Skip to main content

Septin-9 Antibody

Novus Biologicals, part of Bio-Techne | Catalog # NBP1-28764

Novus Biologicals, part of Bio-Techne
Catalog #
Availability
Size / Price
Qty
Loading...
NBP1-28764

Key Product Details

Validated by

Independent Antibodies

Species Reactivity

Validated:

Human

Cited:

Human

Applications

Validated:

Immunohistochemistry, Immunohistochemistry-Paraffin, Immunoprecipitation, Western Blot

Cited:

Immunocytochemistry/ Immunofluorescence, Western Blot

Label

Unconjugated

Antibody Source

Polyclonal Rabbit IgG

Concentration

0.2 mg/ml

Product Specifications

Immunogen

The immunogen recognized by this antibody maps to a region between residue 100 and 150 of human septin 9 using the numbering given in entry NP_001106963.1 (GeneID 10801).

Clonality

Polyclonal

Host

Rabbit

Isotype

IgG

Description

Novus Biologicals Rabbit Septin-9 Antibody (NBP1-28764) is a polyclonal antibody validated for use in IHC, WB, ICC/IF and IP. All Novus Biologicals antibodies are covered by our 100% guarantee.

Scientific Data Images for Septin-9 Antibody

Western Blot: Septin-9 Antibody [NBP1-28764]

Western Blot: Septin-9 Antibody [NBP1-28764]

Western Blot: Septin-9 Antibody [NBP1-28764] - Hela whole cell lysate (5, 15 and 50ug) probed with NBP1-28764 at 0.04ug/ml.
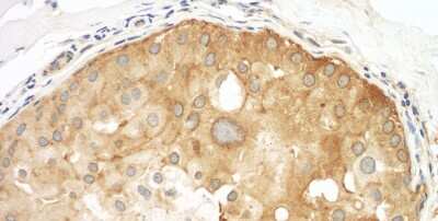
Immunohistochemistry-Paraffin: Septin-9 Antibody [NBP1-28764]

Immunohistochemistry-Paraffin: Septin-9 Antibody [NBP1-28764]

Immunohistochemistry-Paraffin: Septin-9 Antibody [NBP1-28764] - Section of human breast carcinoma. Antibody: Affinity purified rabbit anti- Septin 9 used at a dilution of 1:200 (1ug/ml). Detection: DAB
Immunoprecipitation: Septin-9 Antibody [NBP1-28764]

Immunoprecipitation: Septin-9 Antibody [NBP1-28764]

Immunoprecipitation: Septin-9 Antibody [NBP1-28764] - IP of 1mg of Hela whole cell lysate, 20% of IP loaded. Lane 1, IP using NBP1-28764. Lane 2, IP using NBP1-28711 and lane 3, IP using control IgG. Western blot probed with NBP1-28764 at 0.4ug/ml.

Applications for Septin-9 Antibody

Application
Recommended Usage

Immunohistochemistry

1:100 - 1:500

Immunohistochemistry-Paraffin

1:100 - 1:500

Immunoprecipitation

2-5 ug/mg lysate

Western Blot

1:2000-1:10000
Application Notes
Epitope retrieval with citrate buffer pH 6.0 is recommended for FFPE tissue sections.

Formulation, Preparation, and Storage

Purification

Immunogen affinity purified

Formulation

TBS and 0.1% BSA

Preservative

0.09% Sodium Azide

Concentration

0.2 mg/ml

Shipping

The product is shipped with polar packs. Upon receipt, store it immediately at the temperature recommended below.

Stability & Storage

Store at 4C. Do not freeze.

Background: Septin-9

Septin 9 is a member of the septin family involved in cytokinesis and cell cycle control. This gene is a candidate for the ovarian tumor suppressor gene. Mutations in this gene cause hereditary neuralgic amyotrophy, also known as neuritis with brachial predilection. A chromosomal translocation involving this gene on chromosome 17 and the MLL gene on chromosome 11 results in acute myelomonocytic leukemia.

Alternate Names

AF17q25, FLJ75490, KIAA0991Ov/Br septin, MLL septin-like fusion protein, MLL septin-like fusion protein MSF-A, MSF1NAPB, MSFMLL septin-like fusion, Ovarian/Breast septin, PNUTL4, SeptD1, septin 9, Septin D1, septin-9, SINT1

Entrez Gene IDs

10801 (Human)

Gene Symbol

SEPTIN9

Additional Septin-9 Products

Product Documents for Septin-9 Antibody

Certificate of Analysis

To download a Certificate of Analysis, please enter a lot number in the search box below.

Product Specific Notices for Septin-9 Antibody

This product is for research use only and is not approved for use in humans or in clinical diagnosis. Primary Antibodies are guaranteed for 1 year from date of receipt.

Loading...
Loading...
Loading...
Loading...