Skip to main content

SOX11 Antibody (SOX11/7236)

Novus Biologicals, part of Bio-Techne | Catalog # NBP3-13779

Novus Biologicals, part of Bio-Techne
Catalog #
Availability
Size / Price
Qty
Loading...
NBP3-13779-100ug
NBP3-13779-20ug

Key Product Details

Species Reactivity

Human

Applications

Immunohistochemistry-Paraffin

Label

Unconjugated

Antibody Source

Monoclonal Mouse IgG1 kappa Clone # SOX11/7236

Concentration

0.2 mg/ml

Product Specifications

Immunogen

Recombinant fragment (around aa50-200) of human SOX11 protein (exact sequence is proprietary) (Uniprot: P35716 )

Localization

Nucleus

Specificity

Recognizes a protein of ~47kDa, identified as SOX11. This monoclonal antibody is highly specific and does not cross-react with other members of the SOX-family. Mantle cell lymphoma (MCL) accounts for 5% to 10% of mature B-cell neoplasms and is an aggressive disease genetically characterized by overexpression of Cyclin D1. Cyclin D1 overexpression is the hallmark of MCL. However, approximately 5%-10% of MCLs lack Cyclin D1 expression and may be misdiagnosed. Almost all Cyclin D1-positive as well as Cyclin D1-negative MCL, show overexpression of SOX-11. The detection of this transcription factor is a useful biomarker for identifying true cyclin D1-negative MCL.

Marker

Mantle Cell Lymphoma Marker

Clonality

Monoclonal

Host

Mouse

Isotype

IgG1 kappa

Theoretical MW

47 kDa.
Disclaimer note: The observed molecular weight of the protein may vary from the listed predicted molecular weight due to post translational modifications, post translation cleavages, relative charges, and other experimental factors.

Description

200ug/ml of antibody purified from Bioreactor Concentrate by Protein A or G. Prepared in 10 mM PBS with 0.05% BSA & 0.05% azide. Also available WITHOUT BSA & azide at 1.0 mg/ml. (NBP3-14182)

Antibody with azide - store at 2 to 8C. Antibody without azide - store at -20 to -80 C.

Scientific Data Images for SOX11 Antibody (SOX11/7236)

Immunohistochemistry-Paraffin: SOX11 Antibody (SOX11/7236) [NBP3-13779]

Immunohistochemistry-Paraffin: SOX11 Antibody (SOX11/7236) [NBP3-13779]

Immunohistochemistry-Paraffin: SOX11 Antibody (SOX11/7236) [NBP3-13779] - Formalin-fixed, paraffin-embedded human tonsil stained with SOX11 antibody (SOX11/7236). HIER: Tris/EDTA, pH9.0, 45min. HRP-polymer, 30min. DAB, 5min.
Immunohistochemistry-Paraffin: SOX11 Antibody (SOX11/7236) [NBP3-13779]

Immunohistochemistry-Paraffin: SOX11 Antibody (SOX11/7236) [NBP3-13779]

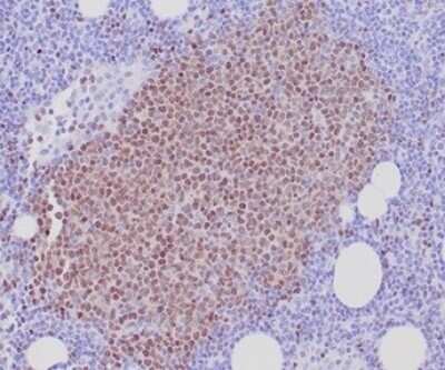
Immunohistochemistry-Paraffin: SOX11 Antibody (SOX11/7236) [NBP3-13779] - Formalin-fixed, paraffin-embedded human mantle cell lymphoma stained with SOX11 antibody (SOX11/7236). HIER: Tris/EDTA, pH9.0, 45min. HRP-polymer, 30min. DAB, 5min.
Immunohistochemistry-Paraffin: SOX11 Antibody (SOX11/7236) [NBP3-13779]

Immunohistochemistry-Paraffin: SOX11 Antibody (SOX11/7236) [NBP3-13779]

Immunohistochemistry-Paraffin: SOX11 Antibody (SOX11/7236) [NBP3-13779] - Formalin-fixed, paraffin-embedded human lymph node stained with SOX11 antibody (SOX11/7236). HIER: Tris/EDTA, pH9.0, 45min. HRP-polymer, 30min. DAB, 5min.

Applications for SOX11 Antibody (SOX11/7236)

Application
Recommended Usage

Immunohistochemistry-Paraffin

1-2 ug/ml
Application Notes
Immunohistochemistry (Formalin-fixed): 1-2ug/ml for 30 minutes at RT. Staining of formalin-fixed tissues requires heating tissue sections in 10mM Tris with 1mM EDTA, pH 9.0, for 45 min at 95C followed by cooling at RT for 20 minutes

Formulation, Preparation, and Storage

Purification

Protein A or G purified

Formulation

10 mM PBS with 0.05% BSA

Preservative

0.05% Sodium Azide

Concentration

0.2 mg/ml

Shipping

The product is shipped with polar packs. Upon receipt, store it immediately at the temperature recommended below.

Stability & Storage

Store at 4C.

Background: SOX11

SOX11 encodes a member of the SOX (SRY-related HMG-box) family of transcription factors involved in the regulation of embryonic development and in the determination of the cell fate. The encoded protein may act as a transcriptional regulator after forming a protein complex with other proteins. The protein may function in the developing nervous system and play a role in tumorigenesis.

Long Name

Transcription Factor SRY (Sex Determining Region Y)-box 11

Alternate Names

SRY (sex determining region Y)-box 11, SRY (sex-determining region Y)-box 11, SRY-related HMG-box gene 11, transcription factor SOX-11

Gene Symbol

SOX11

UniProt

Additional SOX11 Products

Product Documents for SOX11 Antibody (SOX11/7236)

Certificate of Analysis

To download a Certificate of Analysis, please enter a lot number in the search box below.

Product Specific Notices for SOX11 Antibody (SOX11/7236)

This product is for research use only and is not approved for use in humans or in clinical diagnosis. Primary Antibodies are guaranteed for 1 year from date of receipt.

Loading...
Loading...
Loading...
Loading...