SCAND3 Antibody - BSA Free
Novus Biologicals, part of Bio-Techne | Catalog # NBP1-82028
Key Product Details
Species Reactivity
Human
Applications
Immunocytochemistry/ Immunofluorescence, Immunohistochemistry, Immunohistochemistry-Paraffin
Label
Unconjugated
Antibody Source
Polyclonal Rabbit IgG
Format
BSA Free
Concentration
Concentrations vary lot to lot. See vial label for concentration. If unlisted please contact technical services.
Product Specifications
Immunogen
This antibody was developed against Recombinant Protein corresponding to amino acids: SAFSSEAKLGLSHSQLTEELVASLHTENELDQADKELENTLRAQYEENIETGTDSSDIEENLSVTPKVAEKSPPESRLRFLSCVVCEKECTGVNSCISCDGNIHAICGVPSQHGTEGCGRQITCSLCYETSTMK
Clonality
Polyclonal
Host
Rabbit
Isotype
IgG
Description
Novus Biologicals Rabbit SCAND3 Antibody - BSA Free (NBP1-82028) is a polyclonal antibody validated for use in IHC and ICC/IF. All Novus Biologicals antibodies are covered by our 100% guarantee.
Scientific Data Images for SCAND3 Antibody - BSA Free
Immunocytochemistry/ Immunofluorescence: SCAND3 Antibody [NBP1-82028]
Immunocytochemistry/Immunofluorescence: SCAND3 Antibody [NBP1-82028] - Staining of human cell line U-2 OS shows positivity in nucleus and nucleoli.Immunohistochemistry-Paraffin: SCAND3 Antibody [NBP1-82028]
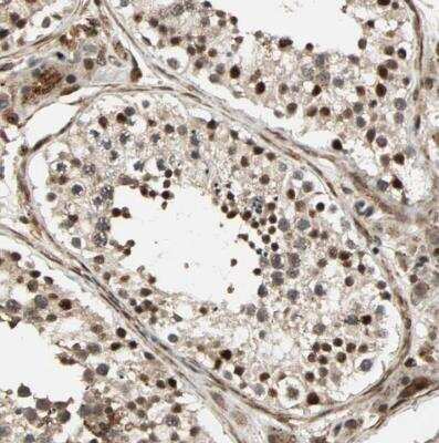
Immunohistochemistry-Paraffin: SCAND3 Antibody [NBP1-82028] - Staining of human testis shows moderate nuclear and cytoplasmic positivity in cells in seminiferous ducts.Applications for SCAND3 Antibody - BSA Free
Application
Recommended Usage
Immunocytochemistry/ Immunofluorescence
0.25-2 ug/ml
Immunohistochemistry
1:50 - 1:200
Immunohistochemistry-Paraffin
1:50 - 1:200
Application Notes
For IHC-Paraffin, HIER pH 6 retrieval is recommended. ICC/IF, Fixation Permeabilization: Use PFA/Triton X-100.
Formulation, Preparation, and Storage
Purification
Immunogen affinity purified
Formulation
PBS (pH 7.2) and 40% Glycerol
Format
BSA Free
Preservative
0.02% Sodium Azide
Concentration
Concentrations vary lot to lot. See vial label for concentration. If unlisted please contact technical services.
Shipping
The product is shipped with polar packs. Upon receipt, store it immediately at the temperature recommended below.
Stability & Storage
Store at 4C short term. Aliquot and store at -20C long term. Avoid freeze-thaw cycles.
Background: SCAND3
Alternate Names
dJ1186N24.3, dJ1186N24.3 (novel zinc finger protein), SCAN domain containing 3, ZNF305P2, ZNF452
Gene Symbol
SCAND3
Additional SCAND3 Products
Product Documents for SCAND3 Antibody - BSA Free
Product Specific Notices for SCAND3 Antibody - BSA Free
This product is for research use only and is not approved for use in humans or in clinical diagnosis. Primary Antibodies are guaranteed for 1 year from date of receipt.
Loading...
Loading...
Loading...
Loading...