This TLR4 Antibody (76B357.1) was developed against a portion of amino acids 100-200 of human TLR4 (NP_612564).
Clonality
Monoclonal
Host
Mouse
Isotype
IgG2b Kappa
Theoretical MW
95.7 kDa. Disclaimer note: The observed molecular weight of the protein may vary from the listed predicted molecular weight due to post translational modifications, post translation cleavages, relative charges, and other experimental factors.
Description
Novus Biologicals Knockout (KO) Validated Mouse TLR4 Antibody (76B357.1) - BSA Free (NB100-56566) is a monoclonal antibody validated for use in IHC, WB, ELISA, Flow, Dual RNAscope ISH-IHC, ICC/IF, Simple Western and ChIP. Anti-TLR4 Antibody: Cited in 139 publications. All Novus Biologicals antibodies are covered by our 100% guarantee.
Scientific Data Images
for TLR4 Antibody (76B357.1) - BSA Free
Dual RNAscope ISH-IHC: TLR4 Antibody (76B357.1) [NB100-56566] - FFPE tissue sections of human tonsil were probed for TLR4 mRNA (ACD RNAScope Probe, ACD catalog # 311281; Fast Red chromogen, ACD catalog # 322750). Adjacent tissue section was processed for immunohistochemistry using Mouse Monoclonal (Novus Biologicals catalog # NB100-56566) at 5ug/mL with 1 hour incubation at room temperature followed by incubation with anti-mouse IgG VisUCyte HRP Polymer Antibody (Catalog # VC001) and DAB chromogen (yellow-brown). Tissue was counterstained with hematoxylin (blue). Specific staining was localized to lymphocytes.
Flow Cytometry: TLR4 Antibody (76B357.1) [NB100-56566] - Analysis using the Alexa Fluor (R) 647 conjugate of NBP2-27149. TLR4 expression on monocytes from human peripheral blood. PBMC were stained in a 2 color flow test, with CD14 PE version of this antibody and 1 ug of either isotype control (left) or TLR4-Alexa Fluor 647 (right). PPI negative, CD14+ cells were gated for analysis.
Western Blot: TLR4 Antibody (76B357.1)BSA Free [NB100-56566]
Western Blot: TLR4 Antibody (76B357.1) [NB100-56566] - Analysis using 2 ug/mL on (A) human intestine and 6 ug/mL on (B) mouse intestine and (C) rat intestine lysate.
Flow (Intracellular): TLR4 Antibody (76B357.1) [NB100-56566] - Analysis using PE conjugate of NBP2-27149. An intracellular stain was performed on Jurkat cells with TLR4 antibody (76B357.1) NBP2-27149PE (blue) and an isotype control MAB004 (orange). Cells were fixed with 4% PFA and then permeablized with 0.1% saponin. Cells were incubated in an antibody dilution of 2.5 ug/mL for 30 minutes at room temperature. Both antibodies were conjugated to phycoerythrin.
Immunocytochemistry/Immunofluorescence: TLR4 Antibody (76B357.1) [NB100-56566] - RH-30 cells were fixed in 4% paraformaldehyde for 10 minutes and permeabilized in 0.05% Triton X-100 in PBS for 5 minutes. The cells were incubated with anti-TLR4 Antibody (76B357.1) NB100-56566 at 1 ug/ml overnight at 4C and detected with an anti-mouse Dylight 488 (Green) at a 1:1000 dilution for 60 minutes. Nuclei were counterstained with DAPI (Blue). Cells were imaged using a 100X objective and digitally deconvolved.
Immunohistochemistry-Paraffin: TLR4 Antibody (76B357.1) [NB100-56566] - Analysis of rat salivary gland tissue section at 1:100 dilution. The antibody generated a membrane-cytoplasmic staining in the tissue with stronger signal in ductal epithelial cells.
Immunohistochemistry-Paraffin: TLR4 Antibody (76B357.1) [NB100-56566] - Tissue section of normal human skin stained with antibody at 5 ug/mL. Membrane-cytoplasmic immunopositivity of TLR4 was primarily observed in the pigmented basel cells and the adjacent keratinocytes in the epidermal layer.
Flow Cytometry: TLR4 Antibody (76B357.1) [NB100-56566] - An intracellular stain was performed on RH30 cells with TLR4 Antibody (76B357.1) NB100-56566 (blue) and a matched mouse IgG2b Kappa isotype control (orange) MAB004. Cells were fixed with 4% PFA and then permeabilized with 0.1% saponin. Cells were incubated in an antibody dilution of 2.5 ug/mL for 30 minutes at room temperature, followed by Mouse IgG (H+L) Cross-Adsorbed Secondary Antibody, Dylight 550 (35503, Thermo Fisher).
Immunohistochemistry-Paraffin: TLR4 Antibody (76B357.1) [NB100-56566] - Human skin stained with at 5 ug/mL, peroxidase-conjugate and DAB chromogen. Staining of formalin-fixed tissues is enhanced by boiling tissue sections in 10 mM sodium citrate buffer, pH 6.0 for 10-20 min followed by cooling at RT for 20 min.
Immunohistochemistry-Paraffin: TLR4 Antibody (76B357.1) [NB100-56566] - Analysis of TLR4 in FFPE human colon tissue using an isotype control (top) and NB100-56566 (bottom) at 5 ug/mL.
Immunohistochemistry-Frozen: TLR4 Antibody (76B357.1) [NB100-56566] - This image is TLR4(green) and nucleus(blue) at area postrema of the adult male mouse brain, x20 magnification. Primary antibody diluted 1:500. IHC-Fr image submitted by a verified customer review.
Flow Cytometry: TLR4 Antibody (76B357.1) [NB100-56566] - Analysis of formaldehyde fixed THP-1 cells (human monocytic leukemia cells) using 2 ug/10^6 cells TLR4 antibody (clone 76B357.1) with detection employing a donkey anti-mouse IgG (H+L) cross adsorbed secondary antibody, (DyLight 488 conjugated). Isotype control samples incubated with mouse IgG2b isotype control antibody were processed in parallal under the same assay conditions.
Flow Cytometry: TLR4 Antibody (76B357.1) [NB100-56566] - An intracellular stain was performed on Jurkat cells with TLR4 Antibody (76B357.1) NB100-56566 (blue) and a matched mouse IgG2b Kappa isotype control (orange) MAB004. Cells were fixed with 4% PFA and then permeabilized with 0.1% saponin. Cells were incubated in an antibody dilution of 2.5 ug/mL for 30 minutes at room temperature, followed by Mouse IgG (H+L) Cross-Adsorbed Secondary Antibody, Dylight 550 (35503, Thermo Fisher).
Flow Cytometry: TLR4 Antibody (76B357.1) [NB100-56566] - An intracellular stain was performed on Raw264.7 cells with TLR4 Antibody (76B357.1) NB100-56566 (blue) and a matched mouse IgG2b Kappa isotype control (orange) MAB004. Cells were fixed with 4% PFA and then permeabilized with 0.1% saponin. Cells were incubated in an antibody dilution of 2.5 ug/mL for 30 minutes at room temperature, followed by Mouse IgG (H+L) Cross-Adsorbed Secondary Antibody, Dylight 550 (35503, Thermo Fisher).
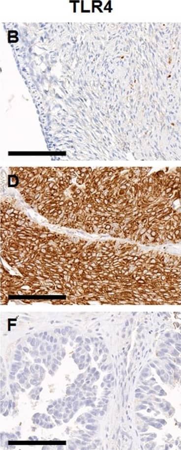
Representative images of immunohistochemical staining of pancreatic adenocarcinoma upregulated factor (PAUF) and toll-like receptor 4 (TLR4) in human ovarian cancer specimens. The top row (A,B) represents normal ovarian tissue, middle row (C,D) shows immunoreactivity of ovarian carcinomas and the bottom row (E,F) indicates immunonegativity of ovarian caricinoma. The stromal cells of normal ovarian tissue show immunonegativity for PAUF and TLR4. The scale bar represents 100 μm.
Western Blot: TLR4 Antibody (76B357.1) - BSA Free [NB100-56566] -
Western Blot: TLR4 Antibody (76B357.1) - BSA Free [NB100-56566] - Increased toll‐like receptor 4 (TLR4) expression in the myocardium of chronic heart failure (CHF) rats. (A) TLR4 mRNA levels in infarct & remote myocardium of sham & CHF rats (n = 6/group). (B) Representative Western blot images & (C) quantification of TLR4 proteins in infarct & remote myocardium of sham & CHF rats (n = 4/group). (D) Representative immunohistochemistry images of heart sections stained with TLR4 (green) & CD45 (red). The yellow box indicates the enlarged area shown on the right (data are means ± SD, *P < 0.05, **P < 0.01 versus respective sham). Image collected & cropped by CiteAb from the following publication (https://pubmed.ncbi.nlm.nih.gov/26290459), licensed under a CC-BY license. Not internally tested by Novus Biologicals.
Western Blot: TLR4 Antibody (76B357.1) - BSA Free [NB100-56566] -
Western Blot: TLR4 Antibody (76B357.1) - BSA Free [NB100-56566] - Regulation of FOXC1 on TLR3/4 expression in mice subjected to myocardial ischaemia (MI). The siRNA against FOXC1 (si‐FOXC1) or FOXC1 adenovirus (Ad‐FOXC1) was injected into the left ventricle just after LAD ligation to generate FOXC1 knockdown (A) or FOXC1 overexpression (B), & the negative control (NC) siRNA & Ad‐GFP served as control, respectively. The mRNA (upper panel) & protein (middle & lower panel) levels of TLR3/4 were determined after 2 wk. Data are means ± SEM aP < .05, AP < .01 vs respective MI Image collected & cropped by CiteAb from the following publication (https://pubmed.ncbi.nlm.nih.gov/31517441), licensed under a CC-BY license. Not internally tested by Novus Biologicals.
Immunohistochemistry: TLR4 Antibody (76B357.1) - BSA Free [NB100-56566] - Representative images of immunohistochemical staining of pancreatic adenocarcinoma upregulated factor (PAUF) & toll-like receptor 4 (TLR4) in human ovarian cancer specimens. The top row (A,B) represents normal ovarian tissue, middle row (C,D) shows immunoreactivity of ovarian carcinomas & the bottom row (E,F) indicates immunonegativity of ovarian caricinoma. The stromal cells of normal ovarian tissue show immunonegativity for PAUF & TLR4. The scale bar represents 100 μm. Image collected & cropped by CiteAb from the following publication (https://pubmed.ncbi.nlm.nih.gov/30111860), licensed under a CC-BY license. Not internally tested by Novus Biologicals.
Western Blot: TLR4 Antibody (76B357.1) - BSA Free [NB100-56566] -
Western Blot: TLR4 Antibody (76B357.1) - BSA Free [NB100-56566] - Increased toll‐like receptor 4 (TLR4) expression in the surviving cardiomyocytes of chronic heart failure (CHF) rats. (A) Representative immunofluorescent images of TLR4 in cardiomyocytes isolated from sham & CHF rats. (B) TLR4 mRNA levels in cardiomyocytes isolated from sham & CHF rats. (C) Representative Western blot images & (D) quantification of TLR4 proteins in cardiomyocytes isolated from sham & CHF rats (data are means ± SD, n = 6/group, **P < 0.01 versus sham). Image collected & cropped by CiteAb from the following publication (https://pubmed.ncbi.nlm.nih.gov/26290459), licensed under a CC-BY license. Not internally tested by Novus Biologicals.
Western Blot: TLR4 Antibody (76B357.1) - BSA Free [NB100-56566] -
Western Blot: TLR4 Antibody (76B357.1) - BSA Free [NB100-56566] - Up‐regulation of FOXC1 & TLR3/4 protein levels under myocardial ischaemia. Representative Western blot images & quantitative data for FOXC1, TLR3 & TLR4 proteins in ischaemia models of mice (A), H9c2 cells (B) & NRVMs (C) are shown herein. Validation data of the antibodies for TLR3 & TLR4 are shown in Figure S1. Data are means ± SEM. n = ~4‐5/group. P values from the one‐way ANOVAs: 0.018 (TLR3 protein in mice), .002 (TLR4 protein in mice) & 0.006 (FOXC1 protein in mice). aP < .05, AP < .01 vs control Image collected & cropped by CiteAb from the following publication (https://pubmed.ncbi.nlm.nih.gov/31517441), licensed under a CC-BY license. Not internally tested by Novus Biologicals.
Western Blot: TLR4 Antibody (76B357.1) - BSA Free [NB100-56566] -
Western Blot: TLR4 Antibody (76B357.1) - BSA Free [NB100-56566] - (a) Cell viability of MM cells exposed to increasing doses of LPS for 24 h. (b) Immunoblotting analysis of TLR4 protein expression levels in H929 & L363 cell lines after incubation with various LPS concentrations. Probing with beta-ACTIN was used as total protein loading reference. (c) Flow cytometry analysis for TLR4 expression of MM cell lines before & after exposure to 1 μg/ml LPS for 24 h. (d) Cell viability of MM cell lines pre-treated with 0.5 μg/ml TLR4 inhibitor for 24 h before stimulation with LPS for 24 h. (e) Cell vViability of H929 & JJN3 cell lines exposed to increasing concentrations of TLR4 inhibitor for 48 h. beta-ACTIN probing was used as reference for total protein input. Image collected & cropped by CiteAb from the following publication (https://pubmed.ncbi.nlm.nih.gov/30824741), licensed under a CC-BY license. Not internally tested by Novus Biologicals.
Western Blot: TLR4 Antibody (76B357.1) - BSA Free [NB100-56566] -
Western Blot: TLR4 Antibody (76B357.1) - BSA Free [NB100-56566] - Regulation of FOXC1 on TLR3/4 expression in mice subjected to myocardial ischaemia (MI). The siRNA against FOXC1 (si‐FOXC1) or FOXC1 adenovirus (Ad‐FOXC1) was injected into the left ventricle just after LAD ligation to generate FOXC1 knockdown (A) or FOXC1 overexpression (B), & the negative control (NC) siRNA & Ad‐GFP served as control, respectively. The mRNA (upper panel) & protein (middle & lower panel) levels of TLR3/4 were determined after 2 wk. Data are means ± SEM aP < .05, AP < .01 vs respective MI Image collected & cropped by CiteAb from the following publication (https://pubmed.ncbi.nlm.nih.gov/31517441), licensed under a CC-BY license. Not internally tested by Novus Biologicals.
Western Blot: TLR4 Antibody (76B357.1) - BSA Free [NB100-56566] -
Western Blot: TLR4 Antibody (76B357.1) - BSA Free [NB100-56566] - Up‐regulation of FOXC1 & TLR3/4 protein levels under myocardial ischaemia. Representative Western blot images & quantitative data for FOXC1, TLR3 & TLR4 proteins in ischaemia models of mice (A), H9c2 cells (B) & NRVMs (C) are shown herein. Validation data of the antibodies for TLR3 & TLR4 are shown in Figure S1. Data are means ± SEM. n = ~4‐5/group. P values from the one‐way ANOVAs: 0.018 (TLR3 protein in mice), .002 (TLR4 protein in mice) & 0.006 (FOXC1 protein in mice). aP < .05, AP < .01 vs control Image collected & cropped by CiteAb from the following publication (https://pubmed.ncbi.nlm.nih.gov/31517441), licensed under a CC-BY license. Not internally tested by Novus Biologicals.
Western Blot: TLR4 Antibody (76B357.1) - BSA Free [NB100-56566] -
Western Blot: TLR4 Antibody (76B357.1) - BSA Free [NB100-56566] - Up‐regulation of FOXC1 & TLR3/4 protein levels under myocardial ischaemia. Representative Western blot images & quantitative data for FOXC1, TLR3 & TLR4 proteins in ischaemia models of mice (A), H9c2 cells (B) & NRVMs (C) are shown herein. Validation data of the antibodies for TLR3 & TLR4 are shown in Figure S1. Data are means ± SEM. n = ~4‐5/group. P values from the one‐way ANOVAs: 0.018 (TLR3 protein in mice), .002 (TLR4 protein in mice) & 0.006 (FOXC1 protein in mice). aP < .05, AP < .01 vs control Image collected & cropped by CiteAb from the following publication (https://pubmed.ncbi.nlm.nih.gov/31517441), licensed under a CC-BY license. Not internally tested by Novus Biologicals.
Western Blot: TLR4 Antibody (76B357.1) - BSA Free [NB100-56566] -
Western Blot: TLR4 Antibody (76B357.1) - BSA Free [NB100-56566] - TLR4 mRNA (a1) & protein (a2) expression in MM cell lines. (b) TLR4 mRNA expression of 16 CD138+ selected MM patients as determined by PCR & agarose gel electrophoresis. Probing with beta-ACTIN was used as total protein loading reference, whereas beta-ACTIN gene expression was used as reference for RNA input. beta-ACTIN probing & beta-ACTIN mRNA expression were used as reference for total protein & mRNA input, respectively. Image collected & cropped by CiteAb from the following publication (https://pubmed.ncbi.nlm.nih.gov/30824741), licensed under a CC-BY license. Not internally tested by Novus Biologicals.
Western Blot: TLR4 Antibody (76B357.1) - BSA Free [NB100-56566] -
Western Blot: TLR4 Antibody (76B357.1) - BSA Free [NB100-56566] - Regulation of FOXC1 on TLR expression. H9c2 cells were transfected with adenovirus or siRNA to overexpress or knock down FoxC1, with GFP adenovirus (Ad‐GFP) & negative control (NC) siRNA serving as control, respectively. A, FoxC1 overexpression increased Tlr3/4 mRNA & protein levels, under both control & ischaemic conditions. P values from the one‐way ANOVAs: <.001 mrna .002 protein b foxc1 knockdown decreased tlr3 levels. p values from the one anovas: .001 c overexpression up expression of multiple tlr subtypes. .022 .047 .013 .039 .003 .203 .078 .009 data are means sem independent experiments. ap .05 .01 vs. control bp ischaemia image collected cropped by citeab following publication licensed under a cc-by license. not internally tested novus biologicals.>
Immunocytochemistry/ Immunofluorescence: TLR4 Antibody (76B357.1) - BSA Free [NB100-56566] - Immunofluorescent staining of TMAs. A) Low power (10x) view of NCI TMA slide stained for TLR4 (green), intestinal epithelium/pan-cytokeratin (red), & nucleus/DAPI (blue). B) Representative tissue cores from normal (I), adenomatous polyps (II), & CRC (III & IV) are shown. C & D) TLR4 staining score by tissue type & tissue compartment (stroma vs epithelium) are shown. C) TLR4 staining in the tumor stroma had a significantly higher average intensity score for stages 3 & 4 CRC when compared to stage 1. D) TLR4 staining in the tumor epithelium had a significantly higher average intensity score for stages 2 & 3 when compared to stage 1. E) TLR4 staining by compartment broken down by stage (controlling for grade) & grade (controlling for stage). Image collected & cropped by CiteAb from the following publication (https://jeccr.biomedcentral.com/articles/10.1186/1756-9966-33-45), licensed under a CC-BY license. Not internally tested by Novus Biologicals.
Immunocytochemistry/ Immunofluorescence: TLR4 Antibody (76B357.1) - BSA Free [NB100-56566] - Immunofluorescent staining of TMAs. A) Low power (10x) view of NCI TMA slide stained for TLR4 (green), intestinal epithelium/pan-cytokeratin (red), & nucleus/DAPI (blue). B) Representative tissue cores from normal (I), adenomatous polyps (II), & CRC (III & IV) are shown. C & D) TLR4 staining score by tissue type & tissue compartment (stroma vs epithelium) are shown. C) TLR4 staining in the tumor stroma had a significantly higher average intensity score for stages 3 & 4 CRC when compared to stage 1. D) TLR4 staining in the tumor epithelium had a significantly higher average intensity score for stages 2 & 3 when compared to stage 1. E) TLR4 staining by compartment broken down by stage (controlling for grade) & grade (controlling for stage). Image collected & cropped by CiteAb from the following publication (https://jeccr.biomedcentral.com/articles/10.1186/1756-9966-33-45), licensed under a CC-BY license. Not internally tested by Novus Biologicals.
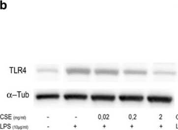
Western Blot: TLR4 Antibody (76B357.1) - BSA Free [NB100-56566] -
Western Blot: TLR4 Antibody (76B357.1) - BSA Free [NB100-56566] - Effect of Cucumis sativus L. extract (CSE) on LPS induced TLR4 expression. a Expression of TLR4 mRNA in pAECs treated with LPS (10 μg/ml) for different time (1, 7, 24 h) in the presence or absence of increasing doses of CSE (0.02; 0.2; 2 mg/ml). mRNA expression of TLR4 is determined by quantitative PCR; relative expression was calculated as fold of change in respect to the control cells & error bar represents the range of relative expression. Different letters above the bars indicate significant differences. b Representative Western Blot of TLR4 & relative housekeeping alpha-tubulin were reported. c Expression of TLR4 protein in pAECs treated with LPS (10 μg/ml) in the presence or absence of increasing doses CSE (0.02; 0.2; 2 mg/ml); data shown are representative of at least three independent experiments & represent the mean ± SEM. Different letters above the bars indicate significant differences (p < 0.05 ANOVA post hoc Tukey’s test) Image collected & cropped by CiteAb from the following publication (https://bmccomplementalternmed.biomedcentral.com/articles/10.1186/s12906-018-2254-1), licensed under a CC-BY license. Not internally tested by Novus Biologicals.
Western Blot: TLR4 Antibody (76B357.1) - BSA Free [NB100-56566] -
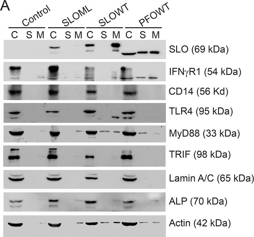
Western Blot: TLR4 Antibody (76B357.1) - BSA Free [NB100-56566] - Activation receptors are shed during intrinsic repair. (A) BMDM were unchallenged (control) or challenged with 500 HU/mL SLO WT, PFO or an equivalent mass of SLO ML for 10 min at 37 °C & centrifuged at 2000 × g for 5 min to yield cell pellet (C). Supernatants were spun at 100,000xg for 40 min at 4 °C to collect the high speed supernatant (S) & microvesicle pellet (M). Samples were solubilized at 95 °C in SDS-sample buffer, resolved by SDS-PAGE & transferred to nitrocellulose. Portions of the blot were probed with 6D11 anti-SLO, anti-IFN gammaR1, 4B4F12 anti-CD14, 76B357.1 anti-TLR4, O91B8 anti-MyD88, 1H4B01 anti-Trif, EPR4477 anti-Alkaline Phosphatase, MANLAC-4A7 anti-Lamin A/C, & AC-15 anti-beta -Actin antibodies followed by relevant secondary antibodies & ECL. Full-length blots are presented in Supplementary Figure S1. (B) BMDM were challenged with 500 HU/mL SLO WT or SLO N402C, SLO ML at equivalent mass to SLO WT, or SLO N402E at equivalent mass to SLO N402C for 10 min. Cell pellets (C), high speed supernatants (S) & microvesicles (M) were isolated as in (A) & probed with 6D11 anti-Streptolysin O, 76B357.1 anti-TLR4, O91B8 anti-MyD88, 1H4B01 anti-Trif, EPR4477 anti-Alkaline Phosphatase, MANLAC-4A7 anti-Lamin A/C, & AC-15 anti-beta -Actin antibodies. Full-length blots are presented in Supplementary Figure S2. The blots are representative of at least 3 independent experiments. Image collected & cropped by CiteAb from the following publication (https://www.nature.com/articles/s41598-018-24955-2), licensed under a CC-BY license. Not internally tested by Novus Biologicals.
Immunocytochemistry/ Immunofluorescence: TLR4 Antibody (76B357.1) - BSA Free [NB100-56566] - Pericryptal Myofibroblasts are Responsible for Increased TLR4 Expression in a Subset of CRCs. A) CRCs were separated into two groups representing low- & high- stromal expression of TLR4 by IHC staining. In normal tissue, stromal TLR4 expression is mainly due to macrophages (Green: TLR4, Red: CD68, Merge: TLR4 + CD68 + DAPI (blue)). Conversely, in CRCs increased vimentin & decreased CD68 staining in the pericryptal space confirm that this signal was due to pericryptal myofibroblasts & not related to tumor-associated macrophages. B) Double-stained immunofluorescence for TLR4 (green) & vimentin (red) in normal (I), adenoma (II), & colon adenocarcinoma (III) (10×). In the stromal compartment of CRCs, immunofluorescent staining for TLR4 localized to the pericryptal myofibroblasts in a subset of samples. C) IHC staining of colon adenocarcinoma for TLR4, vimentin, & alpha-SMA (40×). Staining co-localizes to the pericryptal space, confirming the signal arises from pericryptal myofibroblasts. D, E, & F) An increase in IHC staining for alpha-SMA & vimentin was noted in CRCs when compared to normal or low grade dysplasia. A decrease in staining for CD68 positive macrophages was observed with higher degrees of dysplasia. Image collected & cropped by CiteAb from the following publication (https://jeccr.biomedcentral.com/articles/10.1186/1756-9966-33-45), licensed under a CC-BY license. Not internally tested by Novus Biologicals.
Western Blot: TLR4 Antibody (76B357.1) - BSA Free [NB100-56566] -
Western Blot: TLR4 Antibody (76B357.1) - BSA Free [NB100-56566] - (a1) Q-PCR assay of TLR4 mRNA expression levels after transfecting JJN3 cell line with TLR4 RNAi oligonucleotides or a non-targeting pool (siCtrl) for 48 h. (a2) Representative immunoblotting analyses of protein samples probed with an antibody against TLR4 after TLR4 RNAi for 48 h. (b1) % cell viability & (b2) % proliferation of JJN3 cells after TLR4 RNAi for 48 h. (c,d1) Q-PCR expression analyses of TLR4 mRNA expression levels after transfecting H929 (c) & U266 (d1) cell lines with the pCMV6-TLR4 construct or a pCMV6 empty vector for 48 h. (d2) Immunobloting analyses of U266 cells transfected with pCMV6-TLR4 or pCMV6 vector for 48 h; protein samples were probed with an antibody against TLR4. (e1) % cell viability & (e2) % proliferation of H929 & U266 cells after transfection with the pCMV6-TLR4 construct or with the empty pCMV6 vector for 48 h. beta-ACTIN probing & beta-ACTIN mRNA expression were used as reference for total protein & mRNA input, respectively. Cells transfected with the pCMV6-TLR4 construct are labelled as TLR4 OE (TLR4 overexpression), whereas cells transfected with the pCMV6 empty vector are labelled as Con (control). Image collected & cropped by CiteAb from the following publication (https://pubmed.ncbi.nlm.nih.gov/30824741), licensed under a CC-BY license. Not internally tested by Novus Biologicals.
Western Blot: TLR4 Antibody (76B357.1) - BSA Free [NB100-56566] -
Western Blot: TLR4 Antibody (76B357.1) - BSA Free [NB100-56566] - Regulation of FOXC1 on TLR expression. H9c2 cells were transfected with adenovirus or siRNA to overexpress or knock down FoxC1, with GFP adenovirus (Ad‐GFP) & negative control (NC) siRNA serving as control, respectively. A, FoxC1 overexpression increased Tlr3/4 mRNA & protein levels, under both control & ischaemic conditions. P values from the one‐way ANOVAs: <.001 mrna .002 protein b foxc1 knockdown decreased tlr3 levels. p values from the one anovas: .001 c overexpression up expression of multiple tlr subtypes. .022 .047 .013 .039 .003 .203 .078 .009 data are means sem independent experiments. ap .05 .01 vs. control bp ischaemia image collected cropped by citeab following publication licensed under a cc-by license. not internally tested novus biologicals.>
Western Blot: TLR4 Antibody (76B357.1) - BSA Free [NB100-56566] -
Western Blot: TLR4 Antibody (76B357.1) - BSA Free [NB100-56566] - Dasatinib affects TLR4 signaling to regulate LPS-induced proinflammatory cytokine levels in BV2 microglial cells. a BV2 microglial cells were pretreated with TAK-242 (a TLR4 receptor inhibitor, 500 nM) or vehicle (1% DMSO) for 30 min, treated with dasatinib (250 nM) or vehicle (1% DMSO) for 30 min, & treated with LPS (1 μg/ml) or PBS for 5 h. The mRNA levels of COX-2 & IL-6 were analyzed by RT-PCR. b, c Quantification of the data in a (COX-2: con, n = 10; LPS, n = 10; dasatinib+LPS, n = 10; TAK-242+LPS, n = 10; TAK-242+dasatinib+LPS, n = 10; & IL-6: con, n = 14; LPS, n = 14; dasatinib+LPS, n = 14; TAK-242+LPS, n = 14; TAK-242+ dasatinib+LPS, n = 14). d BV2 microglial cells were treated with dasatinib (250 nM) or vehicle (1% DMSO) for 30 min followed by LPS (1 μg/ml) or PBS for 5.5 h, & cell surface biotinylation was conducted. e, f Quantification of the data in d (Surface TLR4: con, n = 11; LPS, n = 11; dasatinib+LPS, n = 11; Total TLR4: con, n = 16; LPS, n = 16; dasatinib+LPS, n = 16). One-way ANOVA with Tukey’s post hoc test was used to analyze significant differences. **p < 0.01, ***p < 0.001 Image collected & cropped by CiteAb from the following publication (https://pubmed.ncbi.nlm.nih.gov/31655606), licensed under a CC-BY license. Not internally tested by Novus Biologicals.
Western Blot: TLR4 Antibody (76B357.1) - BSA Free [NB100-56566] -
Western Blot: TLR4 Antibody (76B357.1) - BSA Free [NB100-56566] - (a1) Q-PCR assay of TLR4 mRNA expression levels after transfecting JJN3 cell line with TLR4 RNAi oligonucleotides or a non-targeting pool (siCtrl) for 48 h. (a2) Representative immunoblotting analyses of protein samples probed with an antibody against TLR4 after TLR4 RNAi for 48 h. (b1) % cell viability & (b2) % proliferation of JJN3 cells after TLR4 RNAi for 48 h. (c,d1) Q-PCR expression analyses of TLR4 mRNA expression levels after transfecting H929 (c) & U266 (d1) cell lines with the pCMV6-TLR4 construct or a pCMV6 empty vector for 48 h. (d2) Immunobloting analyses of U266 cells transfected with pCMV6-TLR4 or pCMV6 vector for 48 h; protein samples were probed with an antibody against TLR4. (e1) % cell viability & (e2) % proliferation of H929 & U266 cells after transfection with the pCMV6-TLR4 construct or with the empty pCMV6 vector for 48 h. beta-ACTIN probing & beta-ACTIN mRNA expression were used as reference for total protein & mRNA input, respectively. Cells transfected with the pCMV6-TLR4 construct are labelled as TLR4 OE (TLR4 overexpression), whereas cells transfected with the pCMV6 empty vector are labelled as Con (control). Image collected & cropped by CiteAb from the following publication (https://pubmed.ncbi.nlm.nih.gov/30824741), licensed under a CC-BY license. Not internally tested by Novus Biologicals.
Western Blot: TLR4 Antibody (76B357.1) - BSA Free [NB100-56566] -
Western Blot: TLR4 Antibody (76B357.1) - BSA Free [NB100-56566] - TLR4 expression in pVW-MSCs cultured with or without LPS (10 μg/ml) for 1 & 4 h & after additional 24 h of recovery after LPS removal (4hR). a: flow cytometry analysis were performed in not fixed & not permeabilized cells for TLR4 surface expression determination (TLR4: Surface) & in fixed & permeabilized cells to measure the overall TLR4 amount (TLR4: Total). Red histograms: stained cells; blue histograms: control cells. b: representative Western Blot of TLR4 & housekeeping beta-tubulin & relative quantification were presented. c: representative images of TLR4 immunostaining of pVW-MSCs cultured with or without LPS (10 μg/ml) for 4 h. pVW-MSCs nuclei were stained with Hoechst 33258 (blue). Scale bar = 10 μm. Data shown represent the mean ± SD of three biological replicates, each experiment is repeated three times. Data were analysed using one-way ANOVA followed by the Tukey’s post hoc comparison test. Different letters above the bars indicate significant differences (p < 0.05). (AU = Arbitrary Units) Image collected & cropped by CiteAb from the following publication (https://pubmed.ncbi.nlm.nih.gov/31029157), licensed under a CC-BY license. Not internally tested by Novus Biologicals.
Flow Cytometry: TLR4 Antibody (76B357.1) - BSA Free [NB100-56566] - TLR4 expression in pVW-MSCs cultured with or without LPS (10 μg/ml) for 1 & 4 h & after additional 24 h of recovery after LPS removal (4hR). a: flow cytometry analysis were performed in not fixed & not permeabilized cells for TLR4 surface expression determination (TLR4: Surface) & in fixed & permeabilized cells to measure the overall TLR4 amount (TLR4: Total). Red histograms: stained cells; blue histograms: control cells. b: representative Western Blot of TLR4 & housekeeping beta-tubulin & relative quantification were presented. c: representative images of TLR4 immunostaining of pVW-MSCs cultured with or without LPS (10 μg/ml) for 4 h. pVW-MSCs nuclei were stained with Hoechst 33258 (blue). Scale bar = 10 μm. Data shown represent the mean ± SD of three biological replicates, each experiment is repeated three times. Data were analysed using one-way ANOVA followed by the Tukey’s post hoc comparison test. Different letters above the bars indicate significant differences (p < 0.05). (AU = Arbitrary Units) Image collected & cropped by CiteAb from the following publication (https://pubmed.ncbi.nlm.nih.gov/31029157), licensed under a CC-BY license. Not internally tested by Novus Biologicals.
Western Blot: TLR4 Antibody (76B357.1) - BSA Free [NB100-56566] -
Western Blot: TLR4 Antibody (76B357.1) - BSA Free [NB100-56566] - Toll‐like receptor 4 (TLR4)‐shRNA lentivirus reduced myocardial inflammation & improved heart function after myocardial infarction (MI). The rats received intra‐myocardial injection of normal saline (NS), control‐shRNA lentivirus or TLR4‐shRNA lentivirus (1 × 109 TU/ml, 100 μl/heart) just after left anterior descending coronary artery (LAD) ligation or sham operation. All examinations were performed after 4 weeks of MI. (A) Expression of green fluorescent protein (GFP; green), the marker gene carried by TLR4‐shRNA lentivirus, in the myocardium. The nuclei were counter‐stained with Hoechst 33258 (blue). (B) Representative Western blot images & quantification of TLR4 proteins in sham & chronic heart failure (CHF) myocardium. (C) tumour necrosis factor (TNF)‐ alpha & interleukin (IL)‐6 protein contents in infarct & remote myocardium. (D) Representative images of Masson's trichrome staining (upper panel) & quantification (lower panel) of post‐infarct failing hearts, showing that TLR4‐shRNA lentivirus reduced cardiac fibrosis. Cross‐sections were cut at the midhorizontal plane of the fixed paraffin‐embedded heart, & stained with Masson's trichrome reagents. (E) Infarct size of post‐infarct failing hearts. (F) Fractional shortening (%) of the left ventricle (data are means ± SD, n = 4/group, aP < 0.05, AP < 0.01 versus respective sham‐NS; BP < 0.01 versus respective CHF‐NS). Image collected & cropped by CiteAb from the following publication (https://pubmed.ncbi.nlm.nih.gov/26290459), licensed under a CC-BY license. Not internally tested by Novus Biologicals.
Western Blot: TLR4 Antibody (76B357.1) - BSA Free [NB100-56566] -
Western Blot: TLR4 Antibody (76B357.1) - BSA Free [NB100-56566] - ALWPs significantly reduced LPS-induced cell-surface levels of TLR4. (A) BV2 microglial cells were pretreated with TAK-242 (a TLR4 inhibitor, 500 nM) for 30 min, followed by treatment with ALWPs (500 μg/ml) or PBS for 30 min & finally LPS (1 μg/ml) or PBS for 5 h. Total RNA was isolated, & IL-1 beta mRNA levels were measured by RT-PCR. (B) Quantification of the data from (A) (con, n = 20; LPS, n = 20; ALWPs + LPS, n = 20; TAK-242 + LPS, n = 20; TAK-242 + ALWPs + LPS, n = 20). (C) BV2 microglial cells were pretreated with ALWPs (500 μg/ml) or PBS for 30 min, followed by treatment with LPS (1 μg/ml) or PBS for 5.5 h. Cell-surface biotinylation was then conducted with a TLR4 antibody recognizing the N-terminal region of TLR4. (D) Quantification of the data from (C) (Surface TLR4: con, n = 10; LPS, n = 10; ALWPs + LPS, n = 10; Total TLR4: con, n = 4; LPS, n = 4; ALWPs + LPS, n = 4). ∗p < 0.05, ∗∗p < 0.01, ∗∗∗p < 0.001. Image collected & cropped by CiteAb from the following publication (https://pubmed.ncbi.nlm.nih.gov/30319390), licensed under a CC-BY license. Not internally tested by Novus Biologicals.
Immunocytochemistry/ Immunofluorescence: TLR4 Antibody (76B357.1) - BSA Free [NB100-56566] - Pericryptal Myofibroblasts are Responsible for Increased TLR4 Expression in a Subset of CRCs. A) CRCs were separated into two groups representing low- & high- stromal expression of TLR4 by IHC staining. In normal tissue, stromal TLR4 expression is mainly due to macrophages (Green: TLR4, Red: CD68, Merge: TLR4 + CD68 + DAPI (blue)). Conversely, in CRCs increased vimentin & decreased CD68 staining in the pericryptal space confirm that this signal was due to pericryptal myofibroblasts & not related to tumor-associated macrophages. B) Double-stained immunofluorescence for TLR4 (green) & vimentin (red) in normal (I), adenoma (II), & colon adenocarcinoma (III) (10×). In the stromal compartment of CRCs, immunofluorescent staining for TLR4 localized to the pericryptal myofibroblasts in a subset of samples. C) IHC staining of colon adenocarcinoma for TLR4, vimentin, & alpha-SMA (40×). Staining co-localizes to the pericryptal space, confirming the signal arises from pericryptal myofibroblasts. D, E, & F) An increase in IHC staining for alpha-SMA & vimentin was noted in CRCs when compared to normal or low grade dysplasia. A decrease in staining for CD68 positive macrophages was observed with higher degrees of dysplasia. Image collected & cropped by CiteAb from the following publication (https://jeccr.biomedcentral.com/articles/10.1186/1756-9966-33-45), licensed under a CC-BY license. Not internally tested by Novus Biologicals.
The product is shipped with polar packs. Upon receipt, store it immediately at the temperature recommended below.
Stability & Storage
Store at 4C short term. Aliquot and store at -20C long term. Avoid freeze-thaw cycles.
Background: TLR4
TLR4 (Toll-like receptor 4) is a type-1 transmembrane glycoprotein that is a pattern recognition receptor (PRR) belonging to the TLR family (1-3). TLR4 is expressed in many tissues and is most abundantly expressed in the placenta, spleen, and peripheral blood leukocytes (1). Human TLR4 is synthesized as a 839 amino acid (aa) protein containing a signal sequence (1-23 aa), an extracellular domain (ECD) (24-631 aa), a transmembrane domain (632-652 aa), and Toll/interleukin-1 receptor (TIR) cytoplasmic domain (652-839 aa) with a theoretical molecular weight of 95 kDa (3, 4). The ECD contains 21 leucine-rich repeats (LRRs) and has a horseshoe-shaped structure (3, 4). TLR4 requires binding with the co-receptor myeloid differentiation protein 2 (MD2) largely via hydrophilic interactions for proper ligand sensing and signaling (2-4). In general, the TLR family plays a role in activation of innate immunity and responds to a variety of pathogen-associated molecular patterns (PAMPs) (5). TLR4 is specifically responsive to lipopolysaccharide (LPS), which is found on the outer-membrane of most ram-negative bacteria (3-5). Activation of TLR4 requires binding of a ligand, such as LPS to MD2, followed by MD2-LPS complex binding to TLR4, resulting in a partial complex (TLR4-MD2/LPS) (3, 5). To become fully active, two partial complexes must dimerize thereby allowing the TIR domains of TLR4 to bind other adapter molecular and initiate signaling, triggering an inflammatory response and cytokine production (3, 5).
TLR4 signaling occurs through two distinct pathways: The MyD88 (myeloid differentiation primary response gene 88)-dependent pathway and the MyD88-independent (TRIF-dependent, TIR domain-containing adaptor inducing IFN-beta) pathway (3, 5-7). The MyD88-dependent pathway occurs mainly at the plasma membrane and involves the binding of MyD88-adaptor-like (MAL) protein followed by a signaling cascade that results in the activation of transcription factors including nuclear factor-kappaB (NF-kappaB) that promote the secretion of inflammatory molecules and increased phagocytosis (5-7). Conversely, the MyD88-independent pathway occurs after TLR4-MD2 complex internalization in the endosomal compartment. This pathway involves the binding of adapter proteins TRIF and TRIF-related adaptor molecule (TRAM), a signaling activation cascade resulting in IFN regulatory factor 3 (IRF3) translocation into the nucleus, and secretion of interferon-beta (INF-beta) genes and increased phagocytosis (5-7).
Given its expression on immune-related cells and its role in inflammation, TLR4 activation can contribute to various diseases (6-8). For instance, several studies have found that TLR4 activation is associated with neurodegeneration and several central nervous system (CNS) pathologies, including Alzheimer's disease, Parkinson's disease, and Huntington's disease (6, 7). Furthermore, TLR4 mutations have been shown to lead to higher rates of infections and increased susceptibility to sepsis (7-8). One potential therapeutic approach aimed at targeting TLR4 and neuroinflammation is polyphenolic compounds which include flavonoids and phenolic acids and alcohols (8).
Alternative names for TLR4 includes 76B357.1, ARMD10, CD284 antigen, CD284, EC 3.2.2.6, homolog of Drosophila toll, hToll, toll like receptor 4 protein, TOLL, toll-like receptor 4.
References
1. Vaure, C., & Liu, Y. (2014). A comparative review of toll-like receptor 4 expression and functionality in different animal species. Frontiers in immunology. https://doi.org/10.3389/fimmu.2014.00316
2. Park, B. S., & Lee, J. O. (2013). Recognition of lipopolysaccharide pattern by TLR4 complexes. Experimental & molecular medicine. https://doi.org/10.1038/emm.2013.97
3. Krishnan, J., Anwar, M.A., & Choi, S. (2016) TLR4 (Toll-Like Receptor 4). In: Choi S. (eds) Encyclopedia of Signaling Molecules. Springer, New York, NY. https://doi.org/10.1007/978-1-4614-6438-9_592-1
6. Leitner, G. R., Wenzel, T. J., Marshall, N., Gates, E. J., & Klegeris, A. (2019). Targeting toll-like receptor 4 to modulate neuroinflammation in central nervous system disorders. Expert opinion on therapeutic targets. https://doi.org/10.1080/14728222.2019.1676416
7. Molteni, M., Gemma, S., & Rossetti, C. (2016). The Role of Toll-Like Receptor 4 in Infectious and Noninfectious Inflammation. Mediators of inflammation. https://doi.org/10.1155/2016/6978936
8. Rahimifard, M., Maqbool, F., Moeini-Nodeh, S., Niaz, K., Abdollahi, M., Braidy, N., Nabavi, S. M., & Nabavi, S. F. (2017). Targeting the TLR4 signaling pathway by polyphenols: A novel therapeutic strategy for neuroinflammation. Ageing research reviews. https://doi.org/10.1016/j.arr.2017.02.004
Long Name
Toll-like Receptor 4
Alternate Names
CD284, 76B357.1, tlr4 76B357.1, TLR4 facs, TLR4 flow cytometry, TLR4 human, TLR4 ihc, TLR4 western blot
Product Specific Notices
for TLR4 Antibody (76B357.1) - BSA Free
This product is for research use only and is not approved for use in humans or in clinical diagnosis. Primary Antibodies are guaranteed for 1 year from date of receipt.
Bio-Techne uses cookies to provide you with a great website experience. By continuing to use this website you acknowledge this and agree to our cookie policy. Learn more.