Skip to main content

TAZ/WWTR1 Antibody (OTI1H9) - Azide and BSA Free

Novus Biologicals, part of Bio-Techne | Catalog # NBP2-74449

Novus Biologicals, part of Bio-Techne

Key Product Details

Species Reactivity

Human, Mouse, Rat

Applications

Immunohistochemistry, Immunohistochemistry-Paraffin, Western Blot

Label

Unconjugated

Antibody Source

Monoclonal Mouse IgG2A Clone # OTI1H9

Format

Azide and BSA Free

Concentration

LYOPH mg/ml

Product Specifications

Immunogen

Full length human recombinant protein of human WWTR1(NP_057287) produced in HEK293T cell.

Reactivity Notes

Please note that this antibody is reactive to Mouse and derived from the same host, Mouse. Mouse-On-Mouse blocking reagent may be needed for IHC and ICC experiments to reduce high background signal. You can find these reagents under catalog numbers PK-2200-NB and MP-2400-NB. Please contact Technical Support if you have any questions.

Clonality

Monoclonal

Host

Mouse

Isotype

IgG2A

Theoretical MW

43.9 kDa.
Disclaimer note: The observed molecular weight of the protein may vary from the listed predicted molecular weight due to post translational modifications, post translation cleavages, relative charges, and other experimental factors.

Description

Novus Biologicals Mouse TAZ/WWTR1 Antibody (OTI1H9) - Azide and BSA Free (NBP2-01209) is a monoclonal antibody validated for use in IHC and WB. All Novus Biologicals antibodies are covered by our 100% guarantee.

Scientific Data Images for TAZ/WWTR1 Antibody (OTI1H9) - Azide and BSA Free

Western Blot: TAZ/WWTR1 Antibody (OTI1H9)Azide and BSA Free [NBP2-74449]

Western Blot: TAZ/WWTR1 Antibody (OTI1H9)Azide and BSA Free [NBP2-74449]

Western Blot: TAZ/WWTR1 Antibody (OTI1H9) - Azide and BSA Free [NBP2-74449] - HEK293T cells were transfected with the pCMV6-ENTRY control (Left lane) or pCMV6-ENTRY TAZ (Right lane) cDNA for 48 hrs and lysed. Equivalent amounts of cell lysates (5 ug per lane) were separated by SDS-PAGE and immunoblotted with anti-TAZ.
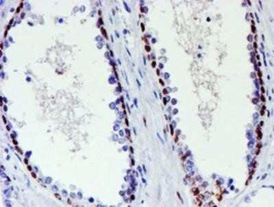
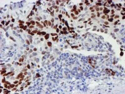
Immunohistochemistry: TAZ/WWTR1 Antibody (OTI1H9) - Azide and BSA Free [NBP2-74449]

Immunohistochemistry: TAZ/WWTR1 Antibody (OTI1H9) - Azide and BSA Free [NBP2-74449]

Immunohistochemistry: TAZ/WWTR1 Antibody (OTI1H9) - Azide and BSA Free [NBP2-74449] - Staining of paraffin-embedded Human prostate tissue using anti-TAZ mouse monoclonal antibody.
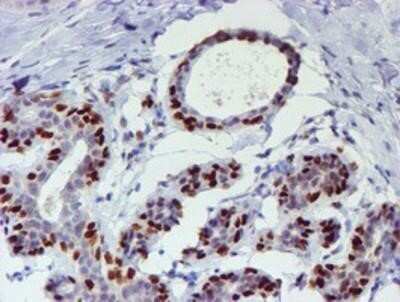
Immunohistochemistry: TAZ/WWTR1 Antibody (OTI1H9) - Azide and BSA Free [NBP2-74449]

Immunohistochemistry: TAZ/WWTR1 Antibody (OTI1H9) - Azide and BSA Free [NBP2-74449]

Immunohistochemistry: TAZ/WWTR1 Antibody (OTI1H9) - Azide and BSA Free [NBP2-74449] - Staining of paraffin-embedded Adenocarcinoma of Human colon tissue using anti-TAZ mouse monoclonal antibody.

Applications for TAZ/WWTR1 Antibody (OTI1H9) - Azide and BSA Free

Application
Recommended Usage

Immunohistochemistry

1:150

Western Blot

1:2000

Formulation, Preparation, and Storage

Purification

Immunogen affinity purified

Reconstitution

we recommend adding 100uL distilled water to a final antibody concentration of about 1 mg/mL. To use this carrier-free antibody for conjugation experiment, we strongly recommend performing another round of desalting process.

Formulation

Lyophilized from PBS (pH 7.3) with 8% Trehalose

Format

Azide and BSA Free

Preservative

No Preservative

Concentration

LYOPH mg/ml

Shipping

The product is shipped with polar packs. Upon receipt, store it immediately at the temperature recommended below.

Stability & Storage

Store at -20C. Avoid freeze-thaw cycles.

Background: TAZ/WWTR1

TAZ is a YAP-related protein that contains a WW domain and transcriptional activation region. TAZ plays a role in mesenchymal stem cell differentiation. The antibody was designed in such a way that should generate a TAZ specific-reagent able to differentiate between YAP and TAZ proteins in cells and tissues.

Long Name

Transcriptional Coactivator with PDZ-binding Motif

Alternate Names

WWTR1

Gene Symbol

WWTR1

Additional TAZ/WWTR1 Products

Product Documents for TAZ/WWTR1 Antibody (OTI1H9) - Azide and BSA Free

Certificate of Analysis

To download a Certificate of Analysis, please enter a lot number in the search box below.

Product Specific Notices for TAZ/WWTR1 Antibody (OTI1H9) - Azide and BSA Free

This product is for research use only and is not approved for use in humans or in clinical diagnosis. Primary Antibodies are guaranteed for 1 year from date of receipt.

Loading...
Loading...
Loading...
Loading...
Loading...
Loading...