Skip to main content

SLITRK6 Antibody - BSA Free

Novus Biologicals, part of Bio-Techne | Catalog # NBP1-76876

Novus Biologicals, part of Bio-Techne

Key Product Details

Species Reactivity

Human, Mouse, Rat

Applications

Immunohistochemistry, Immunohistochemistry-Paraffin, Western Blot, ELISA, Immunocytochemistry/ Immunofluorescence

Label

Unconjugated

Antibody Source

Polyclonal Rabbit IgG

Format

BSA Free

Concentration

1 mg/ml

Product Specifications

Immunogen

Antibody was raised against a 16 amino acid synthetic peptide from near the carboxy terminus of human Slitrk6. The immunogen is located within amino acids 720 - 770 of Slitrk6. Amino Acid Squence: TGSNMKYKTTNQSTEF

Specificity

This antibody is predicted to have no cross-reactivity to other Slitrk proteins.

Clonality

Polyclonal

Host

Rabbit

Isotype

IgG

Description

Novus Biologicals Rabbit SLITRK6 Antibody - BSA Free (NBP1-76876) is a polyclonal antibody validated for use in IHC, WB, ELISA and ICC/IF. All Novus Biologicals antibodies are covered by our 100% guarantee.

Scientific Data Images for SLITRK6 Antibody - BSA Free

Western Blot: SLITRK6 AntibodyBSA Free [NBP1-76876]

Western Blot: SLITRK6 AntibodyBSA Free [NBP1-76876]

Western Blot: SLITRK6 Antibody [NBP1-76876] - SK-N-SH cell lysate with Slitrk6 antibody at (A) 0.5 and (B) 1 ug/ml.
SLITRK6 Antibody - BSA Free

Immunocytochemistry/ Immunofluorescence: SLITRK6 Antibody - BSA Free [NBP1-76876] -

Immunocytochemistry/ Immunofluorescence: SLITRK6 Antibody - BSA Free [NBP1-76876] - Immunofluorescence of SLITRK6 in Human Brain cells with SLITRK6 antibody at 20 u/mL.
SLITRK6 Antibody - BSA Free

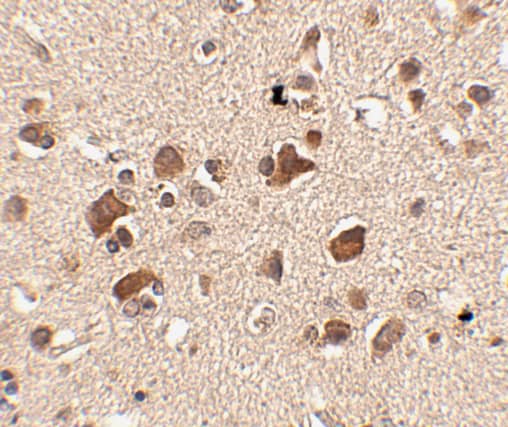
Immunohistochemistry: SLITRK6 Antibody - BSA Free [NBP1-76876] -

Immunohistochemistry: SLITRK6 Antibody - BSA Free [NBP1-76876] - Immunohistochemistry of SLITRK6 in human brain tissue with SLITRK6 antibody at 2.5 u/mL.

Applications for SLITRK6 Antibody - BSA Free

Application
Recommended Usage

ELISA

1:100-1:2000

Immunocytochemistry/ Immunofluorescence

20 ug/ml

Immunohistochemistry

2.5 ug/ml

Immunohistochemistry-Paraffin

2.5 ug/ml

Western Blot

0.5-1 ug/ml

Formulation, Preparation, and Storage

Purification

Peptide affinity purified

Formulation

PBS

Format

BSA Free

Preservative

0.02% Sodium Azide

Concentration

1 mg/ml

Shipping

The product is shipped with polar packs. Upon receipt, store it immediately at the temperature recommended below.

Stability & Storage

Store at 4C.

Background: SLITRK6

SLIT and NTRK-like family 6 (Slitrk6) is a member a protein family consisting of six homologous transmembrane proteins (Slitrk1-6) that share two conserved leucine-rich repeat domains in the extracellular domain and have significant homology to Slit, a secreted axonal growth-controlling protein. These proteins are also homologous to trk neurotrophin receptors in their intracellular domains. Expression of Slitrk proteins is highly restricted to neural and brain tumor tissues, but varies within the protein family. Slitrk6 expression has been observed in tissues such as tongue, lung, gastrointestinal tract, and pancreas. Like every other Slitrk protein except Slitrk1, overexpression of Slitrk6 inhibited neurite outgrowth in cultured neurons, suggesting that these proteins are involved in the control of neurite outgrowth. At least two isoforms of Slitrk6 are known to exisit. This antibody is predicted to have no cross-reactivity to other Slitrk proteins.

Long Name

SLIT and NTRK-like Family, Member 6

Alternate Names

FLJ22774, MGC119595, MGC119596, MGC119597,4832410J21Rik, SLIT and NTRK-like family, member 6, SLIT and NTRK-like protein 6, slit and trk like gene 6

Gene Symbol

SLITRK6

UniProt

Additional SLITRK6 Products

Product Documents for SLITRK6 Antibody - BSA Free

Certificate of Analysis

To download a Certificate of Analysis, please enter a lot number in the search box below.

Product Specific Notices for SLITRK6 Antibody - BSA Free

This product is for research use only and is not approved for use in humans or in clinical diagnosis. Primary Antibodies are guaranteed for 1 year from date of receipt.

Loading...
Loading...
Loading...
Loading...