Skip to main content

Key Product Details

Validated by

Biological Validation

Species Reactivity

Validated:

Human

Cited:

Human

Applications

Validated:

Immunohistochemistry, Immunohistochemistry-Paraffin, Western Blot, Immunocytochemistry/ Immunofluorescence, Immunoprecipitation

Cited:

Immunocytochemistry/ Immunofluorescence

Label

Unconjugated

Antibody Source

Polyclonal Rabbit IgG

Format

BSA Free

Concentration

1.0 mg/ml

Product Specifications

Immunogen

The immunogen recognized by this antibody maps to a region between residue 536 and 586 of human septin 9 using the numbering given in entry NP_001106963.1 (GeneID 10801).

Clonality

Polyclonal

Host

Rabbit

Isotype

IgG

Description

Novus Biologicals Rabbit Septin-9 Antibody - BSA Free (NBP1-28711) is a polyclonal antibody validated for use in IHC, WB, ICC/IF and IP. All Novus Biologicals antibodies are covered by our 100% guarantee.

Scientific Data Images for Septin-9 Antibody - BSA Free

Western Blot: Septin-9 Antibody [NBP1-28711]

Western Blot: Septin-9 Antibody [NBP1-28711]

Western Blot: Septin-9 Antibody [NBP1-28711] - Lane 1: marker. Lane 2: 10mg of HeLa whole cell lysate probed with NBP1-28711 antibody 1:1000 in PBST. Blot blocked with 5% milk in PBS with 0.1% tween 20 probed overnight at 4C with NBP1-28711 at 1:1000 washed 3X PBST incubated with anti rabbit HRP secondary antiboy, washed 3X PBST, developed with ECL prime kit GE healthcare. Image from verified customer review.
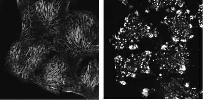
Immunocytochemistry/ Immunofluorescence: Septin-9 Antibody [NBP1-28711]

Immunocytochemistry/ Immunofluorescence: Septin-9 Antibody [NBP1-28711]

Immunocytochemistry/Immunofluorescence: Septin-9 Antibody [NBP1-28711] - HeLa cells fixed with PFA (4%, 20 min, RT) with anti septin 9 antibody NBP1-28711 at 1:1000. Left panel: Control localisation to sub nuclear filaments. Right panel: Cells treated with cytochalasin D to depolymerize F-actin. Note localization to ring like structures. Image from verified customer review.
Immunohistochemistry-Paraffin: Septin-9 Antibody [NBP1-28711]

Immunohistochemistry-Paraffin: Septin-9 Antibody [NBP1-28711]

Immunohistochemistry-Paraffin: Septin-9 Antibody [NBP1-28711] - Section of human breast carcinoma. Antibody: Affinity purified rabbit anti- Septin 9 used at a dilution of 1:1,000 (1ug/ml). Detection: Red-fluorescent goat anti-rabbit IgG-heavy and light chain cross-adsorbed Antibody DyLight® 594 Conjugated used at a dilution of 1:100.

Applications for Septin-9 Antibody - BSA Free

Application
Recommended Usage

Immunocytochemistry/ Immunofluorescence

1:1000 - 1:5000

Immunoprecipitation

2-5 ug/mg lysate
Application Notes
Septin-9 antibody validated for WB, ICC/IF from verified customer reviews.

Reviewed Applications

Read 2 reviews rated 4.5 using NBP1-28711 in the following applications:

Formulation, Preparation, and Storage

Purification

Immunogen affinity purified

Formulation

Tris-Citrate/Phosphate (pH 7.0 - 8.0)

Format

BSA Free

Preservative

0.09% Sodium Azide

Concentration

1.0 mg/ml

Shipping

The product is shipped with polar packs. Upon receipt, store it immediately at the temperature recommended below.

Stability & Storage

Store at 4C. Do not freeze.

Background: Septin-9

Septin 9 is a member of the septin family involved in cytokinesis and cell cycle control. This gene is a candidate for the ovarian tumor suppressor gene. Mutations in this gene cause hereditary neuralgic amyotrophy, also known as neuritis with brachial predilection. A chromosomal translocation involving this gene on chromosome 17 and the MLL gene on chromosome 11 results in acute myelomonocytic leukemia.

Alternate Names

AF17q25, FLJ75490, KIAA0991Ov/Br septin, MLL septin-like fusion protein, MLL septin-like fusion protein MSF-A, MSF1NAPB, MSFMLL septin-like fusion, Ovarian/Breast septin, PNUTL4, SeptD1, septin 9, Septin D1, septin-9, SINT1

Entrez Gene IDs

10801 (Human)

Gene Symbol

SEPTIN9

Additional Septin-9 Products

Product Documents for Septin-9 Antibody - BSA Free

Certificate of Analysis

To download a Certificate of Analysis, please enter a lot number in the search box below.

Product Specific Notices for Septin-9 Antibody - BSA Free

This product is for research use only and is not approved for use in humans or in clinical diagnosis. Primary Antibodies are guaranteed for 1 year from date of receipt.

Loading...
Loading...
Loading...
Loading...