Skip to main content

Ribosomal Protein L17 Antibody (3G11) - Azide and BSA Free

Novus Biologicals, part of Bio-Techne | Catalog # H00006139-M01

Novus Biologicals, part of Bio-Techne
Catalog #
Availability
Size / Price
Qty
Loading...
H00006139-M01

Key Product Details

Species Reactivity

Human

Applications

Western Blot, ELISA, Sandwich ELISA, Immunocytochemistry/ Immunofluorescence

Label

Unconjugated

Antibody Source

Monoclonal Mouse IgG2a Kappa Clone # 3G11

Format

Azide and BSA Free

Concentration

Concentrations vary lot to lot. See vial label for concentration. If unlisted please contact technical services.

Product Specifications

Immunogen

RPL17 (AAH00502, 1 a.a. ~ 184 a.a) full-length recombinant protein with GST tag. MW of the GST tag alone is 26 KDa. MVRYSLDPEDPTKSCKSRGSNLRVHFKNTRETAQAIKGMHIRKATKYLKDVTLQKQCVPFRRYNGGVGRCAQAKQWGWTQGRWPKKSAEFLLHMLKNAESNAELKGLDVDSLVIEHIQVNKAPKVRRRTYRAHGRINPYMSSPCHIEMILTEKEQIVPKPEEEVAQKKKISQKKLKKQKLMARE

Specificity

RPL17 - ribosomal protein L17 (3G11)

Clonality

Monoclonal

Host

Mouse

Isotype

IgG2a Kappa

Description

Quality control test: Antibody Reactive Against Recombinant Protein.

Scientific Data Images for Ribosomal Protein L17 Antibody (3G11) - Azide and BSA Free

Western Blot: Ribosomal Protein L17 Antibody (3G11) [H00006139-M01]

Western Blot: Ribosomal Protein L17 Antibody (3G11) [H00006139-M01]

Western Blot: Ribosomal Protein L17 Antibody (3G11) [H00006139-M01] - Analysis of RPL17 expression in transfected 293T cell line by RPL17 monoclonal antibody (M01), clone 3G11.Lane 1: RPL17 transfected lysate(21.4 KDa).Lane 2: Non-transfected lysate.
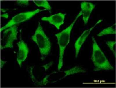
Immunocytochemistry/ Immunofluorescence: Ribosomal Protein L17 Antibody (3G11) [H00006139-M01]

Immunocytochemistry/ Immunofluorescence: Ribosomal Protein L17 Antibody (3G11) [H00006139-M01]

Immunocytochemistry/Immunofluorescence: Ribosomal Protein L17 Antibody (3G11) [H00006139-M01] - Analysis of monoclonal antibody to RPL17 on HeLa cell . Antibody concentration 10 ug/ml.
Sandwich ELISA: Ribosomal Protein L17 Antibody (3G11) [H00006139-M01] - Detection limit for recombinant GST tagged RPL17 is 3 ng/ml as a capture antibody.

Applications for Ribosomal Protein L17 Antibody (3G11) - Azide and BSA Free

Application
Recommended Usage

ELISA

Optimal dilutions of this antibody should be experimentally determined.

Immunocytochemistry/ Immunofluorescence

Optimal dilutions of this antibody should be experimentally determined.

Sandwich ELISA

Optimal dilutions of this antibody should be experimentally determined.

Western Blot

Optimal dilutions of this antibody should be experimentally determined.
Application Notes
It has been used for ELISA.

Formulation, Preparation, and Storage

Purification

IgG purified

Formulation

In 1x PBS, pH 7.4

Format

Azide and BSA Free

Preservative

No Preservative

Concentration

Concentrations vary lot to lot. See vial label for concentration. If unlisted please contact technical services.

Shipping

The product is shipped with polar packs. Upon receipt, store it immediately at the temperature recommended below.

Stability & Storage

Aliquot and store at -20C or -80C. Avoid freeze-thaw cycles.

Background: Ribosomal Protein L17

Ribosomes, the organelles that catalyze protein synthesis, consist of a small 40S subunit and a large 60S subunit. Together these subunits are composed of 4 RNA species and approximately 80 structurally distinct proteins. This gene encodes a ribosomal protein that is a component of the 60S subunit. The protein belongs to the L22P family of ribosomal proteins. It is located in the cytoplasm. This gene has been referred to as rpL23 because the encoded protein shares amino acid identity with ribosomal protein L23 from Halobacterium marismortui; however, its official symbol is RPL17. Two alternative splice variants have been observed, each encoding the same protein. As is typical for genes encoding ribosomal proteins, there are multiple processed pseudogenes of this gene dispersed through the genome. [provided by RefSeq]

Alternate Names

RPL17, RPL23

Entrez Gene IDs

6139 (Human)

Gene Symbol

RPL17

Additional Ribosomal Protein L17 Products

Product Documents for Ribosomal Protein L17 Antibody (3G11) - Azide and BSA Free

Certificate of Analysis

To download a Certificate of Analysis, please enter a lot number in the search box below.

Product Specific Notices for Ribosomal Protein L17 Antibody (3G11) - Azide and BSA Free

This product is produced by and distributed for Abnova, a company based in Taiwan.

This product is for research use only and is not approved for use in humans or in clinical diagnosis. Primary Antibodies are guaranteed for 1 year from date of receipt.

Loading...
Loading...
Loading...
Loading...