Skip to main content

SENP2 Antibody (OTI3D3)

Novus Biologicals, part of Bio-Techne | Catalog # NBP2-03852

Novus Biologicals, part of Bio-Techne
Catalog #
Availability
Size / Price
Qty
Loading...
NBP2-03852

Key Product Details

Species Reactivity

Human, Mouse, Rat, Monkey, Primate

Applications

Flow Cytometry, Immunocytochemistry/ Immunofluorescence, Immunohistochemistry, Immunohistochemistry-Paraffin, Western Blot

Label

Unconjugated

Antibody Source

Monoclonal Mouse IgG2A Clone # OTI3D3

Concentration

1 mg/ml

Product Specifications

Immunogen

Human recombinant protein fragment corresponding to amino acids 139-523 of human SENP2 (NP_067640) produced in E.coli.

Reactivity Notes

Please note that this antibody is reactive to Mouse and derived from the same host, Mouse. Mouse-On-Mouse blocking reagent may be needed for IHC and ICC experiments to reduce high background signal. You can find these reagents under catalog numbers PK-2200-NB and MP-2400-NB. Please contact Technical Support if you have any questions.

Clonality

Monoclonal

Host

Mouse

Isotype

IgG2A

Description

Novus Biologicals Mouse SENP2 Antibody (OTI3D3) (NBP2-03852) is a monoclonal antibody validated for use in IHC, WB, Flow and ICC/IF. All Novus Biologicals antibodies are covered by our 100% guarantee.

Scientific Data Images for SENP2 Antibody (OTI3D3)

Western Blot: SENP2 Antibody (3D3) [NBP2-03852] Analysis of extracts (35ug) from 9 different cell lines by usin g anti-SENP2 monoclonal antibody (HepG2: human; HeLa: human; SVT2: mouse; A549: human; COS7: monkey; Jurkat: human; MDCK: canine; PC12: rat; MCF7: human).
Immunocytochemistry/ Immunofluorescence: SENP2 Antibody (OTI3D3) [NBP2-03852]

Immunocytochemistry/ Immunofluorescence: SENP2 Antibody (OTI3D3) [NBP2-03852]

Immunocytochemistry/Immunofluorescence: SENP2 Antibody (3D3) [NBP2-03852] - Staining of COS7 cells transiently transfected by pCMV6-ENTRY SENP2.
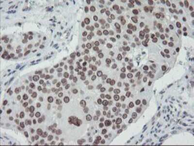
Immunohistochemistry-Paraffin: SENP2 Antibody (OTI3D3) [NBP2-03852]

Immunohistochemistry-Paraffin: SENP2 Antibody (OTI3D3) [NBP2-03852]

Immunohistochemistry-Paraffin: SENP2 Antibody (3D3) [NBP2-03852] - Staining of paraffin-embedded Human Kidney tissue using anti-SENP2 mouse monoclonal antibody.

Applications for SENP2 Antibody (OTI3D3)

Application
Recommended Usage

Flow Cytometry

1:100

Immunocytochemistry/ Immunofluorescence

1:100

Immunohistochemistry

1:150

Immunohistochemistry-Paraffin

1:150

Western Blot

1:500-2000

Formulation, Preparation, and Storage

Purification

Immunogen affinity purified

Formulation

PBS (pH 7.3), 1.0% BSA and 50% Glycerol

Preservative

0.02% Sodium Azide

Concentration

1 mg/ml

Shipping

The product is shipped with polar packs. Upon receipt, store it immediately at the temperature recommended below.

Stability & Storage

Store at -20C. Avoid freeze-thaw cycles.

Background: SENP2

SUMO1 (UBL1; MIM 601912) is a small ubiquitin-like protein that can be covalently conjugated to other proteins. SENP2 is one of a group of enzymes that process newly synthesized SUMO1 into the conjugatable form and catalyze the deconjugation of SUMO1-containing species.[supplied by OMIM]. COMPLETENESS: complete on the 3' end.

Long Name

SUMO1-Specific Peptidase 2

Alternate Names

AXAM2, SMT3IP2

Entrez Gene IDs

59343 (Human)

Gene Symbol

SENP2

Additional SENP2 Products

Product Documents for SENP2 Antibody (OTI3D3)

Certificate of Analysis

To download a Certificate of Analysis, please enter a lot number in the search box below.

Product Specific Notices for SENP2 Antibody (OTI3D3)

This product is for research use only and is not approved for use in humans or in clinical diagnosis. Primary Antibodies are guaranteed for 1 year from date of receipt.

Loading...
Loading...
Loading...
Loading...
Loading...