Skip to main content

SENP2 Antibody (OTI3D3) - Azide and BSA Free

Novus Biologicals, part of Bio-Techne | Catalog # NBP2-74062

Novus Biologicals, part of Bio-Techne

Key Product Details

Species Reactivity

Human, Mouse, Rat, Monkey, Primate

Applications

Immunohistochemistry, Immunohistochemistry-Paraffin, Western Blot, Flow Cytometry, Immunocytochemistry/ Immunofluorescence, CyTOF-ready

Label

Unconjugated

Antibody Source

Monoclonal Mouse IgG2A Clone # OTI3D3

Format

Azide and BSA Free

Concentration

LYOPH mg/ml

Product Specifications

Immunogen

Human recombinant protein fragment corresponding to amino acids 139-523 of human SENP2 (NP_067640) produced in E.coli.

Reactivity Notes

Please note that this antibody is reactive to Mouse and derived from the same host, Mouse. Mouse-On-Mouse blocking reagent may be needed for IHC and ICC experiments to reduce high background signal. You can find these reagents under catalog numbers PK-2200-NB and MP-2400-NB. Please contact Technical Support if you have any questions.

Clonality

Monoclonal

Host

Mouse

Isotype

IgG2A

Description

Novus Biologicals Mouse SENP2 Antibody (OTI3D3) - Azide and BSA Free (NBP2-03852) is a monoclonal antibody validated for use in IHC, WB, Flow and ICC/IF. All Novus Biologicals antibodies are covered by our 100% guarantee.

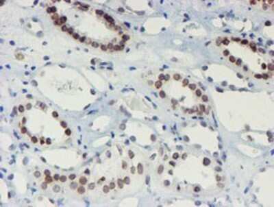
Scientific Data Images for SENP2 Antibody (OTI3D3) - Azide and BSA Free

Western Blot: SENP2 Antibody (OTI3D3)Azide and BSA Free [NBP2-74062]

Western Blot: SENP2 Antibody (OTI3D3)Azide and BSA Free [NBP2-74062]

Western Blot: SENP2 Antibody (OTI3D3) - Azide and BSA Free [NBP2-74062] - HEK293T cells were transfected with the pCMV6-ENTRY control (Left lane) or pCMV6-ENTRY SENP2 (Right lane) cDNA for 48 hrs and lysed. Equivalent amounts of cell lysates (5 ug per lane) were separated by SDS-PAGE and immunoblotted with anti-SENP2.
Immunocytochemistry/ Immunofluorescence: SENP2 Antibody (OTI3D3) - Azide and BSA Free [NBP2-74062]

Immunocytochemistry/ Immunofluorescence: SENP2 Antibody (OTI3D3) - Azide and BSA Free [NBP2-74062]

Immunocytochemistry/Immunofluorescence: SENP2 Antibody (OTI3D3) - Azide and BSA Free [NBP2-74062] - Staining of COS7 cells transiently transfected by pCMV6-ENTRY SENP2.
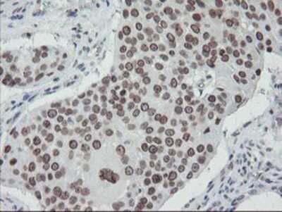
Immunohistochemistry: SENP2 Antibody (OTI3D3) - Azide and BSA Free [NBP2-74062]

Immunohistochemistry: SENP2 Antibody (OTI3D3) - Azide and BSA Free [NBP2-74062]

Immunohistochemistry: SENP2 Antibody (OTI3D3) - Azide and BSA Free [NBP2-74062] - Staining of paraffin-embedded Carcinoma of Human lung tissue using anti-SENP2 mouse monoclonal antibody.

Applications for SENP2 Antibody (OTI3D3) - Azide and BSA Free

Application
Recommended Usage

Flow Cytometry

1:100

Immunocytochemistry/ Immunofluorescence

1:100

Immunohistochemistry

1:150

Immunohistochemistry-Paraffin

1:150

Western Blot

1:500-2000

Formulation, Preparation, and Storage

Purification

Immunogen affinity purified

Reconstitution

we recommend adding 100uL distilled water to a final antibody concentration of about 1 mg/mL. To use this carrier-free antibody for conjugation experiment, we strongly recommend performing another round of desalting process.

Formulation

Lyophilized from PBS (pH 7.3) with 8% Trehalose

Format

Azide and BSA Free

Preservative

No Preservative

Concentration

LYOPH mg/ml

Shipping

The product is shipped with polar packs. Upon receipt, store it immediately at the temperature recommended below.

Stability & Storage

Store at -20C. Avoid freeze-thaw cycles.

Background: SENP2

Covalent attachment of one protein to another is one of the more prominent posttranslational modifications in respect to size and ubiquity. Ubiquitin is the most familiar of the protein modifiers and its activation and transfer to target proteins has been studied extensively. Recently, a new group of ubiquitin-like proteins has been receiving a lot of attention. SUMO, or Sentrin, is one of the most intriguing. SUMO has been implicated in the stabilization of target proteins and/or their localization to sub-cellular complexes.

Long Name

SUMO1-Specific Peptidase 2

Alternate Names

AXAM2, SMT3IP2

Gene Symbol

SENP2

Additional SENP2 Products

Product Documents for SENP2 Antibody (OTI3D3) - Azide and BSA Free

Certificate of Analysis

To download a Certificate of Analysis, please enter a lot number in the search box below.

Product Specific Notices for SENP2 Antibody (OTI3D3) - Azide and BSA Free

This product is for research use only and is not approved for use in humans or in clinical diagnosis. Primary Antibodies are guaranteed for 1 year from date of receipt.

Loading...
Loading...
Loading...
Loading...
Loading...
Loading...