Skip to main content

SCOT2 Antibody - BSA Free

Novus Biologicals, part of Bio-Techne | Catalog # NBP3-47239

Novus Biologicals, part of Bio-Techne
Catalog #
Availability
Size / Price
Qty
Loading...
NBP3-47239

Key Product Details

Species Reactivity

Human, Mouse, Rat

Applications

ELISA, Immunohistochemistry, Western Blot

Label

Unconjugated

Antibody Source

Polyclonal Rabbit IgG

Format

BSA Free

Concentration

Please see the vial label for concentration. If unlisted please contact technical services.

Product Specifications

Immunogen

3-oxoacid CoA transferase 2. (Uniprot# Q9BYC2)

Clonality

Polyclonal

Host

Rabbit

Isotype

IgG

Theoretical MW

55 kDa.
Disclaimer note: The observed molecular weight of the protein may vary from the listed predicted molecular weight due to post translational modifications, post translation cleavages, relative charges, and other experimental factors.

Description

Novus Biologicals Rabbit SCOT2 Antibody - BSA Free (NBP3-47239) is a polyclonal antibody validated for use in IHC, WB and ELISA. All Novus Biologicals antibodies are covered by our 100% guarantee.

Scientific Data Images for SCOT2 Antibody - BSA Free

SCOT2 Antibody - BSA Free

Western Blot: SCOT2 Antibody - BSA Free [NBP3-47239] -

Western Blot: SCOT2 Antibody - BSA Free [NBP3-47239] - Mouse testis tissue were subjected to SDS PAGE followed by western blot with (SCOT2 antibody) at dilution of 1:2000
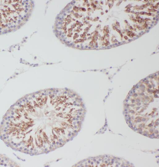
SCOT2 Antibody - BSA Free

Immunohistochemistry: SCOT2 Antibody - BSA Free [NBP3-47239] -

Immunohistochemistry: SCOT2 Antibody - BSA Free [NBP3-47239] - Immunohistochemistry of paraffin-embedded human testis using (SCOT2 antibody) at dilution of 1:100

Applications for SCOT2 Antibody - BSA Free

Application
Recommended Usage

Immunohistochemistry

1:20-1:200

Western Blot

1:500-1:2000

Formulation, Preparation, and Storage

Purification

Immunogen affinity purified

Formulation

PBS, 50% Glycerol, pH (7.3)

Format

BSA Free

Preservative

0.02% Sodium Azide

Concentration

Please see the vial label for concentration. If unlisted please contact technical services.

Shipping

The product is shipped with polar packs. Upon receipt, store it immediately at the temperature recommended below.

Stability & Storage

Store at -20C. Avoid freeze-thaw cycles.

Background: SCOT2

OXCT2 is a testis-specific succinyl-CoA:3-oxoacid CoA transferase (EC 2.8.3.5), which catalyzes the reversible transfer of CoA from succinyl-CoA to acetoacetate in the first step of ketone body utilization. See also OXCT1 (MIM 601424).[supplied by OMIM]

Alternate Names

3-oxoacid CoA transferase 2, 3-oxoacid-CoA transferase 2A, EC 2.8.3, EC 2.8.3.5, FKSG25, FLJ00030, SCmitochondrial, SCOT-t, testis-specific succinyl CoA:3-oxoacid CoA-transferase

Gene Symbol

OXCT2

Additional SCOT2 Products

Product Documents for SCOT2 Antibody - BSA Free

Certificate of Analysis

To download a Certificate of Analysis, please enter a lot number in the search box below.

Product Specific Notices for SCOT2 Antibody - BSA Free

This product is for research use only and is not approved for use in humans or in clinical diagnosis. Primary Antibodies are guaranteed for 1 year from date of receipt.

Loading...
Loading...
Loading...
Loading...