Skip to main content

RRS1 Antibody - BSA Free

Novus Biologicals, part of Bio-Techne | Catalog # NBP2-49323

Novus Biologicals, part of Bio-Techne
Catalog #
Availability
Size / Price
Qty
Loading...
NBP2-49323

Key Product Details

Validated by

Orthogonal Validation, Independent Antibodies

Species Reactivity

Validated:

Human

Predicted:

Mouse (91%). Backed by our 100% Guarantee.

Applications

Immunocytochemistry/ Immunofluorescence, Immunohistochemistry, Immunohistochemistry-Paraffin, Western Blot

Label

Unconjugated

Antibody Source

Polyclonal Rabbit IgG

Format

BSA Free

Concentration

Concentrations vary lot to lot. See vial label for concentration. If unlisted please contact technical services.

Product Specifications

Immunogen

This antibody was developed against a recombinant protein corresponding to amino acids: EELLAKAEQDEAEKLQRITVHKELELQFDLGNLLASDRNPPTGLRCAGPTPEAELQALARDNTQLLINQ

Reactivity Notes

Rat (88%)

Clonality

Polyclonal

Host

Rabbit

Isotype

IgG

Description

Novus Biologicals Rabbit RRS1 Antibody - BSA Free (NBP2-49323) is a polyclonal antibody validated for use in IHC, WB and ICC/IF. All Novus Biologicals antibodies are covered by our 100% guarantee.

Scientific Data Images for RRS1 Antibody - BSA Free

Western Blot: RRS1 Antibody [NBP2-49323]

Western Blot: RRS1 Antibody [NBP2-49323]

Western Blot: RRS1 Antibody [NBP2-49323] - Analysis using Anti-RRS1 antibody NBP2-49323 (A) shows similar pattern to independent antibody NBP2-30725 (B).
Immunocytochemistry/ Immunofluorescence: RRS1 Antibody [NBP2-49323]

Immunocytochemistry/ Immunofluorescence: RRS1 Antibody [NBP2-49323]

Immunocytochemistry/Immunofluorescence: RRS1 Antibody [NBP2-49323] - Staining of human cell line MCF7 shows localization to nucleoli. Antibody staining is shown in green.
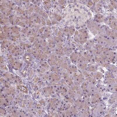
Immunohistochemistry-Paraffin: RRS1 Antibody [NBP2-49323]

Immunohistochemistry-Paraffin: RRS1 Antibody [NBP2-49323]

Immunohistochemistry-Paraffin: RRS1 Antibody [NBP2-49323] - Staining of human pancreas shows moderate nucleolar positivity in exocrine glandular cells.

Applications for RRS1 Antibody - BSA Free

Application
Recommended Usage

Immunocytochemistry/ Immunofluorescence

0.25-2 ug/ml

Immunohistochemistry

1:200 - 1:500

Immunohistochemistry-Paraffin

1:200 - 1:500

Western Blot

0.04-0.4 ug/ml
Application Notes
For IHC-Paraffin, HIER pH 6 retrieval is recommended. ICC/IF Fixation Permeabilization: Use PFA/Triton X-100.

Reviewed Applications

Read 1 review rated 5 using NBP2-49323 in the following applications:

Formulation, Preparation, and Storage

Purification

Immunogen affinity purified

Formulation

PBS (pH 7.2) and 40% Glycerol

Format

BSA Free

Preservative

0.02% Sodium Azide

Concentration

Concentrations vary lot to lot. See vial label for concentration. If unlisted please contact technical services.

Shipping

The product is shipped with polar packs. Upon receipt, store it immediately at the temperature recommended below.

Stability & Storage

Store at 4C short term. Aliquot and store at -20C long term. Avoid freeze-thaw cycles.

Background: RRS1

RRS1 is involved in ribosome biogenesis

Alternate Names

FSDR2, homolog of yeast ribosome biogenesis regulator, homolog of yeast ribosome biogenesis regulatory protein RRS1, KIAA0112ribosome biogenesis regulatory protein RRS1 homolog, ribosome biogenesis regulatory protein homolog, RRR, RRS1 ribosome biogenesis regulator homolog (S. cerevisiae)

Gene Symbol

RRS1

Additional RRS1 Products

Product Documents for RRS1 Antibody - BSA Free

Certificate of Analysis

To download a Certificate of Analysis, please enter a lot number in the search box below.

Product Specific Notices for RRS1 Antibody - BSA Free

This product is for research use only and is not approved for use in humans or in clinical diagnosis. Primary Antibodies are guaranteed for 1 year from date of receipt.

Loading...
Loading...
Loading...
Loading...