Skip to main content

Ribophorin II Antibody (OTI1G9)

Novus Biologicals, part of Bio-Techne | Catalog # NBP2-45963

Novus Biologicals, part of Bio-Techne
Catalog #
Availability
Size / Price
Qty
Loading...
NBP2-45963

Key Product Details

Species Reactivity

Human, Mouse, Rat

Applications

Immunohistochemistry, Immunohistochemistry-Paraffin, Western Blot

Label

Unconjugated

Antibody Source

Monoclonal Mouse IgG1 Clone # OTI1G9

Concentration

1 mg/ml

Product Specifications

Immunogen

Full length human recombinant protein of human RPN2(NP_002942) peoduced in HEK293T cell.

Reactivity Notes

Please note that this antibody is reactive to Mouse and derived from the same host, Mouse. Mouse-On-Mouse blocking reagent may be needed for IHC and ICC experiments to reduce high background signal. You can find these reagents under catalog numbers PK-2200-NB and MP-2400-NB. Please contact Technical Support if you have any questions.

Clonality

Monoclonal

Host

Mouse

Isotype

IgG1

Theoretical MW

67 kDa.
Disclaimer note: The observed molecular weight of the protein may vary from the listed predicted molecular weight due to post translational modifications, post translation cleavages, relative charges, and other experimental factors.

Description

Novus Biologicals Mouse Ribophorin II Antibody (OTI1G9) (NBP2-45963) is a monoclonal antibody validated for use in IHC and WB. All Novus Biologicals antibodies are covered by our 100% guarantee.

Scientific Data Images for Ribophorin II Antibody (OTI1G9)

Western Blot: Ribophorin II Antibody (OTI1G9) [NBP2-45963]

Western Blot: Ribophorin II Antibody (OTI1G9) [NBP2-45963]

Western Blot: Ribophorin II Antibody (1G9) [NBP2-45963] - Analysis of HEK293T cells were transfected with the pCMV6-ENTRY control (Left lane) or pCMV6-ENTRY Ribophorin II.
Immunohistochemistry: Ribophorin II Antibody (OTI1G9) [NBP2-45963]

Immunohistochemistry: Ribophorin II Antibody (OTI1G9) [NBP2-45963]

Immunohistochemistry: Ribophorin II Antibody (1G9) [NBP2-45963] - Analysis of Carcinoma of Human lung tissue.(Heat-induced epitope retrieval by 10mM citric buffer, pH6.0, 120C for 3min)
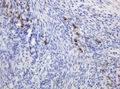
Immunohistochemistry: Ribophorin II Antibody (OTI1G9) [NBP2-45963]

Immunohistochemistry: Ribophorin II Antibody (OTI1G9) [NBP2-45963]

Immunohistochemistry: Ribophorin II Antibody (1G9) [NBP2-45963] - Analysis of Adenocarcinoma of Human endometrium tissue. (Heat-induced epitope retrieval by 10mM citric buffer, pH6.0, 120C for 3min)

Applications for Ribophorin II Antibody (OTI1G9)

Application
Recommended Usage

Immunohistochemistry

1:150

Western Blot

1:2000

Formulation, Preparation, and Storage

Purification

Immunogen affinity purified

Formulation

PBS (pH 7.3), 1.0% BSA and 50% Glycerol

Preservative

0.02% Sodium Azide

Concentration

1 mg/ml

Shipping

The product is shipped with polar packs. Upon receipt, store it immediately at the temperature recommended below.

Stability & Storage

Store at -20C. Avoid freeze-thaw cycles.

Background: Ribophorin II

Ribophorin II encodes a type I integral membrane protein found only in the rough endoplasmic reticulum. The encoded protein is part of an N-oligosaccharyl transferase complex that links high mannose oligosaccharides to asparagine residues found in the Asn-X-Ser/Thr consensus motif of nascent polypeptide chains. This protein is similar in sequence to the yeast oligosaccharyl transferase subunit SWP1.

Alternate Names

RIBIIREC 2.4.1.119, ribophorin IIDolichyl-diphosphooligosaccharide--protein glycosyltransferase 63 kDa subunit, ribophorin-2, RPNII, RPN-IIdolichyl-diphosphooligosaccharide--protein glycosyltransferase subunit 2, SWP1

Gene Symbol

RPN2

Additional Ribophorin II Products

Product Documents for Ribophorin II Antibody (OTI1G9)

Certificate of Analysis

To download a Certificate of Analysis, please enter a lot number in the search box below.

Product Specific Notices for Ribophorin II Antibody (OTI1G9)

This product is for research use only and is not approved for use in humans or in clinical diagnosis. Primary Antibodies are guaranteed for 1 year from date of receipt.

Loading...
Loading...
Loading...
Loading...