Skip to main content

SLC1A7 Antibody - BSA Free

Novus Biologicals, part of Bio-Techne | Catalog # NBP2-81802

Novus Biologicals, part of Bio-Techne

Key Product Details

Species Reactivity

Human, Mouse

Applications

Immunohistochemistry, Immunohistochemistry-Paraffin, Western Blot, ELISA, Immunocytochemistry/ Immunofluorescence

Label

Unconjugated

Antibody Source

Polyclonal Rabbit IgG

Format

BSA Free

Concentration

1 mg/ml

Product Specifications

Immunogen

SLC1A7 antibody was raised against a 14 amino acid peptide near the carboxy terminus of human SLC1A7. The immunogen is located within amino acids 460 - 510 of SLC1A7. Amino Acid Squence: RKDFARDTGTEKL

Specificity

SLC1A7 antibody is human and mouse reactive. Multiple isoforms of SLC1A7 are known to exist.

Clonality

Polyclonal

Host

Rabbit

Isotype

IgG

Theoretical MW

52 kDa.
Disclaimer note: The observed molecular weight of the protein may vary from the listed predicted molecular weight due to post translational modifications, post translation cleavages, relative charges, and other experimental factors.

Description

Novus Biologicals Rabbit SLC1A7 Antibody - BSA Free (NBP2-81802) is a polyclonal antibody validated for use in IHC, WB, ELISA and ICC/IF. All Novus Biologicals antibodies are covered by our 100% guarantee.

Scientific Data Images for SLC1A7 Antibody - BSA Free

Western Blot: SLC1A7 AntibodyBSA Free [NBP2-81802]

Western Blot: SLC1A7 AntibodyBSA Free [NBP2-81802]

Western Blot: SLC1A7 Antibody [NBP2-81802] - Analysis of SLC1A7 in C2C12 cell lysate with SLC1A7 antibody at 1 ug/ml in (A) the absence and (B) the presence of blocking peptide.
SLC1A7 Antibody - BSA Free

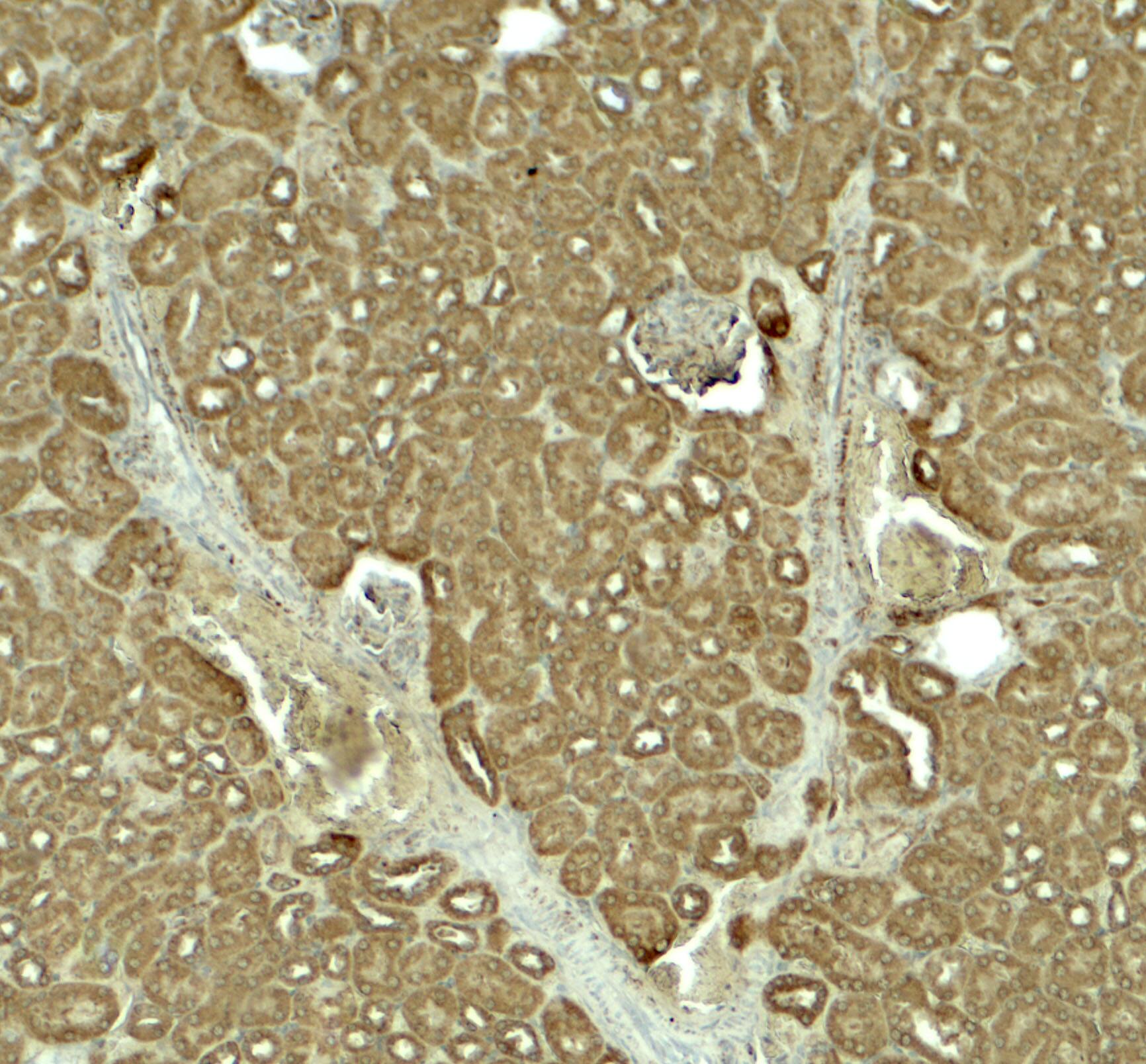
Immunohistochemistry: SLC1A7 Antibody - BSA Free [NBP2-81802] -

Immunohistochemistry: SLC1A7 Antibody - BSA Free [NBP2-81802] - Immunohistochemistry of SLC1A7 in mouse kidney tissue with SLC1A7 antibody at 5 ug/ml.
SLC1A7 Antibody - BSA Free

Immunocytochemistry/ Immunofluorescence: SLC1A7 Antibody - BSA Free [NBP2-81802] -

Immunocytochemistry/ Immunofluorescence: SLC1A7 Antibody - BSA Free [NBP2-81802] - Immunofluorescence of SLC1A7 in mouse kidney tissue with SLC1A7 antibody at 20 u/ml.

Applications for SLC1A7 Antibody - BSA Free

Application
Recommended Usage

Immunocytochemistry/ Immunofluorescence

20 ug/ml

Immunohistochemistry

5 ug/ml

Western Blot

1-2 ug/ml

Formulation, Preparation, and Storage

Purification

Peptide affinity purified

Formulation

PBS

Format

BSA Free

Preservative

0.02% Sodium Azide

Concentration

1 mg/ml

Shipping

The product is shipped with polar packs. Upon receipt, store it immediately at the temperature recommended below.

Stability & Storage

Store at 4C short term. Aliquot and store at -20C long term. Avoid freeze-thaw cycles.

Background: SLC1A7

Transports L-glutamate; the L-glutamate uptake is sodium- and voltage-dependent and chloride-independent. Its associated chloride conductance may participate in visual processing

Long Name

Excitatory amino acid transporter 5

Alternate Names

EAAT5

Gene Symbol

SLC1A7

Additional SLC1A7 Products

Product Documents for SLC1A7 Antibody - BSA Free

Certificate of Analysis

To download a Certificate of Analysis, please enter a lot number in the search box below.

Product Specific Notices for SLC1A7 Antibody - BSA Free

This product is for research use only and is not approved for use in humans or in clinical diagnosis. Primary Antibodies are guaranteed for 1 year from date of receipt.

Loading...
Loading...
Loading...
Loading...