Skip to main content

RTVP-1/GLIPR1 Antibody - BSA Free

Novus Biologicals, part of Bio-Techne | Catalog # NBP2-97340

Novus Biologicals, part of Bio-Techne

Key Product Details

Species Reactivity

Human

Applications

Immunohistochemistry, Immunohistochemistry-Paraffin

Label

Unconjugated

Antibody Source

Polyclonal Rabbit IgG

Format

BSA Free

Concentration

Please see the vial label for concentration. If unlisted please contact technical services.

Product Specifications

Immunogen

Produced in rabbits immunized with E. coli-derived Human RTVP-1/GLIPR1 fragment.

Clonality

Polyclonal

Host

Rabbit

Isotype

IgG

Description

This antibody can be stored at 2C to 8C for one month without detectable loss of activity. Antibody products are stable for twelve months from date of receipt when stored at -20C to -80C. Avoid repeated freeze-thaw cycles.

Scientific Data Images for RTVP-1/GLIPR1 Antibody - BSA Free

Immunohistochemistry-Paraffin: RTVP-1/GLIPR1 Antibody [NBP2-97340]

Immunohistochemistry-Paraffin: RTVP-1/GLIPR1 Antibody [NBP2-97340]

Immunohistochemistry-Paraffin: RTVP-1/GLIPR1 Antibody [NBP2-97340] - Immunochemical staining of human RTVP-1/GLIPR1 in human pancreas with rabbit polyclonal antibody at 1:100 dilution, formalin-fixed paraffin embedded sections.
Immunohistochemistry-Paraffin: RTVP-1/GLIPR1 Antibody [NBP2-97340]

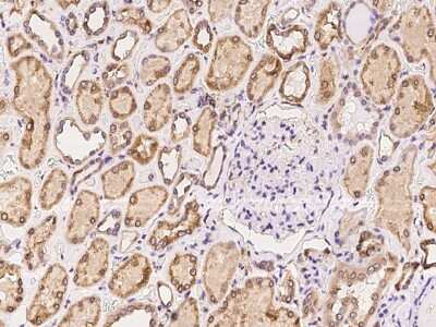
Immunohistochemistry-Paraffin: RTVP-1/GLIPR1 Antibody [NBP2-97340]

Immunohistochemistry-Paraffin: RTVP-1/GLIPR1 Antibody [NBP2-97340] - Immunochemical staining of human RTVP-1/GLIPR1 in human kidney with rabbit polyclonal antibody at 1:100 dilution, formalin-fixed paraffin embedded sections.

Applications for RTVP-1/GLIPR1 Antibody - BSA Free

Application
Recommended Usage

Immunohistochemistry-Paraffin

1:50-1:200

Formulation, Preparation, and Storage

Purification

Antigen and protein A Affinity-purified

Formulation

PBS

Format

BSA Free

Preservative

0.03% Proclin 300

Concentration

Please see the vial label for concentration. If unlisted please contact technical services.

Shipping

The product is shipped with polar packs. Upon receipt, store it immediately at the temperature recommended below.

Stability & Storage

Store at 4C short term. Aliquot and store at -20C long term. Avoid freeze-thaw cycles.

Background: RTVP-1

The protein encoded by the GLIPR1 gene works as a proapoptic initiator in prostate and bladder cells. Not all variants of the GLIPR1 gene have been documented even though multiple isoforms have been described (isoform 1: 255 AA long, 30 kDA; isoform 2: 237 AA long, nearly 30 kDA). The glioma pathogenesis-related protein 1 provided by the GLIPR1 gene is related to both the pathogenesis-related protein (PR) superfamily as well as the cysteine-rich secretory protein (CRISP) family. GLIPR1 has been research regarding its role in Wilms tumors, neuronitis, prostatitis, leukemia, glioblastoma, astrocytoma where increased expression has been linked with myelomocytic differentiation in macrophage and decreased expression (through gene methylation) has been associated to prostate cancer. The GLIPR1 gene interacts with genes CHD9, NCOA2, NCOA6, CREBBP, and CARM1 to participate in metabolism, expression of GLIPR1 and PPARA activation gene expression.

Long Name

Related to Testis-specific Vespid and Pathogenesis Protein 1

Alternate Names

GLIPR1, RTVP1

Gene Symbol

GLIPR1

Additional RTVP-1 Products

Product Documents for RTVP-1/GLIPR1 Antibody - BSA Free

Certificate of Analysis

To download a Certificate of Analysis, please enter a lot number in the search box below.

Product Specific Notices for RTVP-1/GLIPR1 Antibody - BSA Free

This product is for research use only and is not approved for use in humans or in clinical diagnosis. Primary Antibodies are guaranteed for 1 year from date of receipt.

Loading...
Loading...
Loading...
Loading...