Skip to main content

Survivin Antibody (1277A) - Azide and BSA Free

Novus Biologicals, part of Bio-Techne | Catalog # NBP2-80971

Recombinant Monoclonal Antibody
Novus Biologicals, part of Bio-Techne
Catalog #
Availability
Size / Price
Qty
Loading...
NBP2-80971

Key Product Details

Species Reactivity

Human

Applications

Immunohistochemistry, Immunohistochemistry-Paraffin, Western Blot, Flow (Intracellular), Immunocytochemistry/ Immunofluorescence, Simple Western

Label

Unconjugated

Antibody Source

Recombinant Monoclonal Rabbit IgG Clone # 1277A expressed in HEK293

Format

Azide and BSA Free

Concentration

1 mg/ml

Product Specifications

Immunogen

This Recombinant Survivin Antibody (1277A) was developed against full length recombinant human Survivin

Clonality

Monoclonal

Host

Rabbit

Isotype

IgG

Theoretical MW

16 kDa.
Disclaimer note: The observed molecular weight of the protein may vary from the listed predicted molecular weight due to post translational modifications, post translation cleavages, relative charges, and other experimental factors.

Description

Novus Biologicals Rabbit Survivin Antibody (1277A) - Azide and BSA Free (NBP2-59503) is a recombinant monoclonal antibody validated for use in IHC, WB, Flow, ICC/IF and Simple Western. All Novus Biologicals antibodies are covered by our 100% guarantee.

Scientific Data Images for Survivin Antibody (1277A) - Azide and BSA Free

Western Blot: Survivin Antibody (1277A)Azide and BSA Free [NBP2-80971]

Western Blot: Survivin Antibody (1277A)Azide and BSA Free [NBP2-80971]

Western Blot: Survivin Antibody (1277A) - Azide and BSA Free [NBP2-80971] - Total protein from human HeLa and A431 cell lines was separated on a 4-20% gel by SDS-PAGE, transferred to 0.2 um Polyvinylidene fluoride (PVDF) membrane and blocked in 5% non-fat milk in TBST. The membrane was probed with 1.0 ug/ml [NBP2-59503] in block buffer and detected with an anti-rabbit HRP secondary antibody using chemiluminescence. Note: predicted molecular weight is 16 kDa. Image from the standard format of this antibody.
Immunocytochemistry/ Immunofluorescence: Survivin Antibody (1277A) - Azide and BSA Free [NBP2-80971]

Immunocytochemistry/ Immunofluorescence: Survivin Antibody (1277A) - Azide and BSA Free [NBP2-80971]

Immunocytochemistry/Immunofluorescence: Survivin Antibody (1277A) - Azide and BSA Free [NBP2-80971] - HeLa cells were fixed for 10 minutes using 10% formalin and then permeabilized for 5 minutes using 1X TBS + 0.5% Triton X-100. The cells were incubated with Survivin Antibody (1277A) [NBP2-59503] at 2 ug/ml overnight at 4C and detected with an anti-rabbit DyLight 488 (Green) at a 1:500 dilution. Alpha tubulin (DM1A) [NB100-690] was used as a co-stain at a 1:1000 dilution and detected with an anti-mouse DyLight 550 (Red) at a 1:500 dilution. Nuclei were counterstained with DAPI (Blue). Cells were imaged using a 40X objective. Image from the standard format of this antibody.
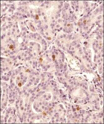
Immunohistochemistry-Paraffin: Survivin Antibody (1277A) - Azide and BSA Free [NBP2-80971]

Immunohistochemistry-Paraffin: Survivin Antibody (1277A) - Azide and BSA Free [NBP2-80971]

Immunohistochemistry-Paraffin: Survivin Antibody (1277A) - Azide and BSA Free [NBP2-80971] - Analysis of a formalin-fixed paraffin-embedded (FFPE) human prostate cancer tissue with rabbit monoclonal Survivin Antibody [NBP2-59503] at 2 ug/ml concentration. The staining was developed with HRP-DAB detection method and the sections were counterstaine

Applications for Survivin Antibody (1277A) - Azide and BSA Free

Application
Recommended Usage

Flow (Intracellular)

1 - 2.5 ug/ml

Immunocytochemistry/ Immunofluorescence

1 - 5 ug/ml

Immunohistochemistry-Paraffin

2 ug/ml

Simple Western

10 ug/ml

Western Blot

1 - 2 ug/ml

Formulation, Preparation, and Storage

Purification

Protein A or G purified from cell culture supernatant

Formulation

PBS

Format

Azide and BSA Free

Preservative

No Preservative

Concentration

1 mg/ml

Shipping

The product is shipped with polar packs. Upon receipt, store it immediately at the temperature recommended below.

Stability & Storage

Store at 4C short term. Aliquot and store at -20C long term. Avoid freeze-thaw cycles.

Background: Survivin

Survivin (BIRC5 or IAP4) is the smallest member of the inhibitor of apoptosis (IAP) proteins, containing only a single baculovirus IAP repeat (BIR) domain and lacking the C-terminal RING domain. Survivin has a theoretical molecular weight of 16.5 kDa (wild-type protein) and exists as ten splice variant forms including the most predominant isoforms, survivin-2B and surviving-DeltaEx3 (1). It also undergoes phosphorylation by PKA, Plk1, Cdk1, CKII and Aurora B at multiple sites (e.g. Serine 20 and Threonine 34, 53 and 117).

Besides being highly abundant in fetal development and expressed in proliferating adult cells such as activated T lymphocytes, erythroblasts, and self-renewing stem cells, survivin is generally absent in adult tissues. However, it is elevated in common cancers such as lung, colon, pancreas, breast and prostate where it drives proliferation, metastasis, poor prognosis, and decreased patient survival (2).

Survivin has been shown to be involved in multiple cellular processes including cell cycle progression, mitotic spindle assembly, kinetochore attachment, angiogenesis, migration, and its anti-apoptotic activity has been linked to both its monomeric and homodimeric forms. Survivin impacts the function of other IAP members, c-IAP1 and c-IAP-2, or modulates the inhibitory activity of XIAP against caspases by forming a stable complex with XIAP and HBXIP. During the intrinsic apoptotic pathway, survivin may prevent the release of mitochondrial APAF1 into the cytoplasm or hinder the association of SMAC with other IAPS, which results in prolonged cell survival (3).

References

1. Sah NK, Seniya C. (2015) Survivin splice variants and their diagnostic significance. Tumour Biol. 36(9):6623-31. PMID: 26245993

2. Lladser A, Sanhueza C, Kiessling R, Quest AF. (2011) Is survivin the potential Achilles' heel of cancer? Adv Cancer Res. 111:1-37. PMID: 21704829

3. Wheatley SP, Altieri DC. (2019) Survivin at a glance. J Cell Sci. 132(7). PMID: 30948431

Alternate Names

API4, BIRC5

Gene Symbol

BIRC5

Additional Survivin Products

Product Documents for Survivin Antibody (1277A) - Azide and BSA Free

Certificate of Analysis

To download a Certificate of Analysis, please enter a lot number in the search box below.

Product Specific Notices for Survivin Antibody (1277A) - Azide and BSA Free

This product is for research use only and is not approved for use in humans or in clinical diagnosis. Primary Antibodies are guaranteed for 1 year from date of receipt.

Loading...
Loading...
Loading...
Loading...
Loading...
Loading...