Skip to main content

RAB21 Antibody (OTI6E12)

Novus Biologicals, part of Bio-Techne | Catalog # NBP2-45497

Novus Biologicals, part of Bio-Techne
Catalog #
Availability
Size / Price
Qty
Loading...
NBP2-45497

Key Product Details

Species Reactivity

Human, Mouse, Rat, Canine, Monkey

Applications

Immunohistochemistry, Immunohistochemistry-Paraffin, Western Blot, Immunocytochemistry/ Immunofluorescence

Label

Unconjugated

Antibody Source

Monoclonal Mouse IgG2B Clone # OTI6E12

Concentration

1 mg/ml

Product Specifications

Immunogen

Full length human recombinant protein of human RAB21(NP_055814) produced in HEK293T cell.

Reactivity Notes

Please note that this antibody is reactive to Mouse and derived from the same host, Mouse. Mouse-On-Mouse blocking reagent may be needed for IHC and ICC experiments to reduce high background signal. You can find these reagents under catalog numbers PK-2200-NB and MP-2400-NB. Please contact Technical Support if you have any questions.

Clonality

Monoclonal

Host

Mouse

Isotype

IgG2B

Theoretical MW

24.2 kDa.
Disclaimer note: The observed molecular weight of the protein may vary from the listed predicted molecular weight due to post translational modifications, post translation cleavages, relative charges, and other experimental factors.

Description

Novus Biologicals Mouse RAB21 Antibody (OTI6E12) (NBP2-45497) is a monoclonal antibody validated for use in IHC, WB and ICC/IF. All Novus Biologicals antibodies are covered by our 100% guarantee.

Scientific Data Images for RAB21 Antibody (OTI6E12)

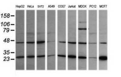
Western Blot: RAB21 Antibody (OTI6E12) [NBP2-45497]

Western Blot: RAB21 Antibody (OTI6E12) [NBP2-45497]

Western Blot: RAB21 Antibody (OTI6E12) [NBP2-45497] - Analysis of HEK293T cells were transfected with the pCMV6-ENTRY control (Left lane) or pCMV6-ENTRY RAB21.
Immunocytochemistry/ Immunofluorescence: RAB21 Antibody (OTI6E12) [NBP2-45497]

Immunocytochemistry/ Immunofluorescence: RAB21 Antibody (OTI6E12) [NBP2-45497]

Immunocytochemistry/Immunofluorescence: RAB21 Antibody (OTI6E12) [NBP2-45497] - Analysis of COS7 cells transiently transfected by pCMV6-ENTRY RAB21.
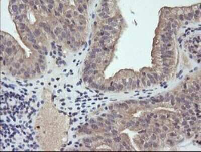
Immunohistochemistry: RAB21 Antibody (OTI6E12) [NBP2-45497]

Immunohistochemistry: RAB21 Antibody (OTI6E12) [NBP2-45497]

Immunohistochemistry: RAB21 Antibody (OTI6E12) [NBP2-45497] - Analysis of Human Kidney tissue. (Heat-induced epitope retrieval by 10mM citric buffer, pH6.0, 120C for 3min)

Applications for RAB21 Antibody (OTI6E12)

Application
Recommended Usage

Immunocytochemistry/ Immunofluorescence

1:100

Immunohistochemistry

1:150

Immunohistochemistry-Paraffin

1:150

Western Blot

1:200-2000

Formulation, Preparation, and Storage

Purification

Immunogen affinity purified

Formulation

PBS (pH 7.3), 1.0% BSA and 50% Glycerol

Preservative

0.02% Sodium Azide

Concentration

1 mg/ml

Shipping

The product is shipped with polar packs. Upon receipt, store it immediately at the temperature recommended below.

Stability & Storage

Store at -20C. Avoid freeze-thaw cycles.

Background: RAB21

RAB21 belongs to the RAB family of small GTP-binding proteins that regulate intracellular vesicle targeting (Opdam et al., 2000 [PubMed 10887961]).[supplied by OMIM]

Alternate Names

KIAA0118ras-related protein Rab-21, RAB21, member RAS oncogene family

Gene Symbol

RAB21

Additional RAB21 Products

Product Documents for RAB21 Antibody (OTI6E12)

Certificate of Analysis

To download a Certificate of Analysis, please enter a lot number in the search box below.

Product Specific Notices for RAB21 Antibody (OTI6E12)

This product is for research use only and is not approved for use in humans or in clinical diagnosis. Primary Antibodies are guaranteed for 1 year from date of receipt.

Loading...
Loading...
Loading...
Loading...