Skip to main content

RFXANK Antibody (OTI3E7) - Azide and BSA Free

Novus Biologicals, part of Bio-Techne | Catalog # NBP2-73870

Novus Biologicals, part of Bio-Techne
Catalog #
Availability
Size / Price
Qty
Loading...
NBP2-73870
Conjugate
Catalog #

Key Product Details

Species Reactivity

Human, Mouse, Rat

Applications

Immunohistochemistry, Immunohistochemistry-Paraffin, Western Blot, Flow Cytometry, Immunocytochemistry/ Immunofluorescence, CyTOF-ready

Label

Unconjugated

Antibody Source

Monoclonal Mouse IgG2B Clone # OTI3E7

Format

Azide and BSA Free

Concentration

LYOPH mg/ml

Product Specifications

Immunogen

Full length human recombinant protein of human RFXANK(NP_604389) produced in HEK293T cell.

Reactivity Notes

Please note that this antibody is reactive to Mouse and derived from the same host, Mouse. Mouse-On-Mouse blocking reagent may be needed for IHC and ICC experiments to reduce high background signal. You can find these reagents under catalog numbers PK-2200-NB and MP-2400-NB. Please contact Technical Support if you have any questions.

Clonality

Monoclonal

Host

Mouse

Isotype

IgG2B

Theoretical MW

25.4 kDa.
Disclaimer note: The observed molecular weight of the protein may vary from the listed predicted molecular weight due to post translational modifications, post translation cleavages, relative charges, and other experimental factors.

Scientific Data Images for RFXANK Antibody (OTI3E7) - Azide and BSA Free

Western Blot: RFXANK Antibody (OTI3E7)Azide and BSA Free [NBP2-73870]

Western Blot: RFXANK Antibody (OTI3E7)Azide and BSA Free [NBP2-73870]

Western Blot: RFXANK Antibody (OTI3E7) - Azide and BSA Free [NBP2-73870] - HEK293T cells were transfected with the pCMV6-ENTRY control (Left lane) or pCMV6-ENTRY RFXANK (Right lane) cDNA for 48 hrs and lysed. Equivalent amounts of cell lysates (5 ug per lane) were separated by SDS-PAGE and immunoblotted with anti-RFXANK.
Immunocytochemistry/ Immunofluorescence: RFXANK Antibody (OTI3E7) - Azide and BSA Free [NBP2-73870]

Immunocytochemistry/ Immunofluorescence: RFXANK Antibody (OTI3E7) - Azide and BSA Free [NBP2-73870]

Immunocytochemistry/Immunofluorescence: RFXANK Antibody (OTI3E7) - Azide and BSA Free [NBP2-73870] - Staining of COS7 cells transiently transfected by pCMV6-ENTRY RFXANK.
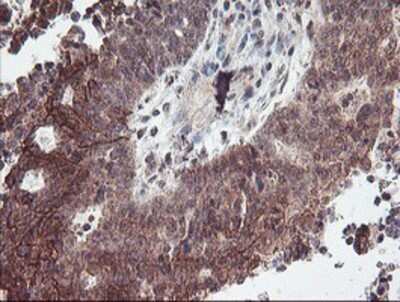
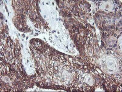
Immunohistochemistry: RFXANK Antibody (OTI3E7) - Azide and BSA Free [NBP2-73870]

Immunohistochemistry: RFXANK Antibody (OTI3E7) - Azide and BSA Free [NBP2-73870]

Immunohistochemistry: RFXANK Antibody (OTI3E7) - Azide and BSA Free [NBP2-73870] - Staining of paraffin-embedded Human tonsil using anti-RFXANK mouse monoclonal antibody.

Applications for RFXANK Antibody (OTI3E7) - Azide and BSA Free

Application
Recommended Usage

Flow Cytometry

1:100

Immunocytochemistry/ Immunofluorescence

1:100

Immunohistochemistry

1:150

Western Blot

1:2000

Formulation, Preparation, and Storage

Purification

Immunogen affinity purified

Reconstitution

we recommend adding 100uL distilled water to a final antibody concentration of about 1 mg/mL. To use this carrier-free antibody for conjugation experiment, we strongly recommend performing another round of desalting process.

Formulation

Lyophilized from PBS (pH 7.3) with 8% Trehalose

Format

Azide and BSA Free

Preservative

No Preservative

Concentration

LYOPH mg/ml

Shipping

The product is shipped with polar packs. Upon receipt, store it immediately at the temperature recommended below.

Stability & Storage

Store at -20C. Avoid freeze-thaw cycles.

Background: RFXANK

RFX-B is the gene responsible for the bare lymphocyte syndrome (BLS) which is characterized by a lack of MHC class II transcription. Subsequently, there is a lack of B and T cell responses to foreign antigens. RFX-B is an MHC class II transcription factor that is defective in BLS.

Alternate Names

ANKRA1Regulatory factor X subunit B, ankyrin repeat-containing regulatory factor X-associated protein, BLS, DNA-binding protein RFXANK, F14150_1, MGC138628, regulatory factor X-associated ankyrin-containing proteinAnkyrin repeat family A protein 1, RFXB, RFX-BRFX-Bdelta4

Gene Symbol

RFXANK

Additional RFXANK Products

Product Documents for RFXANK Antibody (OTI3E7) - Azide and BSA Free

Certificate of Analysis

To download a Certificate of Analysis, please enter a lot number in the search box below.

Product Specific Notices for RFXANK Antibody (OTI3E7) - Azide and BSA Free

This product is for research use only and is not approved for use in humans or in clinical diagnosis. Primary Antibodies are guaranteed for 1 year from date of receipt.

Loading...
Loading...
Loading...
Loading...
Loading...
Loading...