Skip to main content

SCOT2 Antibody - BSA Free

Novus Biologicals, part of Bio-Techne | Catalog # NBP2-62696

Novus Biologicals, part of Bio-Techne
Catalog #
Availability
Size / Price
Qty
Loading...
NBP2-62696
NBP2-62696-25ul

Key Product Details

Validated by

Orthogonal Validation

Species Reactivity

Human

Applications

Immunohistochemistry, Immunohistochemistry-Paraffin

Label

Unconjugated

Antibody Source

Polyclonal Rabbit IgG

Format

BSA Free

Concentration

Concentrations vary lot to lot. See vial label for concentration. If unlisted please contact technical services.

Product Specifications

Immunogen

This antibody was developed against a recombinant protein corresponding to amino acids: RLTILKEEDGDAGKEEDARTRIIRR

Clonality

Polyclonal

Host

Rabbit

Isotype

IgG

Description

Novus Biologicals Rabbit SCOT2 Antibody - BSA Free (NBP2-62696) is a polyclonal antibody validated for use in IHC. All Novus Biologicals antibodies are covered by our 100% guarantee.

Scientific Data Images for SCOT2 Antibody - BSA Free

Immunohistochemistry-Paraffin: SCOT2 Antibody [NBP2-62696]

Immunohistochemistry-Paraffin: SCOT2 Antibody [NBP2-62696]

Immunohistochemistry-Paraffin: SCOT2 Antibody [NBP2-62696] - Staining of human testis shows high expression.
Immunohistochemistry-Paraffin: SCOT2 Antibody [NBP2-62696]

Immunohistochemistry-Paraffin: SCOT2 Antibody [NBP2-62696]

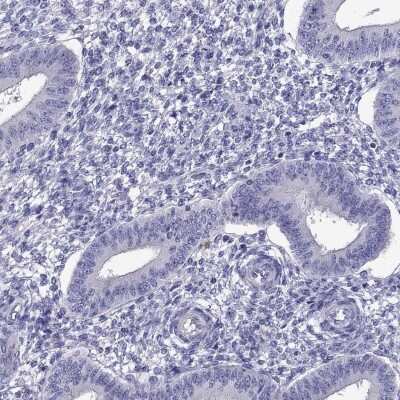
Immunohistochemistry-Paraffin: SCOT2 Antibody [NBP2-62696] - Analysis in human testis and endometrium tissues using Anti-OXCT2 antibody. Corresponding OXCT2 RNA-seq data are presented for the same tissues.
Immunohistochemistry-Paraffin: SCOT2 Antibody [NBP2-62696]

Immunohistochemistry-Paraffin: SCOT2 Antibody [NBP2-62696]

Immunohistochemistry-Paraffin: SCOT2 Antibody [NBP2-62696] - Staining of human endometrium shows low expression as expected.

Applications for SCOT2 Antibody - BSA Free

Application
Recommended Usage

Immunohistochemistry

1:50 - 1:200

Immunohistochemistry-Paraffin

1:50 - 1:200
Application Notes
For IHC-Paraffin, HIER pH 6 retrieval is recommended.

Formulation, Preparation, and Storage

Purification

Protein A purified

Formulation

PBS (pH 7.2) and 40% Glycerol

Format

BSA Free

Preservative

0.02% Sodium Azide

Concentration

Concentrations vary lot to lot. See vial label for concentration. If unlisted please contact technical services.

Shipping

The product is shipped with polar packs. Upon receipt, store it immediately at the temperature recommended below.

Stability & Storage

Store at 4C short term. Aliquot and store at -20C long term. Avoid freeze-thaw cycles.

Background: SCOT2

OXCT2 is a testis-specific succinyl-CoA:3-oxoacid CoA transferase (EC 2.8.3.5), which catalyzes the reversible transfer of CoA from succinyl-CoA to acetoacetate in the first step of ketone body utilization. See also OXCT1 (MIM 601424).[supplied by OMIM]

Alternate Names

3-oxoacid CoA transferase 2, 3-oxoacid-CoA transferase 2A, EC 2.8.3, EC 2.8.3.5, FKSG25, FLJ00030, SCmitochondrial, SCOT-t, testis-specific succinyl CoA:3-oxoacid CoA-transferase

Gene Symbol

OXCT2

Additional SCOT2 Products

Product Documents for SCOT2 Antibody - BSA Free

Certificate of Analysis

To download a Certificate of Analysis, please enter a lot number in the search box below.

Product Specific Notices for SCOT2 Antibody - BSA Free

This product is for research use only and is not approved for use in humans or in clinical diagnosis. Primary Antibodies are guaranteed for 1 year from date of receipt.

Loading...
Loading...
Loading...
Loading...