SMARCA6 Antibody - BSA Free
Novus Biologicals, part of Bio-Techne | Catalog # NBP2-38986
Key Product Details
Validated by
Orthogonal Validation
Species Reactivity
Human
Applications
Immunohistochemistry, Immunohistochemistry-Paraffin, Western Blot, Immunocytochemistry/ Immunofluorescence
Label
Unconjugated
Antibody Source
Polyclonal Rabbit IgG
Format
BSA Free
Concentration
Concentrations vary lot to lot. See vial label for concentration. If unlisted please contact technical services.
Product Specifications
Immunogen
This antibody was developed against a recombinant protein corresponding to amino acids: VVYAPLSKKQEIFYTAIVNRTIANMFGSSEKETIELSPTGRPKRRTRKSINYSKIDDFPNELEKLISQIQPEVDRERAVVEVNIPV
Reactivity Notes
Immunogen displays the following percentage of sequence identity for non-tested species: Mouse (85%), Rat (85%)
Clonality
Polyclonal
Host
Rabbit
Isotype
IgG
Description
Novus Biologicals Rabbit SMARCA6 Antibody - BSA Free (NBP2-38986) is a polyclonal antibody validated for use in IHC, WB and ICC/IF. All Novus Biologicals antibodies are covered by our 100% guarantee.
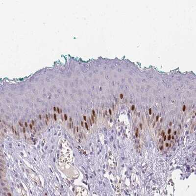
Scientific Data Images for SMARCA6 Antibody - BSA Free
Western Blot: SMARCA6 Antibody [NBP2-38986]
Western Blot: SMARCA6 Antibody [NBP2-38986] - Lane 1: Marker [kDa] 250, 130, 95, 72, 55, 36, 28, 17, 10. Lane 2: Human cell line RT-4. Lane 3: Human cell line U-251MGImmunocytochemistry/ Immunofluorescence: SMARCA6 Antibody [NBP2-38986]
Immunocytochemistry/Immunofluorescence: SMARCA6 Antibody [NBP2-38986] - Staining of human cell line MCF7 shows localization to nucleus, the Golgi apparatus & vesicles. Antibody staining is shown in green.Applications for SMARCA6 Antibody - BSA Free
Application
Recommended Usage
Immunocytochemistry/ Immunofluorescence
0.25-2 ug/ml
Immunohistochemistry
1:200 - 1:500
Immunohistochemistry-Paraffin
1:200 - 1:500
Western Blot
0.04-0.4 ug/ml
Application Notes
For IHC-Paraffin, HIER pH 6 retrieval is recommended. ICC/IF Fixation Permeabilization: Use PFA/Triton X-100.
Formulation, Preparation, and Storage
Purification
Affinity purified
Formulation
PBS (pH 7.2) and 40% Glycerol
Format
BSA Free
Preservative
0.02% Sodium Azide
Concentration
Concentrations vary lot to lot. See vial label for concentration. If unlisted please contact technical services.
Shipping
The product is shipped with polar packs. Upon receipt, store it immediately at the temperature recommended below.
Stability & Storage
Store at 4C short term. Aliquot and store at -20C long term. Avoid freeze-thaw cycles.
Background: SMARCA6
Alternate Names
EC 3.6.1, EC 3.6.4.-, helicase, lymphoid-specific, LSHSWI/SNF2-related, matrix-associated, actin-dependent regulator of chromatin, Nbla10143, PASGFLJ10339, Proliferation-associated SNF2-like protein, SMARCA6lymphoid-specific helicase, subfamily A, member 6, SWI/SNF2-related matrix-associated actin-dependent regulator of chromatinsubfamily A member 6
Gene Symbol
HELLS
UniProt
Additional SMARCA6 Products
Product Documents for SMARCA6 Antibody - BSA Free
Product Specific Notices for SMARCA6 Antibody - BSA Free
This product is for research use only and is not approved for use in humans or in clinical diagnosis. Primary Antibodies are guaranteed for 1 year from date of receipt.
Loading...
Loading...
Loading...
Loading...