Skip to main content

Tight Junction Protein 1 Antibody (BLR092G)

Novus Biologicals, part of Bio-Techne | Catalog # NBP2-80141

Recombinant Monoclonal Antibody
Novus Biologicals, part of Bio-Techne
Catalog #
Availability
Size / Price
Qty
Loading...
NBP2-80141

Key Product Details

Species Reactivity

Human, Mouse

Applications

Immunocytochemistry/ Immunofluorescence, Immunohistochemistry, Immunohistochemistry-Paraffin, Immunoprecipitation, Multiplex Immunofluorescence, Western Blot

Label

Unconjugated

Antibody Source

Recombinant Monoclonal Rabbit IgG Clone # BLR092G

Concentration

This product is unpurified. The exact concentration of antibody is not quantifiable.

Product Specifications

Immunogen

between 650 and 700

Clonality

Monoclonal

Host

Rabbit

Isotype

IgG

Description

Novus Biologicals Rabbit Tight Junction Protein 1 Antibody (BLR092G) (NBP2-80141) is a recombinant monoclonal antibody validated for use in Multiplex Immunofluorescence, IHC, WB, ICC/IF and IP. All Novus Biologicals antibodies are covered by our 100% guarantee.

Scientific Data Images for Tight Junction Protein 1 Antibody (BLR092G)

Western Blot: Tight Junction Protein 1 Antibody (BLR092G) [NBP2-80141]

Western Blot: Tight Junction Protein 1 Antibody (BLR092G) [NBP2-80141]

Western Blot: Tight Junction Protein 1 Antibody (BLR092G) [NBP2-80141] - Detection of human TJP1/ZO-1 by WB of A-549, K-562, HEK293T, MCF-7, Jurkat, HeLa, LNCaP, and RKO lysate. Antibody: Rabbit anti-TJP1/ZO-1 recombinant monoclonal [BLR092G] (NBP2-80141). Secondary: HRP-conjugated goat anti-rabbit IgG (A120-101P). Lower Panel: Rabbit anti-COPB2 antibody.
Immunocytochemistry/ Immunofluorescence: Tight Junction Protein 1 Antibody (BLR092G) [NBP2-80141]

Immunocytochemistry/ Immunofluorescence: Tight Junction Protein 1 Antibody (BLR092G) [NBP2-80141]

Immunocytochemistry/Immunofluorescence: Tight Junction Protein 1 Antibody (BLR092G) [NBP2-80141] - Rabbit anti-ZO-1 recombinant monoclonal antibody [BLR092G]. Secondary: HRP-conjugated goat anti-rabbit IgG. Substrate: DAB.
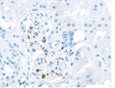
Immunohistochemistry-Paraffin: Tight Junction Protein 1 Antibody (BLR092G) [NBP2-80141]

Immunohistochemistry-Paraffin: Tight Junction Protein 1 Antibody (BLR092G) [NBP2-80141]

Immunohistochemistry-Paraffin: Tight Junction Protein 1 Antibody (BLR092G) [NBP2-80141] - Rabbit anti-ZO-1 recombinant monoclonal antibody [BLR092G]. Secondary: HRPconjugated goat anti-rabbit IgG. Substrate: DAB.

Applications for Tight Junction Protein 1 Antibody (BLR092G)

Application
Recommended Usage

Immunocytochemistry/ Immunofluorescence

1:100- 1:500

Immunohistochemistry

1:100 - 1:500

Immunohistochemistry-Paraffin

1:100 - 1:500

Immunoprecipitation

12 ul / 1 mg lysate

Western Blot

1:1000
Application Notes
Epitope retrieval with citrate buffer pH6.0 is recommended for FFPE tissue sections.

Formulation, Preparation, and Storage

Purification

Tissue culture supernatant

Formulation

Borate Buffered Saline (BBS) pH 8.2, 0.1% BSA

Preservative

0.09% Sodium Azide

Concentration

This product is unpurified. The exact concentration of antibody is not quantifiable.

Shipping

The product is shipped with polar packs. Upon receipt, store it immediately at the temperature recommended below.

Stability & Storage

Store at 4C. Do not freeze.

Background: Tight Junction Protein 1

Members of this family are involved in epithelial and endothelial intercellular junctions. They each contain at least one PSD95/Dlg/ZO-1 (PDZ) domain, a Src homology 3 (SH3) domain, and an enzymatically inactive guanylate kinase domain. PDZ domains are 90-amino acid protein-protein binding domains that recognize at least a 3-residue peptide motif in the COOH termini of their binding partners. PDZ domain-containing proteins, like ZO-1, typically act as scaffolding proteins that organize membrane receptors and cytosolic proteins into multimeric signaling complexes often at the sites of cell-cell contact. The effectiveness and stability of the epithelial barrier depends on a complex of proteins composing different intercellular junctions, which include tight junctions, adherens junctions, and desmosomes. ZO-1 is a peripheral membrane protein bound on the cytoplasmic surface of junctional contacts and is expressed in all tight junctions regardless of their properties. ZO-1 immunoprecipitates with its family member ZO-2. ZO-1 was shown to undergo tyrosine phosphorylation during tight junction formation and remodeling. Two different isoforms of ZO-1, alpha-minus and alpha-plus, have been described, which result from alternative splicing of an mRNA encoded by a single gene. The ZO-1 alpha-plus contains an 80 amino acids motif called alpha which is not present in ZO-1 alpha-minus. The alpha-containing isoform is found in most epithelial cell junctions. The short isoform (ZO-1 alpha-minus) is found both in endothelial cells and the highly specialized epithelial junctions of renal glomeruli and Sertoli cells of the seminiferous tubules. This difference in distribution provides molecular distinction among tight junctions.

Alternate Names

DKFZp686M05161, MGC133289, Tight junction protein 1, tight junction protein 1 (zona occludens 1), tight junction protein ZO-1, TJP1, ZO1, ZO-1, zona occludens 1, Zona occludens protein 1, zonula occludens 1 protein, Zonula occludens protein 1

Gene Symbol

TJP1

Additional Tight Junction Protein 1 Products

Product Documents for Tight Junction Protein 1 Antibody (BLR092G)

Certificate of Analysis

To download a Certificate of Analysis, please enter a lot number in the search box below.

Product Specific Notices for Tight Junction Protein 1 Antibody (BLR092G)

This product is for research use only and is not approved for use in humans or in clinical diagnosis. Primary Antibodies are guaranteed for 1 year from date of receipt.

Loading...
Loading...
Loading...
Loading...