Skip to main content

Sorting Nexin 31 Antibody - BSA Free

Novus Biologicals, part of Bio-Techne | Catalog # NBP1-92423

Novus Biologicals, part of Bio-Techne
Catalog #
Availability
Size / Price
Qty
Loading...
NBP1-92423
NBP1-92423-25ul

Key Product Details

Species Reactivity

Human

Applications

Immunohistochemistry, Immunohistochemistry-Paraffin, Western Blot

Label

Unconjugated

Antibody Source

Polyclonal Rabbit IgG

Format

BSA Free

Concentration

Concentrations vary lot to lot. See vial label for concentration. If unlisted please contact technical services.

Product Specifications

Immunogen

This antibody was developed against Recombinant Protein corresponding to amino acids: LEAFQKEDSQTKFLELAREVRHYGYLQLDPCTCDYPESGSGAVLSVGNNEISCCITLPDSQTQDIVFQMSRVKCWQVTFLGTLLDTDGPQRTLNQNLE

Reactivity Notes

Immunogen displays the following percentage of sequence identity for non-tested species: Mouse (82%)

Clonality

Polyclonal

Host

Rabbit

Isotype

IgG

Description

Novus Biologicals Rabbit Sorting Nexin 31 Antibody - BSA Free (NBP1-92423) is a polyclonal antibody validated for use in IHC and WB. All Novus Biologicals antibodies are covered by our 100% guarantee.

Scientific Data Images for Sorting Nexin 31 Antibody - BSA Free

Western Blot: Sorting Nexin 31 Antibody [NBP1-92423]

Western Blot: Sorting Nexin 31 Antibody [NBP1-92423]

Western Blot: Sorting Nexin 31 Antibody [NBP1-92423] - Lane 1: Marker [kDa] 230, 130, 95, 72, 56, 36, 28, 17, 11. Lane 2: Human cell line RT-4.
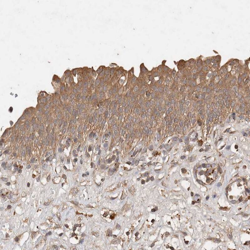
Immunohistochemistry-Paraffin: Sorting Nexin 31 Antibody [NBP1-92423]

Immunohistochemistry-Paraffin: Sorting Nexin 31 Antibody [NBP1-92423]

Immunohistochemistry-Paraffin: Sorting Nexin 31 Antibody [NBP1-92423] - Staining of human urinary bladder shows moderate cytoplasmic positivity in urothelial cells.
Western Blot: Sorting Nexin 31 Antibody [NBP1-92423]

Western Blot: Sorting Nexin 31 Antibody [NBP1-92423]

Western Blot: Sorting Nexin 31 Antibody [NBP1-92423] - Analysis in human cell line RT-4.

Applications for Sorting Nexin 31 Antibody - BSA Free

Application
Recommended Usage

Immunohistochemistry

1:10-1:500

Immunohistochemistry-Paraffin

1:50-1:200

Western Blot

1:100-1:500
Application Notes
For IHC-Paraffin, HIER pH 6 retrieval is recommended.

Formulation, Preparation, and Storage

Purification

Immunogen affinity purified

Formulation

PBS (pH 7.2) and 40% Glycerol

Format

BSA Free

Preservative

0.02% Sodium Azide

Concentration

Concentrations vary lot to lot. See vial label for concentration. If unlisted please contact technical services.

Shipping

The product is shipped with polar packs. Upon receipt, store it immediately at the temperature recommended below.

Stability & Storage

Store at 4C short term. Aliquot and store at -20C long term. Avoid freeze-thaw cycles.

Background: Sorting Nexin 31

SNX31, also known as Sorting nexin 31, has 2 isoforms, a 440 amino acid long isoform that is 51 kDa and a short 341 amino acid isoform that is 39 kDa, and may be involved in protein trafficking. The protein is being studied for its involvement in lupus erythematosus. This protein is being linked to cell communication and protein transport biological processes.

Alternate Names

MGC39715, sorting nexin 31, sorting nexin-31

Gene Symbol

SNX31

Additional Sorting Nexin 31 Products

Product Documents for Sorting Nexin 31 Antibody - BSA Free

Certificate of Analysis

To download a Certificate of Analysis, please enter a lot number in the search box below.

Product Specific Notices for Sorting Nexin 31 Antibody - BSA Free

This product is for research use only and is not approved for use in humans or in clinical diagnosis. Primary Antibodies are guaranteed for 1 year from date of receipt.

Loading...
Loading...
Loading...
Loading...