of Toll-like receptors. Structure. https://doi.org/10.1016/j.str.2011.02.004

5. Lu, Y. C., Yeh, W. C., & Ohashi, P. S. (2008). LPS/TLR4 signal transduction pathway. Cytokine. https://doi.org/10.1016/j.cyto.2008.01.006

6. Leitner, G. R., Wenzel, T. J., Marshall, N., Gates, E. J., & Klegeris, A. (2019). Targeting toll-like receptor 4 to modulate neuroinflammation in central nervous system disorders. Expert opinion on therapeutic targets. https://doi.org/10.1080/14728222.2019.1676416

7. Molteni, M., Gemma, S., & Rossetti, C. (2016). The Role of Toll-Like Receptor 4 in Infectious and Noninfectious Inflammation. Mediators of inflammation. https://doi.org/10.1155/2016/6978936

8. Rahimifard, M., Maqbool, F., Moeini-Nodeh, S., Niaz, K., Abdollahi, M., Braidy, N., Nabavi, S. M., & Nabavi, S. F. (2017). Targeting the TLR4 signaling pathway by polyphenols: A novel therapeutic strategy for neuroinflammation. Ageing research reviews. https://doi.org/10.1016/j.arr.2017.02.004

Long Name

Toll-like Receptor 4

Alternate Names

CD284

Entrez Gene IDs

7099 (Human); 21898 (Mouse)

Gene Symbol

TLR4

UniProt

Additional TLR4 Products

Product Documents for TLR4 Antibody - BSA Free

Certificate of Analysis

To download a Certificate of Analysis, please enter a lot number in the search box below.

Product Specific Notices for TLR4 Antibody - BSA Free

This product is for research use only and is not approved for use in humans or in clinical diagnosis. Primary Antibodies are guaranteed for 1 year from date of receipt.

Loading...
Loading...
Loading...
Loading...
Loading...
Loading...