Skip to main content

S100G Antibody (S100G/7462) - Azide and BSA Free

Novus Biologicals, part of Bio-Techne | Catalog # NBP3-24099

Novus Biologicals, part of Bio-Techne

Key Product Details

Species Reactivity

Human

Applications

Immunohistochemistry-Paraffin

Label

Unconjugated

Antibody Source

Monoclonal Mouse IgG2 kappa Clone # S100G/7462

Format

Azide and BSA Free

Concentration

1 mg/ml

Product Specifications

Immunogen

Recombinant full-length human S100G protein

Localization

Cytoplasm.

Clonality

Monoclonal

Host

Mouse

Isotype

IgG2 kappa

Description

Antibody without azide - store at -20 to -80C.

Scientific Data Images for S100G Antibody (S100G/7462) - Azide and BSA Free

Immunohistochemistry-Paraffin: S100G Antibody (S100G/7462) - Azide and BSA Free [NBP3-24099] -

Formalin-fixed, paraffin-embedded human lung stained with S100G antibody (S100G/7462) - Azide and BSA Free. HIER: Tris/EDTA, pH9.0, 45min. Secondary: HRP-polymer, 30min. DAB, 5min.

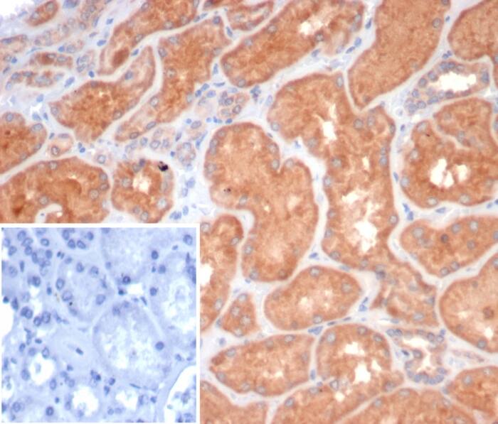
Immunohistochemistry-Paraffin: S100G Antibody (S100G/7462) - Azide and BSA Free [NBP3-24099] -

Formalin-fixed, paraffin-embedded human kidney stained with S100G antibody (S100G/7462) - Azide and BSA Free. Inset: PBS instead of primary antibody; secondary only negative control.

Applications for S100G Antibody (S100G/7462) - Azide and BSA Free

Application
Recommended Usage

Immunohistochemistry-Paraffin

1-2ug/ml
Application Notes
Immunohistochemistry-Paraffin: 1-2ug/ml for 30 minutes at RT. Staining of formalin-fixed tissues requires heating tissue sections in 10mM Tris with 1mM EDTA, pH 9.0, for 45 min at 95C followed by cooling at RT for 20 minutes. Optimal dilution for a specific application should be determined.

Formulation, Preparation, and Storage

Purification

Protein A or G purified

Formulation

10mM PBS

Format

Azide and BSA Free

Preservative

No Preservative

Concentration

1 mg/ml

Shipping

The product is shipped with polar packs. Upon receipt, store it immediately at the temperature recommended below.

Stability & Storage

Store at -20 to -80C. Avoid freeze-thaw cycles.

Background: S100G

The S100G gene encodes calbindin D9K, a vitamin D-dependent calcium-binding protein. This cytosolic protein belongs to a family of calcium-binding proteins that includes calmodulin, parvalbumin, troponin C, and S100 protein. In the intestine, the protein is vi

Alternate Names

CABP, CABP1, CaBP9K, CABP9KMGC138379, CALB3calbindin D9K, calbindin 3, (vitamin D-dependent calcium-binding protein), calbindin-D9K, protein S100-G, S100 calcium binding protein G, S100 calcium-binding protein G, S100D, Vitamin D-dependent calcium-binding protein, intestinal

Gene Symbol

S100G

Additional S100G Products

Product Documents for S100G Antibody (S100G/7462) - Azide and BSA Free

Certificate of Analysis

To download a Certificate of Analysis, please enter a lot number in the search box below.

Product Specific Notices for S100G Antibody (S100G/7462) - Azide and BSA Free

This product is for research use only and is not approved for use in humans or in clinical diagnosis. Primary Antibodies are guaranteed for 1 year from date of receipt.

Loading...
Loading...
Loading...
Loading...