Skip to main content

Rev-erb A alpha/NR1D1 Antibody (JU34-31)

Novus Biologicals, part of Bio-Techne | Catalog # NBP2-75645

Recombinant Monoclonal Antibody.
Novus Biologicals, part of Bio-Techne
Catalog #
Availability
Size / Price
Qty
Loading...
NBP2-75645

Key Product Details

Species Reactivity

Human, Mouse

Applications

Immunohistochemistry, Immunohistochemistry-Paraffin, Western Blot

Label

Unconjugated

Antibody Source

Recombinant Monoclonal Rabbit IgG Clone # JU34-31 expressed in HEK293

Concentration

1 mg/ml

Product Specifications

Immunogen

Recombinant protein within Human Rev-erb A alpha/NR1D1 aa 510-614 / 614. (SwissProt: P20393 Human; SwissProt: Q3UV55 Mouse)

Localization

Nucleus. Cytoplasm.

Clonality

Monoclonal

Host

Rabbit

Isotype

IgG

Theoretical MW

67 kDa.
Disclaimer note: The observed molecular weight of the protein may vary from the listed predicted molecular weight due to post translational modifications, post translation cleavages, relative charges, and other experimental factors.

Description

Novus Biologicals Rabbit Rev-erb A alpha/NR1D1 Antibody (JU34-31) (NBP2-75645) is a recombinant monoclonal antibody validated for use in IHC and WB. Anti-Rev-erb A alpha/NR1D1 Antibody: Cited in 1 publication. All Novus Biologicals antibodies are covered by our 100% guarantee.

Scientific Data Images for Rev-erb A alpha/NR1D1 Antibody (JU34-31)

Western Blot: Rev-erb A alpha/NR1D1 Antibody (JU34-31) [NBP2-75645]

Western Blot: Rev-erb A alpha/NR1D1 Antibody (JU34-31) [NBP2-75645]

Western Blot: Rev-erb A alpha/NR1D1 Antibody (JU34-31) [NBP2-75645] - Analysis of NR1D1 on HepG2 and SiHa cell lysates using anti-NR1D1 antibody at 1/500 dilution.
Immunohistochemistry-Paraffin: Rev-erb A alpha/NR1D1 Antibody (JU34-31) [NBP2-75645]

Immunohistochemistry-Paraffin: Rev-erb A alpha/NR1D1 Antibody (JU34-31) [NBP2-75645]

Immunohistochemistry-Paraffin: Rev-erb A alpha/NR1D1 Antibody (JU34-31) [NBP2-75645] - Analysis of paraffin-embedded mouse fallopian tubes using anti-NR1D1 antibody. Counter stained with hematoxylin.
Immunohistochemistry-Paraffin: Rev-erb A alpha/NR1D1 Antibody (JU34-31) [NBP2-75645]

Immunohistochemistry-Paraffin: Rev-erb A alpha/NR1D1 Antibody (JU34-31) [NBP2-75645]

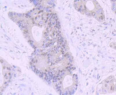
Immunohistochemistry-Paraffin: Rev-erb A alpha/NR1D1 Antibody (JU34-31) [NBP2-75645] - Analysis of paraffin-embedded human colon cancer tissue using anti-NR1D1 antibody. Counter stained with hematoxylin.

Applications for Rev-erb A alpha/NR1D1 Antibody (JU34-31)

Application
Recommended Usage

Immunohistochemistry-Paraffin

1:100

Western Blot

1:500-1:1000

Formulation, Preparation, and Storage

Purification

Protein A purified

Formulation

TBS (pH7.4), 0.05% BSA, 40% Glycerol

Preservative

0.05% Sodium Azide

Concentration

1 mg/ml

Shipping

The product is shipped with polar packs. Upon receipt, store it immediately at the temperature recommended below.

Stability & Storage

Store at 4C short term. Aliquot and store at -20C long term. Avoid freeze-thaw cycles.

Background: Rev-erb A alpha/NR1D1

NR1D1 functions as a constitutive transcriptional repressor. Possible receptor for triiodothyronine

Alternate Names

Ear-1, NR1D1, Reverb A alpha, THRA1, THRAL

Gene Symbol

NR1D1

Additional Rev-erb A alpha/NR1D1 Products

Product Documents for Rev-erb A alpha/NR1D1 Antibody (JU34-31)

Certificate of Analysis

To download a Certificate of Analysis, please enter a lot number in the search box below.

Product Specific Notices for Rev-erb A alpha/NR1D1 Antibody (JU34-31)

This product is for research use only and is not approved for use in humans or in clinical diagnosis. Primary Antibodies are guaranteed for 1 year from date of receipt.

Loading...
Loading...
Loading...
Loading...