SOX11 Antibody (SOX11/7236) - Azide and BSA Free
Novus Biologicals, part of Bio-Techne | Catalog # NBP3-14182
Conjugate
Catalog #
Key Product Details
Species Reactivity
Human
Applications
Immunohistochemistry-Paraffin
Label
Unconjugated
Antibody Source
Monoclonal Mouse IgG1 kappa Clone # SOX11/7236
Format
Azide and BSA Free
Concentration
1 mg/ml
Product Specifications
Immunogen
Recombinant fragment (around aa50-200) of human SOX11 protein (exact sequence is proprietary) (Uniprot: P35716 )
Localization
Nucleus
Specificity
Recognizes a protein of ~47kDa, identified as SOX11. This monoclonal antibody is highly specific and does not cross-react with other members of the SOX-family. Mantle cell lymphoma (MCL) accounts for 5% to 10% of mature B-cell neoplasms and is an aggressive disease genetically characterized by overexpression of Cyclin D1. Cyclin D1 overexpression is the hallmark of MCL. However, approximately 5%-10% of MCLs lack Cyclin D1 expression and may be misdiagnosed. Almost all Cyclin D1-positive as well as Cyclin D1-negative MCL, show overexpression of SOX-11. The detection of this transcription factor is a useful biomarker for identifying true cyclin D1-negative MCL.
Marker
Mantle Cell Lymphoma Marker
Clonality
Monoclonal
Host
Mouse
Isotype
IgG1 kappa
Theoretical MW
47 kDa.
Disclaimer note: The observed molecular weight of the protein may vary from the listed predicted molecular weight due to post translational modifications, post translation cleavages, relative charges, and other experimental factors.
Disclaimer note: The observed molecular weight of the protein may vary from the listed predicted molecular weight due to post translational modifications, post translation cleavages, relative charges, and other experimental factors.
Description
1.0 mg/ml of antibody purified from Bioreactor Concentrate by Protein A/G. Prepared in 10mM PBS WITHOUT BSA & azide. Also available at 200 ug/ml WITH BSA & azide (NBP3-13779).
Antibody with azide - store at 2 to 8C. Antibody without azide - store at -20 to -80 C.
Antibody with azide - store at 2 to 8C. Antibody without azide - store at -20 to -80 C.
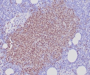
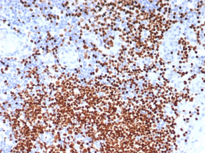
Scientific Data Images for SOX11 Antibody (SOX11/7236) - Azide and BSA Free
SOX11 Antibody (SOX11/7236)
Formalin-fixed, paraffin-embedded human tonsil stained with SOX11 antibody (SOX11/7236). HIER: Tris/EDTA, pH9.0, 45min. Secondary: HRP-polymer, 30min. DAB, 5min.SOX11 Antibody (SOX11/7236)
Formalin-fixed, paraffin-embedded human mantle cell lymphoma stained with SOX11 antibody (SOX11/7236). HIER: Tris/EDTA, pH9.0, 45min. Secondary: HRP-polymer, 30min. DAB, 5min.SOX11 Antibody (SOX11/7236)
Formalin-fixed, paraffin-embedded human lymph node stained with SOX11 antibody (SOX11/7236). HIER: Tris/EDTA, pH9.0, 45min. Secondary: HRP-polymer, 30min. DAB, 5min.Applications for SOX11 Antibody (SOX11/7236) - Azide and BSA Free
Application
Recommended Usage
Immunohistochemistry-Paraffin
1-2 ug/ml
Application Notes
Immunohistochemistry (Formalin-fixed): 1-2ug/ml for 30 minutes at RT. Staining of formalin-fixed tissues requires heating tissue sections in 10mM Tris with 1mM EDTA, pH 9.0, for 45 min at 95C followed by cooling at RT for 20 minutes
Formulation, Preparation, and Storage
Purification
Protein A or G purified
Formulation
10mM PBS
Format
Azide and BSA Free
Preservative
No Preservative
Concentration
1 mg/ml
Shipping
The product is shipped with polar packs. Upon receipt, store it immediately at the temperature recommended below.
Stability & Storage
Store at -20 to -80C. Avoid freeze-thaw cycles.
Background: SOX11
Long Name
Transcription Factor SRY (Sex Determining Region Y)-box 11
Alternate Names
SRY (sex determining region Y)-box 11, SRY (sex-determining region Y)-box 11, SRY-related HMG-box gene 11, transcription factor SOX-11
Gene Symbol
SOX11
Additional SOX11 Products
Product Documents for SOX11 Antibody (SOX11/7236) - Azide and BSA Free
Product Specific Notices for SOX11 Antibody (SOX11/7236) - Azide and BSA Free
This product is for research use only and is not approved for use in humans or in clinical diagnosis. Primary Antibodies are guaranteed for 1 year from date of receipt.
Loading...
Loading...
Loading...
Loading...