Skip to main content

Serpin A10/ZPI Antibody (C4) - BSA Free

Novus Biologicals, part of Bio-Techne | Catalog # NBP3-41761

Novus Biologicals, part of Bio-Techne
Catalog #
Availability
Size / Price
Qty
Loading...
NBP3-41761

Key Product Details

Species Reactivity

Human, Rat, Porcine

Applications

Immunohistochemistry, Immunohistochemistry-Paraffin, Western Blot

Label

Unconjugated

Antibody Source

Monoclonal Mouse IgG2a Kappa Clone # C4

Format

BSA Free

Concentration

1 mg/ml

Product Specifications

Immunogen

Immunized with recombinant Human Serpin A10/ZPI (Uniprot#: Q9UK55; Pro24-Leu444 (Uniprot#: Q9UK55)

Clonality

Monoclonal

Host

Mouse

Isotype

IgG2a Kappa

Description

Novus Biologicals Mouse Serpin A10/ZPI Antibody (C4) - BSA Free (NBP3-41761) is a monoclonal antibody validated for use in IHC and WB. All Novus Biologicals antibodies are covered by our 100% guarantee.

Scientific Data Images for Serpin A10/ZPI Antibody (C4) - BSA Free

Serpin A10/ZPI Antibody (C4)

Western Blot: Serpin A10/ZPI Antibody (C4) [NBP3-41761] -

Western Blot: Serpin A10/ZPI Antibody (C4) [NBP3-41761] - Sample: Rat Liver lysate Primary Ab: 3ug/ml NBP3-41761; Second Ab: 0.2ug/mL HRP-Linked Caprine Anti-Mouse IgG Polyclonal Antibody
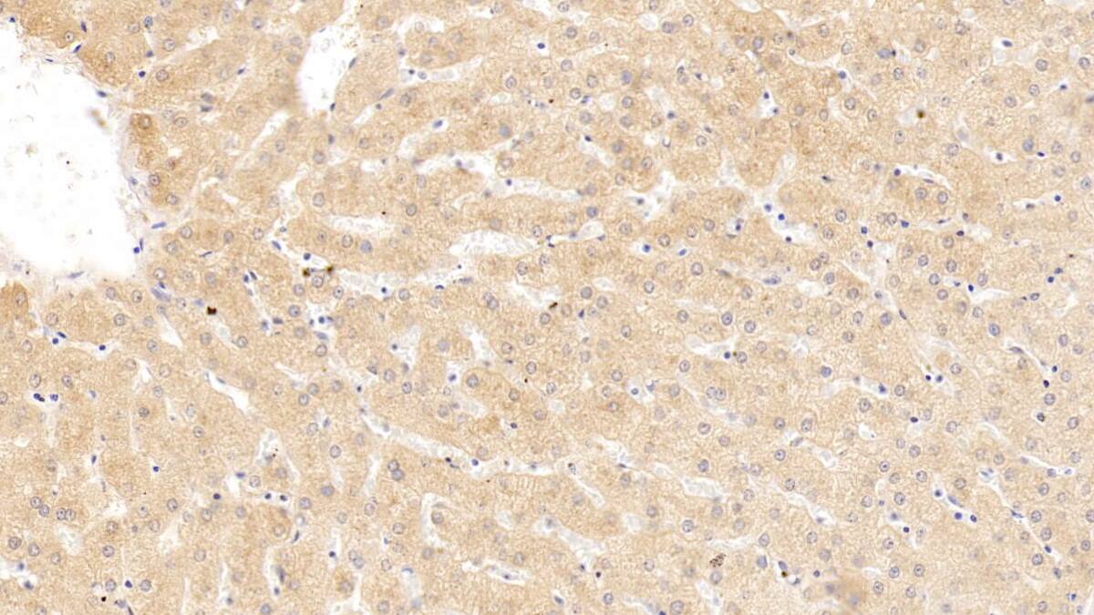
Serpin A10/ZPI Antibody (C4)

Immunohistochemistry-Paraffin: Serpin A10/ZPI Antibody (C4) [NBP3-41761] -

Immunohistochemistry-Paraffin: Serpin A10/ZPI Antibody (C4) [NBP3-41761] - DAB staining on IHC-P; Sample: Human Liver Tissue; Primary Ab: 10ug/ml NBP3-41761; Second Ab: 2ug/mL HRP-Linked Caprine Anti-Mouse IgG Polyclonal Antibody

Applications for Serpin A10/ZPI Antibody (C4) - BSA Free

Application
Recommended Usage

Immunohistochemistry

5-20ug/mL

Immunohistochemistry-Paraffin

5-20ug/mL

Western Blot

0.5-2ug/mL

Formulation, Preparation, and Storage

Purification

Protein A or G purified

Formulation

0.01M PBS, pH7.4, 50% glycerol

Format

BSA Free

Preservative

0.05% Proclin 300

Concentration

1 mg/ml

Shipping

The product is shipped with polar packs. Upon receipt, store it immediately at the temperature recommended below.

Stability & Storage

Store at 4C short term. Aliquot and store at -20C long term. Avoid freeze-thaw cycles.

Background: Serpin A10/ZPI

SERPINA10 inhibits factor Xa activity in the presence of protein Z, calcium and phospholipid

Long Name

Serpin Peptidase Inhibitor, Clade A, Member 10

Alternate Names

PZI, ZPI

Gene Symbol

SERPINA10

Additional Serpin A10/ZPI Products

Product Documents for Serpin A10/ZPI Antibody (C4) - BSA Free

Certificate of Analysis

To download a Certificate of Analysis, please enter a lot number in the search box below.

Product Specific Notices for Serpin A10/ZPI Antibody (C4) - BSA Free

This product is for research use only and is not approved for use in humans or in clinical diagnosis. Primary Antibodies are guaranteed for 1 year from date of receipt.

Loading...
Loading...
Loading...
Loading...