Skip to main content

SIDT1 Antibody - BSA Free

Novus Biologicals, part of Bio-Techne | Catalog # NBP3-45352

Novus Biologicals, part of Bio-Techne
Catalog #
Availability
Size / Price
Qty
Loading...
NBP3-45352

Key Product Details

Species Reactivity

Human, Mouse

Applications

Immunohistochemistry, Western Blot, ELISA, Immunocytochemistry/ Immunofluorescence

Label

Unconjugated

Antibody Source

Polyclonal Rabbit IgG

Format

BSA Free

Concentration

Please see the vial label for concentration. If unlisted please contact technical services.

Product Specifications

Immunogen

SID1 transmembrane family, member 1. (Uniprot# Q9NXL6)

Clonality

Polyclonal

Host

Rabbit

Isotype

IgG

Description

Novus Biologicals Rabbit SIDT1 Antibody - BSA Free (NBP3-45352) is a polyclonal antibody validated for use in IHC, WB, ELISA and ICC/IF. All Novus Biologicals antibodies are covered by our 100% guarantee.

Scientific Data Images for SIDT1 Antibody - BSA Free

SIDT1 Antibody - BSA Free

Western Blot: SIDT1 Antibody - BSA Free [NBP3-45352] -

Western Blot: SIDT1 Antibody - BSA Free [NBP3-45352] - COLO 320 cells were subjected to SDS PAGE followed by western blot with (SIDT1 antibody) at dilution of 1:500
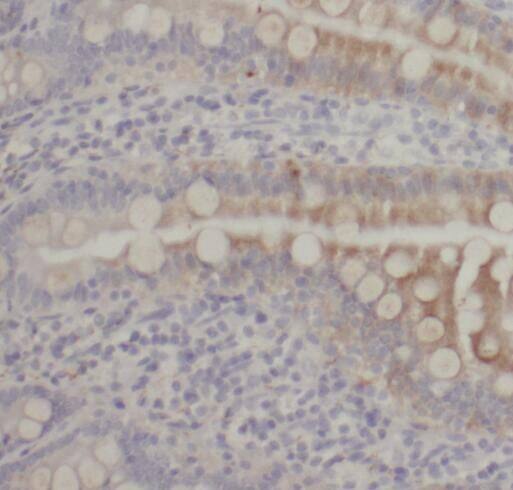
SIDT1 Antibody - BSA Free

Immunohistochemistry: SIDT1 Antibody - BSA Free [NBP3-45352] -

Immunohistochemistry: SIDT1 Antibody - BSA Free [NBP3-45352] - Immunohistochemistry of paraffin-embedded human colon tissue slide using (SIDT1 Antibody) at dilution of 1:50

Applications for SIDT1 Antibody - BSA Free

Application
Recommended Usage

Immunocytochemistry/ Immunofluorescence

1:20-1:200

Immunohistochemistry

1:20-1:200

Western Blot

1:500-1:2000
Application Notes
Theoretical Molecular Weight is 95-110 kDa

Formulation, Preparation, and Storage

Purification

Immunogen affinity purified

Formulation

PBS, 50% Glycerol, pH (7.3)

Format

BSA Free

Preservative

0.02% Sodium Azide

Concentration

Please see the vial label for concentration. If unlisted please contact technical services.

Shipping

The product is shipped with polar packs. Upon receipt, store it immediately at the temperature recommended below.

Stability & Storage

Store at -20C. Avoid freeze-thaw cycles.

Background: SIDT1

Alternate Names

B830021E24Rik, FLJ20174, SID1, SID-1, SID1 transmembrane family member 1, SID1 transmembrane family, member 1

Gene Symbol

SIDT1

Additional SIDT1 Products

Product Documents for SIDT1 Antibody - BSA Free

Certificate of Analysis

To download a Certificate of Analysis, please enter a lot number in the search box below.

Product Specific Notices for SIDT1 Antibody - BSA Free

This product is for research use only and is not approved for use in humans or in clinical diagnosis. Primary Antibodies are guaranteed for 1 year from date of receipt.

Loading...
Loading...
Loading...
Loading...