Skip to main content

SNF5 Antibody (CL13992) - BSA Free

Novus Biologicals, part of Bio-Techne | Catalog # NBP3-24593

Novus Biologicals, part of Bio-Techne
Catalog #
Availability
Size / Price
Qty
Loading...
NBP3-24593-25ul
NBP3-24593-100ul

Key Product Details

Species Reactivity

Validated:

Human

Predicted:

Mouse (100%), Rat (100%). Backed by our 100% Guarantee.

Applications

Immunohistochemistry, Immunohistochemistry-Paraffin, Western Blot

Label

Unconjugated

Antibody Source

Monoclonal Mouse IgG2B Clone # CL13992

Format

BSA Free

Concentration

Concentrations vary lot to lot. See vial label for concentration. If unlisted please contact technical services.

Product Specifications

Immunogen

This antibody was developed using a recombinant protein derived from Q12824, with the exact immunogen sequence remaining proprietary.

Clonality

Monoclonal

Host

Mouse

Isotype

IgG2B

Description

Novus Biologicals Mouse SNF5 Antibody (CL13992) - BSA Free (NBP3-24593) is a monoclonal antibody validated for use in IHC and WB. All Novus Biologicals antibodies are covered by our 100% guarantee.

Scientific Data Images for SNF5 Antibody (CL13992) - BSA Free

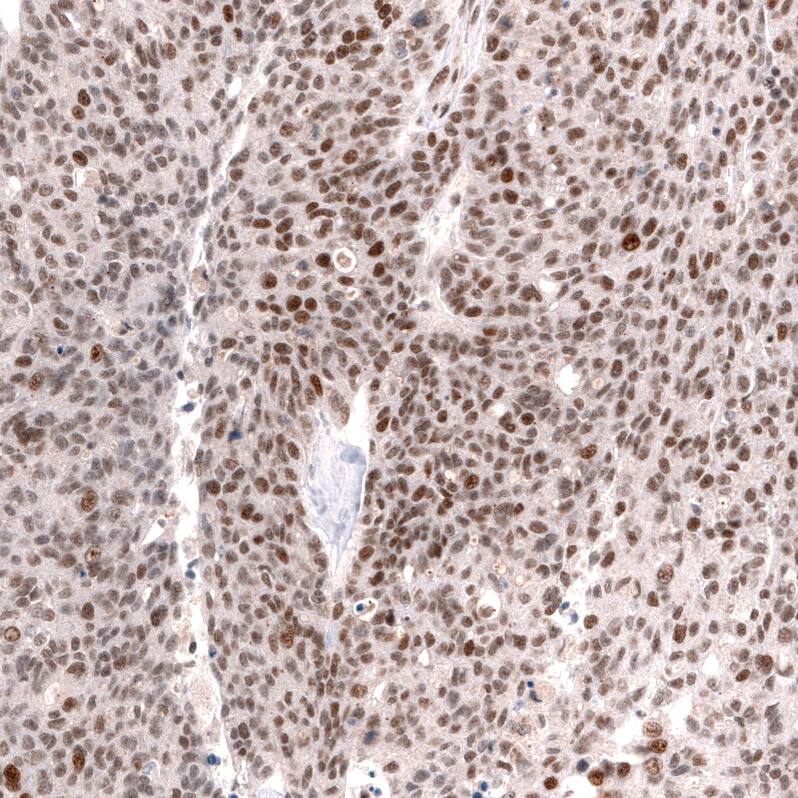
Immunohistochemistry-Paraffin: SNF5 Antibody (CL13992) [NBP3-24593]

Staining of human prostate shows moderate nuclear positivity in glandular cells.

Western Blot: SNF5 Antibody (CL13992) [NBP3-24593]

Western blot analysis in human cell line SK-MEL-30.

Immunohistochemistry-Paraffin: SNF5 Antibody (CL13992) [NBP3-24593]

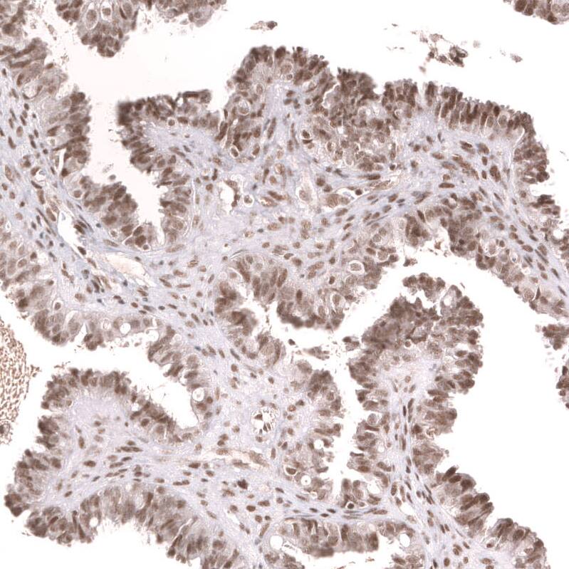
Staining of human fallopian tube shows strong nuclear positivity in glandular cells.

Applications for SNF5 Antibody (CL13992) - BSA Free

Application
Recommended Usage

Immunohistochemistry

1:50 - 1:200

Immunohistochemistry-Paraffin

1:50 - 1:200

Western Blot

1ug/ml
Application Notes
For IHC-Paraffin, we recommend using Heat-Induced Epitope Retrieval (HIER) with a pH level of 6. This optimized retrieval method ensures the best results for your experiments.

Formulation, Preparation, and Storage

Purification

Protein A purified

Formulation

PBS (pH 7.2) and 40% Glycerol

Format

BSA Free

Preservative

0.02% Sodium Azide

Concentration

Concentrations vary lot to lot. See vial label for concentration. If unlisted please contact technical services.

Shipping

The product is shipped with polar packs. Upon receipt, store it immediately at the temperature recommended below.

Stability & Storage

Store at 4C short term. Aliquot and store at -20C long term. Avoid freeze-thaw cycles.

Background: SNF5

SNF5 is encoded by this gene is part of a complex that relieves repressive chromatin structures, allowing the transcriptional machinery to access its targets more effectively. The encoded nuclear protein may also bind to and enhance the DNA joining activity of HIV-1 integrase. This gene has been found to be a tumor suppressor, and mutations in it have been associated with malignant rhabdoid tumors. Two transcript variants encoding different isoforms have been found for this gene.

Alternate Names

BAF47, BAF47hSNF5, BRG1-associated factor 47, hSNFS, Ini1, INI1RTPS1, Integrase interactor 1 protein, malignant rhabdoid tumor suppressor, RDTSNF5 homolog, Sfh1p, SNF5, SNF5L1, Snr1, subfamily b, member 1, sucrose nonfermenting, yeast, homolog-like 1, SWI/SNF related, matrix associated, actin dependent regulator of chromatin, SWI/SNF-related matrix-associated actin-dependent regulator of chromatinsubfamily B member 1

Gene Symbol

SMARCB1

Additional SNF5 Products

Product Documents for SNF5 Antibody (CL13992) - BSA Free

Certificate of Analysis

To download a Certificate of Analysis, please enter a lot number in the search box below.

Product Specific Notices for SNF5 Antibody (CL13992) - BSA Free

This product is for research use only and is not approved for use in humans or in clinical diagnosis. Primary Antibodies are guaranteed for 1 year from date of receipt.

Loading...
Loading...
Loading...
Loading...