PTPN23 Antibody - BSA Free
Novus Biologicals, part of Bio-Techne | Catalog # NBP3-38106
Key Product Details
Species Reactivity
Mouse, Rat
Applications
Immunohistochemistry, Immunohistochemistry-Paraffin, Western Blot, ELISA
Label
Unconjugated
Antibody Source
Polyclonal Rabbit IgG
Format
BSA Free
Concentration
Please see the vial label for concentration. If unlisted please contact technical services.
Product Specifications
Immunogen
Recombinant fusion protein containing a sequence corresponding to amino acids 1230-1450 of human PTPN23 (NP_056281.1).
Sequence:
DSNRVVLRSGKDDYINASCVEGLSPYCPPLVATQAPLPGTAADFWLMVHEQKVSVIVMLVSEAEMEKQKVARYFPTERGQPMVHGALSLALSSVRSTETHVERVLSLQFRDQSLKRSLVHLHFPTWPELGLPDSPSNLLRFIQEVHAHYLHQRPLHTPIIVHCSSGVGRTGAFALLYAAVQEVEAGNGIPELPQLVRRMRQQRKHMLQEKLHLRFCYEAVV
Sequence:
DSNRVVLRSGKDDYINASCVEGLSPYCPPLVATQAPLPGTAADFWLMVHEQKVSVIVMLVSEAEMEKQKVARYFPTERGQPMVHGALSLALSSVRSTETHVERVLSLQFRDQSLKRSLVHLHFPTWPELGLPDSPSNLLRFIQEVHAHYLHQRPLHTPIIVHCSSGVGRTGAFALLYAAVQEVEAGNGIPELPQLVRRMRQQRKHMLQEKLHLRFCYEAVV
Clonality
Polyclonal
Host
Rabbit
Isotype
IgG
Theoretical MW
179 kDa.
Disclaimer note: The observed molecular weight of the protein may vary from the listed predicted molecular weight due to post translational modifications, post translation cleavages, relative charges, and other experimental factors.
Disclaimer note: The observed molecular weight of the protein may vary from the listed predicted molecular weight due to post translational modifications, post translation cleavages, relative charges, and other experimental factors.
Description
Novus Biologicals Rabbit PTPN23 Antibody - BSA Free (NBP3-38106) is a polyclonal antibody validated for use in IHC, WB and ELISA. All Novus Biologicals antibodies are covered by our 100% guarantee.
Scientific Data Images for PTPN23 Antibody - BSA Free
Western Blot: PTPN23 Antibody [NBP3-38106] -
Western Blot: PTPN23 Antibody [NBP3-38106] - Western blot analysis of various lysates using PTPN23 Rabbit pAb at 1:1000 dilution.Secondary antibody: HRP-conjugated Goat anti-Rabbit IgG (H+L) at 1:10000 dilution.
Lysates/proteins: 25ug per lane.
Blocking buffer: 3% nonfat dry milk in TBST.
Detection: ECL Basic Kit.
Exposure time: 5s.
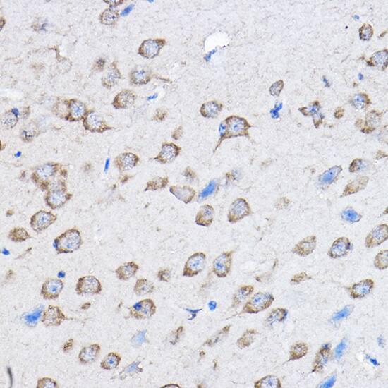
Immunohistochemistry: PTPN23 Antibody [NBP3-38106] -
Immunohistochemistry: PTPN23 Antibody [NBP3-38106] - Immunohistochemistry analysis of paraffin-embedded Mouse brain using PTPN23 Rabbit pAb at dilution of 1:100 (40x lens). High pressure antigen retrieval performed with 0.01M Citrate Bufferr (pH 6.0) prior to IHC staining.Immunohistochemistry: PTPN23 Antibody [NBP3-38106] -
Immunohistochemistry: PTPN23 Antibody [NBP3-38106] - Immunohistochemistry analysis of paraffin-embedded Rat brain using PTPN23 Rabbit pAb at dilution of 1:100 (40x lens). High pressure antigen retrieval performed with 0.01M Citrate Bufferr (pH 6.0) prior to IHC staining.Applications for PTPN23 Antibody - BSA Free
Application
Recommended Usage
Immunohistochemistry-Paraffin
1:50 - 1:200
Western Blot
1:500 - 1:2000
Formulation, Preparation, and Storage
Purification
Affinity purified
Formulation
PBS (pH 7.3), 50% glycerol
Format
BSA Free
Preservative
0.02% Sodium Azide
Concentration
Please see the vial label for concentration. If unlisted please contact technical services.
Shipping
The product is shipped with polar packs. Upon receipt, store it immediately at the temperature recommended below.
Stability & Storage
Store at -20C. Avoid freeze-thaw cycles.
Background: PTPN23
Long Name
Tyrosine-protein phosphatase non-receptor type 23
Alternate Names
HD-PTP, KIAA1471, PTP-TD14
Gene Symbol
PTPN23
Additional PTPN23 Products
Product Documents for PTPN23 Antibody - BSA Free
Product Specific Notices for PTPN23 Antibody - BSA Free
This product is for research use only and is not approved for use in humans or in clinical diagnosis. Primary Antibodies are guaranteed for 1 year from date of receipt.
Loading...
Loading...
Loading...
Loading...