TBLR1 Antibody - BSA Free
Novus Biologicals, part of Bio-Techne | Catalog # NB600-270
Conjugate
Catalog #
Key Product Details
Validated by
Biological Validation
Species Reactivity
Validated:
Human, Mouse
Cited:
Human, Mouse
Applications
Validated:
Immunohistochemistry, Immunohistochemistry-Paraffin, Western Blot, Immunoprecipitation, Chromatin Immunoprecipitation (ChIP)
Cited:
Western Blot, Immunoprecipitation, Chemotaxis
Label
Unconjugated
Antibody Source
Polyclonal Rabbit IgG
Format
BSA Free
Concentration
1.0 mg/ml
Product Specifications
Immunogen
A synthetic peptide that maps to a region between residues 100 and 150 of human TBL1-related Protein 1 using the numbering given in SwissProt entry Q9BZK7 (GeneID 79718).
Clonality
Polyclonal
Host
Rabbit
Isotype
IgG
Scientific Data Images for TBLR1 Antibody - BSA Free
Western Blot: TBLR1 Antibody [NB600-270]
Western Blot: TBLR1 Antibody [NB600-270] - Detection of Human and Mouse TBLR1 by Western Blot. Samples: Whole cell lysate (50 ug) from HeLa, 293T, and mouse NIH3T3 cells prepared using NETN lysis buffer. Antibody: Affinity purified rabbit anti-TBLR1 antibody NB600-270 used for WB at 0.1 ug/ml. Detection: Chemiluminescence with an exposure time of 10 seconds.Immunohistochemistry-Paraffin: TBLR1 Antibody [NB600-270]
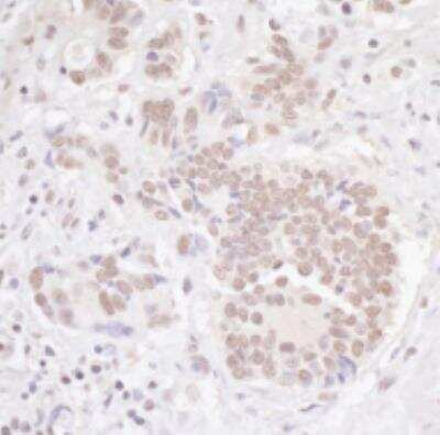
Immunohistochemistry-Paraffin: TBLR1 Antibody [NB600-270] - FFPE section of human colon carcinoma. Antibody: Affinity purified rabbit anti- TBLR1 used at a dilution of 1:1,000 (1ug/ml). Detection: DABImmunoprecipitation: TBLR1 Antibody [NB600-270]
Immunoprecipitation: TBLR1 Antibody [NB600-270] - Detection of human TBLR1 by western blot of immunoprecipitates. Samples: Whole cell lysate (0.5 or 1.0 mg per IP reaction; 20% of IP loaded) from HeLa cells prepared using NETN lysis buffer. Antibodies: Affinity purified rabbit anti-TBLR1 antibody NB600-270 (lot NB600-270-2) used for IP at 6 ug per reaction. TBLR1 was also immunoprecipitated by a previous lot of this antibody (lot NB600-270-1). For blotting immunoprecipitated TBLR1, NB600-270 was used at 1 ug/ml. Detection: Chemiluminescence with an exposure time of 10 seconds.Applications for TBLR1 Antibody - BSA Free
Application
Recommended Usage
Immunohistochemistry-Paraffin
1:1000-1:5000
Immunoprecipitation
2-10 ug/mg lysate
Western Blot
1:2000 - 1:10000
Application Notes
Optimal working dilutions should be determined experimentally by the investigator. Prepare working dilution immediately before use. In some cases, the antibody may be diluted further than indicated. Epitope retrieval with citrate buffer pH6.0 is recommended for FFPE tissue sections. Use in chromatin immunoprecipitation reported in scientific literature (PMID: 31428774).
Formulation, Preparation, and Storage
Purification
Immunogen affinity purified
Formulation
Tris-Citrate/Phosphate (pH 7.0 - 8.0)
Format
BSA Free
Preservative
0.09% Sodium Azide
Concentration
1.0 mg/ml
Shipping
The product is shipped with polar packs. Upon receipt, store it immediately at the temperature recommended below.
Stability & Storage
Store at 4C. Do not freeze.
Background: TBLR1
Alternate Names
C21, DC42, F-box-like/WD repeat-containing protein TBL1XR1, FLJ12894, IRA1Transducin beta-like 1X-related protein 1, nuclear receptor co-repressor/HDAC3 complex subunit, Nuclear receptor corepressor/HDAC3 complex subunit TBLR1, TBLR1TBL1-related protein 1, transducin (beta)-like 1 X-linked receptor 1, transducin (beta)-like 1X-linked receptor 1
Entrez Gene IDs
79718 (Human)
Gene Symbol
TBL1XR1
UniProt
Additional TBLR1 Products
Product Documents for TBLR1 Antibody - BSA Free
Product Specific Notices for TBLR1 Antibody - BSA Free
This product is for research use only and is not approved for use in humans or in clinical diagnosis. Primary Antibodies are guaranteed for 1 year from date of receipt.
Loading...
Loading...
Loading...
Loading...