Skip to main content

SRC1 Antibody - BSA Free

Novus Biologicals, part of Bio-Techne | Catalog # NB100-312

Novus Biologicals, part of Bio-Techne

Key Product Details

Validated by

Biological Validation

Species Reactivity

Human, Mouse

Applications

Immunohistochemistry, Western Blot, Immunoprecipitation

Label

Unconjugated

Antibody Source

Polyclonal Rabbit IgG

Format

BSA Free

Concentration

1.0 mg/ml

Product Specifications

Immunogen

A 29 amino acid synthetic peptide, which represented a portion of human nuclear receptor coactivator 1 encoded within exon 12 (LocusLink ID 8648).

Clonality

Polyclonal

Host

Rabbit

Isotype

IgG

Description

This antibody can be used as the primary antibody in a PLA assay with the following as complementing antibodies:NB500-160, NBP1-19102

Scientific Data Images for SRC1 Antibody - BSA Free

Western Blot: SRC1 Antibody [NB100-312]

Western Blot: SRC1 Antibody [NB100-312]

Western Blot: SRC1 Antibody [NB100-312] - Detection of Human and Mouse SRC1 by Western Blot. Samples: Whole cell lysate from 293T (50, 15, 5 ug), and (50 ug) from HeLa, and mouse NIH3T3 cells prepared using NETN lysis buffer. Antibody: Affinity purified rabbit anti-SRC1 antibody NB100-312 used for WB at 0.1 ug/ml. Detection: Chemiluminescence with an exposure time of 30 seconds.
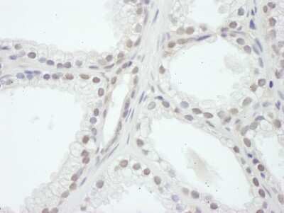
Immunohistochemistry: SRC1 Antibody [NB100-312]

Immunohistochemistry: SRC1 Antibody [NB100-312]

Immunohistochemistry: SRC1 Antibody [NB100-312] - Sample: FFPE section of human prostate carcinoma. Antibody: Affinity purified rabbit anti- SRC1 used at a dilution of 1:1,000 (1ug/ml). Detection: DAB. Counterstain: IHC Hematoxylin (blue).
Western Blot: SRC1 Antibody [NB100-312]

Western Blot: SRC1 Antibody [NB100-312]

Western Blot: SRC1 Antibody [NB100-312] - Nuclear extract (10 mg) from HeLa cells. Antibody used at 20 ug/10 mg extract.

Applications for SRC1 Antibody - BSA Free

Application
Recommended Usage

Western Blot

1:1000-1:10000
Application Notes
NB 100-312 may be used for Western blot. The investigator should determine the optimal working dilution for a specific application.

Formulation, Preparation, and Storage

Purification

Immunogen affinity purified

Formulation

Tris-Citrate/Phosphate (pH 7.0 - 8.0)

Format

BSA Free

Preservative

0.09% Sodium Azide

Concentration

1.0 mg/ml

Shipping

The product is shipped with polar packs. Upon receipt, store it immediately at the temperature recommended below.

Stability & Storage

Store at 4C. Do not freeze.

Background: SRC1

Steroid and thyroid hormones and retinoic acid regulate a complex array of gene expression activity via intracellular receptor transcription factors belonging to the ligand dependent nuclear receptor superfamily. Adding to the complexity of function of these transcription factors are associated proteins known as coactivators and corepressors which, as their names suggest, enhance or depress transcriptional activity of the nuclear receptor with which they associate. One such coactivator is Steroid Receptor Coactivator-1 (SRC 1), a 110 kDa protein. SRC 1 has been shown to interact with and stimulate the transcriptional activity of estrogen, progesterone, retinoic acid, thyroid and glucocorticoid receptors, as well as retinoic X receptor (RXR) in a ligand dependent manner. The amino terminal region of SRC 1 contains a PAS-A-basic helix-loop-helix homology domain which has previously been shown to be dimerization domains in other nuclear transcription factors including the aryl hydrocarbon (Ah) receptor and its heterodimerization partner, ARNT. The carboxy-terminal region of SRC 1 has been shown to possess histone acetyltransferase activity specific primarily for histones H3 & H4.

Long Name

Nuclear receptor coactivator 1

Alternate Names

bHLHe74, NCoA-1, NCOA1, Protein Hin-2, RIP160

Gene Symbol

NCOA1

Additional SRC1 Products

Product Documents for SRC1 Antibody - BSA Free

Certificate of Analysis

To download a Certificate of Analysis, please enter a lot number in the search box below.

Product Specific Notices for SRC1 Antibody - BSA Free

This antibody can be used as the primary antibody in a PLA assay with the following as complementing antibodies:NB500-160, NBP1-19102

This product is for research use only and is not approved for use in humans or in clinical diagnosis. Primary Antibodies are guaranteed for 1 year from date of receipt.

Loading...
Loading...
Loading...
Loading...