TARS Antibody - BSA Free
Novus Biologicals, part of Bio-Techne | Catalog # NBP1-89427
Key Product Details
Species Reactivity
Human
Applications
Immunohistochemistry, Immunohistochemistry-Paraffin, Western Blot, Immunocytochemistry/ Immunofluorescence, Simple Western
Label
Unconjugated
Antibody Source
Polyclonal Rabbit IgG
Format
BSA Free
Concentration
Concentrations vary lot to lot. See vial label for concentration. If unlisted please contact technical services.
Product Specifications
Immunogen
This antibody was developed against Recombinant Protein corresponding to amino acids: MFEEKASSPSGKMGGEEKPIGAGEEKQKEGGKKKNKEGSGDGGRAELNPWPEYIYTRLEMYNIL
Clonality
Polyclonal
Host
Rabbit
Isotype
IgG
Scientific Data Images for TARS Antibody - BSA Free
Immunocytochemistry/ Immunofluorescence: TARS Antibody [NBP1-89427]
Immunocytochemistry/Immunofluorescence: TARS Antibody [NBP1-89427] - Immunofluorescent staining of human cell line U-2 OS shows localization to cytosol & actin filaments.Immunohistochemistry-Paraffin: TARS Antibody [NBP1-89427]
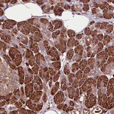
Immunohistochemistry-Paraffin: TARS Antibody [NBP1-89427] - Staining of human pancreas shows strong cytoplasmic positivity in exocrine glandular cells.Simple Western: TARS Antibody [NBP1-89427]
Simple Western: TARS Antibody [NBP1-89427] - Electropherogram image of the corresponding Simple Western lane view. TARS antibody was used at 1:25 dilution on U-251 MG and H. Pancreas lysate(s) respectively.Applications for TARS Antibody - BSA Free
Application
Recommended Usage
Immunocytochemistry/ Immunofluorescence
0.25-2 ug/ml
Immunohistochemistry
1:200 - 1:500
Immunohistochemistry-Paraffin
1:200 - 1:500
Simple Western
1:25
Western Blot
0.04-0.4 ug/ml
Application Notes
For IHC-Paraffin, HIER pH 6 retrieval is recommended. Immunocytochemistry/Immunofluorescence Fixation Permeabilization: Use PFA/Triton X-100. In Simple Western only 10-15 uL of the recommended dilution is used per data point.
See Simple Western Antibody Database for Simple Western validation: Tested in U-251 MG and H. pancreas lysates, separated by Size, antibody dilution of 1:25
See Simple Western Antibody Database for Simple Western validation: Tested in U-251 MG and H. pancreas lysates, separated by Size, antibody dilution of 1:25
Formulation, Preparation, and Storage
Purification
Affinity purified
Formulation
PBS (pH 7.2) and 40% Glycerol
Format
BSA Free
Preservative
0.02% Sodium Azide
Concentration
Concentrations vary lot to lot. See vial label for concentration. If unlisted please contact technical services.
Shipping
The product is shipped with polar packs. Upon receipt, store it immediately at the temperature recommended below.
Stability & Storage
Store at 4C short term. Aliquot and store at -20C long term. Avoid freeze-thaw cycles.
Background: TARS
Alternate Names
cytoplasmic, EC 6.1.1.3, MGC9344, Threonine--tRNA ligase, threonyl-tRNA synthetase, threonyl-tRNA synthetase, cytoplasmic
Gene Symbol
TARS1
Additional TARS Products
Product Documents for TARS Antibody - BSA Free
Product Specific Notices for TARS Antibody - BSA Free
This product is for research use only and is not approved for use in humans or in clinical diagnosis. Primary Antibodies are guaranteed for 1 year from date of receipt.
Loading...
Loading...
Loading...
Loading...