Skip to main content

Resistin Antibody (RETN/4326)

Novus Biologicals, part of Bio-Techne | Catalog # NBP3-07244

Novus Biologicals, part of Bio-Techne
Catalog #
Availability
Size / Price
Qty
Loading...
NBP3-07244-100ug
NBP3-07244-20ug

Key Product Details

Species Reactivity

Human

Applications

Immunohistochemistry-Paraffin, Western Blot, Protein Array

Label

Unconjugated

Antibody Source

Monoclonal Mouse IgG2b Kappa Clone # RETN/4326

Concentration

0.2 mg/ml

Product Specifications

Immunogen

Recombinant fragment of human Resistin protein (around aa 19-108) (exact sequence is proprietary) (Uniprot: Q9HD89)

Localization

Secreted

Clonality

Monoclonal

Host

Mouse

Isotype

IgG2b Kappa

Theoretical MW

13 kDa.
Disclaimer note: The observed molecular weight of the protein may vary from the listed predicted molecular weight due to post translational modifications, post translation cleavages, relative charges, and other experimental factors.

Description

200ug/ml of antibody purified from Bioreactor Concentrate by Protein A or G. Prepared in 10 mM PBS with 0.05% BSA & 0.05% azide. Also available WITHOUT BSA & azide at 1.0 mg/ml. (NBP3-08258)

Antibody with azide - store at 2 to 8C. Antibody without azide - store at -20 to -80 C.

Scientific Data Images for Resistin Antibody (RETN/4326)

Western Blot: Resistin Antibody (RETN/4326) [NBP3-07244]

Western Blot: Resistin Antibody (RETN/4326) [NBP3-07244]

Western Blot: Resistin Antibody (RETN/4326) [NBP3-07244] - Western Blot Analysis of human heart tissue lysate using Resistin Mouse Monoclonal Antibody (RETN/4326).
Immunohistochemistry-Paraffin: Resistin Antibody (RETN/4326) [NBP3-07244]

Immunohistochemistry-Paraffin: Resistin Antibody (RETN/4326) [NBP3-07244]

Immunohistochemistry-Paraffin: Resistin Antibody (RETN/4326) [NBP3-07244] - Formalin-fixed, paraffin-embedded human spleen stained with Resistin Mouse Monoclonal Antibody (RETN/4326).
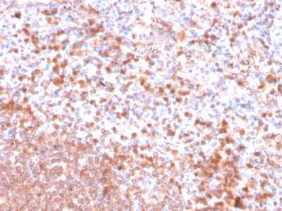
Immunohistochemistry-Paraffin: Resistin Antibody (RETN/4326) [NBP3-07244]

Immunohistochemistry-Paraffin: Resistin Antibody (RETN/4326) [NBP3-07244]

Immunohistochemistry-Paraffin: Resistin Antibody (RETN/4326) [NBP3-07244] - Formalin-fixed, paraffin-embedded human spleen stained with Resistin Mouse Monoclonal Antibody (RETN/4326).

Applications for Resistin Antibody (RETN/4326)

Application
Recommended Usage

Immunohistochemistry-Paraffin

1-2 ug/ml

Western Blot

2-4 ug/ml
Application Notes
Immunohistochemistry (Formalin-fixed): 1-2ug/ml for 30 minutes at RT. Staining of formalin-fixed tissues requires heating tissue sections in 10mM Tris with 1mM EDTA, pH 9.0, for 45 min at 95C followed by cooling at RT for 20 minutes.
Optimal dilution for a specific application should be determined.

Formulation, Preparation, and Storage

Purification

Protein A or G purified

Formulation

10 mM PBS with 0.05% BSA

Preservative

0.05% Sodium Azide

Concentration

0.2 mg/ml

Shipping

The product is shipped with polar packs. Upon receipt, store it immediately at the temperature recommended below.

Stability & Storage

Store at 4C.

Background: Resistin

Human Resistin is a newly-cloned gene that is a hormone that links obesity to Type 2 diabetes.

Alternate Names

ADSF, FIZZ3, HXCP1, RETN

Gene Symbol

RETN

UniProt

Additional Resistin Products

Product Documents for Resistin Antibody (RETN/4326)

Certificate of Analysis

To download a Certificate of Analysis, please enter a lot number in the search box below.

Product Specific Notices for Resistin Antibody (RETN/4326)

This product is for research use only and is not approved for use in humans or in clinical diagnosis. Primary Antibodies are guaranteed for 1 year from date of receipt.

Loading...
Loading...
Loading...
Loading...