Skip to main content

Somatostatin Antibody (HL1101) - Azide and BSA Free

Novus Biologicals, part of Bio-Techne | Catalog # NBP3-13719

Recombinant Monoclonal Antibody
Novus Biologicals, part of Bio-Techne
Catalog #
Availability
Size / Price
Qty
Loading...
NBP3-13719

Key Product Details

Species Reactivity

Mouse, Rat

Applications

Immunohistochemistry, Immunohistochemistry-Paraffin, Western Blot

Label

Unconjugated

Antibody Source

Recombinant Monoclonal Rabbit IgG Clone # HL1101 expressed in HEK293

Format

Azide and BSA Free

Concentration

Concentrations vary lot to lot. See vial label for concentration. If unlisted please contact technical services.

Product Specifications

Immunogen

Carrier-protein conjugated synthetic peptide encompassing a sequence within the center region of mouse Somatostatin. The exact sequence is proprietary.

Clonality

Monoclonal

Host

Rabbit

Isotype

IgG

Description

Centrifuge briefly prior to opening.

Scientific Data Images for Somatostatin Antibody (HL1101) - Azide and BSA Free

Western Blot: Somatostatin Antibody (HL1101) [NBP3-13719]

Western Blot: Somatostatin Antibody (HL1101) [NBP3-13719]

Western Blot: Somatostatin Antibody (HL1101) [NBP3-13719] - Various tissue extracts (50 ug) were separated by 15% SDS-PAGE, and the membrane was blotted with Somatostatin antibody [HL1101] (NBP3-13719) diluted at 1:5000. The HRP-conjugated anti-rabbit IgG antibody (NBP2-19301) was used to detect the primary antibody.
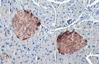
Immunohistochemistry-Paraffin: Somatostatin Antibody (HL1101) [NBP3-13719]

Immunohistochemistry-Paraffin: Somatostatin Antibody (HL1101) [NBP3-13719]

Immunohistochemistry-Paraffin: Somatostatin Antibody (HL1101) [NBP3-13719] - Somatostatin antibody [HL1101] detects secreted Somatostatin protein by immunohistochemical analysis. Sample: Paraffin-embedded mouse pancreas. Somatostatin stained by Somatostatin antibody [HL1101] (NBP3-13719) diluted at 1:1000. Antigen Retrieval: Citrate buffer, pH 6.0, 15 min
Immunohistochemistry-Paraffin: Somatostatin Antibody (HL1101) [NBP3-13719]

Immunohistochemistry-Paraffin: Somatostatin Antibody (HL1101) [NBP3-13719]

Immunohistochemistry-Paraffin: Somatostatin Antibody (HL1101) [NBP3-13719] - Somatostatin antibody [HL1101] detects Somatostatin protein at cytoplasm by immunohistochemical analysis. Sample: Paraffin-embedded mouse brain. Green: Somatostatin stained by Somatostatin antibody [HL1101] (NBP3-13719) diluted at 1:250. Red: NF-H, a neural marker, stained by NF-H antibody [GT114] diluted at 1:250. Blue: Fluoroshield with DAPI. Antigen Retrieval: Citrate buffer, pH 6.0, 15 min

Applications for Somatostatin Antibody (HL1101) - Azide and BSA Free

Application
Recommended Usage

Immunohistochemistry

Optimal dilutions of this antibody should be experimentally determined.

Immunohistochemistry-Paraffin

Optimal dilutions of this antibody should be experimentally determined.

Western Blot

Optimal dilutions of this antibody should be experimentally determined.

Formulation, Preparation, and Storage

Purification

Protein A purified

Formulation

PBS

Format

Azide and BSA Free

Preservative

No Preservative

Concentration

Concentrations vary lot to lot. See vial label for concentration. If unlisted please contact technical services.

Shipping

The product is shipped with polar packs. Upon receipt, store it immediately at the temperature recommended below.

Stability & Storage

Store at 4C short term. Aliquot and store at -20C long term. Avoid freeze-thaw cycles.

Background: Somatostatin

The hormone somatostatin has active 14 aa and 28 aa forms that are produced by alternate cleavage of the single preproprotein encoded by this gene. Somatostatin is expressed throughout the body and inhibits the release of numerous secondary hormones by binding to high-affinity G-protein-coupled somatostatin receptors. This hormone is an important regulator of the endocrine system through its interactions with pituitary growth hormone, thyroid stimulating hormone, and most hormones of the gastrointestinal tract. Somatostatin also affects rates of neurotransmission in the central nervous system and proliferation of both normal and tumorigenic cells. (provided by RefSeq)

Alternate Names

SMST, SOM, SRIF, SST

Gene Symbol

SST

Additional Somatostatin Products

Product Documents for Somatostatin Antibody (HL1101) - Azide and BSA Free

Certificate of Analysis

To download a Certificate of Analysis, please enter a lot number in the search box below.

Product Specific Notices for Somatostatin Antibody (HL1101) - Azide and BSA Free

This product is for research use only and is not approved for use in humans or in clinical diagnosis. Primary Antibodies are guaranteed for 1 year from date of receipt.

Loading...
Loading...
Loading...
Loading...