Skip to main content

SNF5 Antibody (CL13973) - Azide and BSA Free

Novus Biologicals, part of Bio-Techne | Catalog # NBP3-43860

Novus Biologicals, part of Bio-Techne
Catalog #
Availability
Size / Price
Qty
Loading...
NBP3-43860

Key Product Details

Species Reactivity

Human

Applications

Immunohistochemistry-Paraffin, Western Blot

Label

Unconjugated

Antibody Source

Monoclonal Mouse IgG1 Clone # CL13973

Format

Azide and BSA Free

Concentration

LYOPH mg/ml

Product Specifications

Immunogen

This antibody was generated using a recombinant protein sequence of Q12824, with the exact immunogen sequence remaining proprietary.

Clonality

Monoclonal

Host

Mouse

Isotype

IgG1

Description

Novus Biologicals Mouse SNF5 Antibody (CL13973) - Azide and BSA Free (NBP3-24592) is a monoclonal antibody validated for use in IHC and WB. All Novus Biologicals antibodies are covered by our 100% guarantee.

Scientific Data Images for SNF5 Antibody (CL13973) - Azide and BSA Free

SNF5 Antibody (CL13973) - Azide and BSA Free Immunohistochemistry-Paraffin: SNF5 Antibody [NBP3-43860]

Immunohistochemistry-Paraffin: SNF5 Antibody [NBP3-43860]

Staining of human breast cancer (ductal carcinoma) shows strong nuclear positivity in tumor cells.
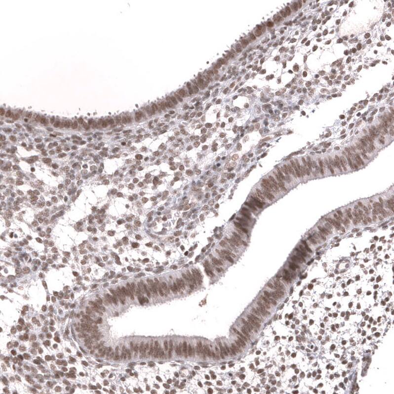
SNF5 Antibody (CL13973) - Azide and BSA Free Immunohistochemistry-Paraffin: SNF5 Antibody [NBP3-43860]

Immunohistochemistry-Paraffin: SNF5 Antibody [NBP3-43860]

Staining of human endometrium shows moderate nuclear positivity in glandular cells and endometrium stromal cells.
SNF5 Antibody (CL13973) - Azide and BSA Free Immunohistochemistry-Paraffin: SNF5 Antibody [NBP3-43860]

Immunohistochemistry-Paraffin: SNF5 Antibody [NBP3-43860]

Staining of human endometrial cancer shows moderate nuclear positivity in tumor cells.

Applications for SNF5 Antibody (CL13973) - Azide and BSA Free

Application
Recommended Usage

Immunohistochemistry-Paraffin

1:20 - 1:50

Western Blot

1 ug/ml
Application Notes
For IHC-Paraffin, we recommend using Heat-Induced Epitope Retrieval (HIER) with a pH level of 6. This optimized retrieval method ensures the best results for your experiments.

Formulation, Preparation, and Storage

Purification

Protein A purified

Reconstitution

Centrifuge the vial of lyophilized antibody at 12,000 x g for 20 seconds. Reconstitute by adding sterile, distilled water to achieve a final antibody concentration of 1mg/ml.

Formulation

Lyophilized from a 0.2 um filtered solution in PBS with Trehalose

Format

Azide and BSA Free

Preservative

No Preservative

Concentration

LYOPH mg/ml

Shipping

The product is shipped at ambient temperature. Upon receipt, store it immediately at the temperature recommended below.

Stability & Storage

Store at 4C short term. Aliquot and store at -20C long term. Avoid freeze-thaw cycles.

Background: SNF5

SNF5 is encoded by this gene is part of a complex that relieves repressive chromatin structures, allowing the transcriptional machinery to access its targets more effectively. The encoded nuclear protein may also bind to and enhance the DNA joining activity of HIV-1 integrase. This gene has been found to be a tumor suppressor, and mutations in it have been associated with malignant rhabdoid tumors. Two transcript variants encoding different isoforms have been found for this gene.

Alternate Names

BAF47, BAF47hSNF5, BRG1-associated factor 47, hSNFS, Ini1, INI1RTPS1, Integrase interactor 1 protein, malignant rhabdoid tumor suppressor, RDTSNF5 homolog, Sfh1p, SNF5, SNF5L1, Snr1, subfamily b, member 1, sucrose nonfermenting, yeast, homolog-like 1, SWI/SNF related, matrix associated, actin dependent regulator of chromatin, SWI/SNF-related matrix-associated actin-dependent regulator of chromatinsubfamily B member 1

Gene Symbol

SMARCB1

Additional SNF5 Products

Product Documents for SNF5 Antibody (CL13973) - Azide and BSA Free

Certificate of Analysis

To download a Certificate of Analysis, please enter a lot number in the search box below.

Product Specific Notices for SNF5 Antibody (CL13973) - Azide and BSA Free

This product is for research use only and is not approved for use in humans or in clinical diagnosis. Primary Antibodies are guaranteed for 1 year from date of receipt.

Loading...
Loading...
Loading...
Loading...
Loading...