Skip to main content

Serpin F1/PEDF Antibody - BSA Free

Novus Biologicals, part of Bio-Techne | Catalog # NBP1-83972

Novus Biologicals, part of Bio-Techne
Catalog #
Availability
Size / Price
Qty
Loading...
NBP1-83972
NBP1-83972-25ul

Key Product Details

Species Reactivity

Human

Applications

Immunohistochemistry, Immunohistochemistry-Paraffin, Western Blot

Label

Unconjugated

Antibody Source

Polyclonal Rabbit IgG

Format

BSA Free

Concentration

Concentrations vary lot to lot. See vial label for concentration. If unlisted please contact technical services.

Product Specifications

Immunogen

This antibody was developed against Recombinant Protein corresponding to amino acids: KVPVNKLAAAVSNFGYDLYRVRSSMSPTTNVLLSPLSVATALSALSLGAEQRTESIIHRALYYDLISSPDIHGTYKELLDTVTAPQKNLKSASRIVFEKKLRIKSSFVAPLEKSYGTRPRVLTGNPRLDLQEINNWVQAQMKGKL

Reactivity Notes

Immunogen displays the following percentage of sequence identity for non-tested species: Mouse (89%), Rat (86%)

Clonality

Polyclonal

Host

Rabbit

Isotype

IgG

Description

Novus Biologicals Rabbit Serpin F1/PEDF Antibody - BSA Free (NBP1-83972) is a polyclonal antibody validated for use in IHC and WB. All Novus Biologicals antibodies are covered by our 100% guarantee.

Scientific Data Images for Serpin F1/PEDF Antibody - BSA Free

Serpin F1/PEDF Antibody - BSA Free Immunohistochemistry-Paraffin: Serpin F1/PEDF Antibody - BSA Free [NBP1-83972]

Immunohistochemistry-Paraffin: Serpin F1/PEDF Antibody - BSA Free [NBP1-83972]

Staining of human liver shows strong cytoplasmic positivity in hepatocytes.
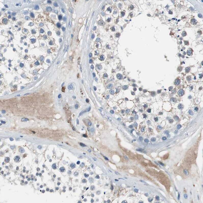
Serpin F1/PEDF Antibody - BSA Free Immunohistochemistry-Paraffin: Serpin F1/PEDF Antibody - BSA Free [NBP1-83972]

Immunohistochemistry-Paraffin: Serpin F1/PEDF Antibody - BSA Free [NBP1-83972]

Staining of human testis shows strong secreted/cytoplasmic positivity in Leydig cells.
Serpin F1/PEDF Antibody - BSA Free Immunohistochemistry-Paraffin: Serpin F1/PEDF Antibody - BSA Free [NBP1-83972]

Immunohistochemistry-Paraffin: Serpin F1/PEDF Antibody - BSA Free [NBP1-83972]

Staining of human skin shows moderate cytoplasmic positivity in squamous epithelial cells.

Applications for Serpin F1/PEDF Antibody - BSA Free

Application
Recommended Usage

Immunohistochemistry

1:200 - 1:500

Immunohistochemistry-Paraffin

1:200 - 1:500

Western Blot

0.04-0.4 ug/ml
Application Notes
For IHC-Paraffin, HIER pH 6 retrieval is recommended.

Formulation, Preparation, and Storage

Purification

Immunogen affinity purified

Formulation

PBS (pH 7.2) and 40% Glycerol

Format

BSA Free

Preservative

0.02% Sodium Azide

Concentration

Concentrations vary lot to lot. See vial label for concentration. If unlisted please contact technical services.

Shipping

The product is shipped with polar packs. Upon receipt, store it immediately at the temperature recommended below.

Stability & Storage

Store at 4C short term. Aliquot and store at -20C long term. Avoid freeze-thaw cycles.

Background: Serpin F1/PEDF

The PEDF gene is a member of the serpin gene family. Serpins are a group of serine protease inhibitors, some of which have also been reported to exhibit neurotrophic activity.(supplied by OMIM)

Long Name

Serpine F1/Pigment Epithelium-derived Factor

Alternate Names

EPC-1, PEDF

Gene Symbol

SERPINF1

Additional Serpin F1/PEDF Products

Product Documents for Serpin F1/PEDF Antibody - BSA Free

Certificate of Analysis

To download a Certificate of Analysis, please enter a lot number in the search box below.

Product Specific Notices for Serpin F1/PEDF Antibody - BSA Free

This product is for research use only and is not approved for use in humans or in clinical diagnosis. Primary Antibodies are guaranteed for 1 year from date of receipt.

Loading...
Loading...
Loading...
Loading...