Skip to main content

PTHLH/PTHrP Antibody (D4) - BSA Free

Novus Biologicals, part of Bio-Techne | Catalog # NBP3-41793

Novus Biologicals, part of Bio-Techne
Catalog #
Availability
Size / Price
Qty
Loading...
NBP3-41793

Key Product Details

Species Reactivity

Human, Rat

Applications

Immunohistochemistry, Immunohistochemistry-Paraffin, Western Blot

Label

Unconjugated

Antibody Source

Monoclonal Mouse IgG1 kappa Clone # D4

Format

BSA Free

Concentration

1 mg/ml

Product Specifications

Immunogen

Immunized with recombinant Rat PTHLH/PTHrP (Uniprot#: P13085; Ala37-His177 (Uniprot#: P13085)

Clonality

Monoclonal

Host

Mouse

Isotype

IgG1 kappa

Description

Novus Biologicals Mouse PTHLH/PTHrP Antibody (D4) - BSA Free (NBP3-41793) is a monoclonal antibody validated for use in IHC and WB. All Novus Biologicals antibodies are covered by our 100% guarantee.

Scientific Data Images for PTHLH/PTHrP Antibody (D4) - BSA Free

PTHLH/PTHrP Antibody (D4)

Immunohistochemistry-Paraffin: PTHLH/PTHrP Antibody (D4) [NBP3-41793] -

Immunohistochemistry-Paraffin: PTHLH/PTHrP Antibody (D4) [NBP3-41793] - DAB staining on IHC-P; Sample: Rat Spinal cord Tissue; Primary Ab: 10ug/ml NBP3-41793; Second Ab: 2ug/mL HRP-Linked Caprine Anti-Mouse IgG Polyclonal Antibody
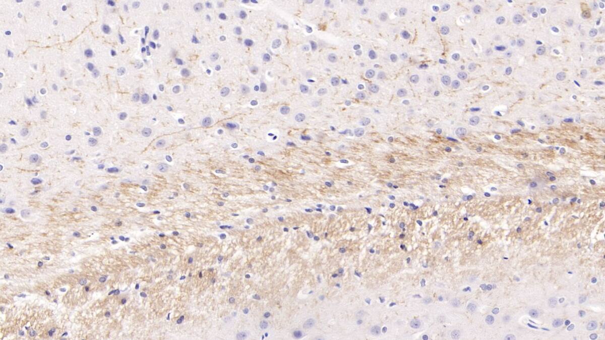
PTHLH/PTHrP Antibody (D4)

Immunohistochemistry-Paraffin: PTHLH/PTHrP Antibody (D4) [NBP3-41793] -

Immunohistochemistry-Paraffin: PTHLH/PTHrP Antibody (D4) [NBP3-41793] - DAB staining on IHC-P; Sample: Rat Cerebrum Tissue; Primary Ab: 10ug/ml NBP3-41793; Second Ab: 2ug/mL HRP-Linked Caprine Anti-Mouse IgG Polyclonal Antibody
PTHLH/PTHrP Antibody (D4)

Western Blot: PTHLH/PTHrP Antibody (D4) [NBP3-41793] -

Western Blot: PTHLH/PTHrP Antibody (D4) [NBP3-41793] - Sample: A549 cell lysate; Primary Ab: 2ug/ml NBP3-41793; Second Ab: 0.2ug/mL HRP-Linked Caprine Anti-Mouse IgG Polyclonal Antibody

Applications for PTHLH/PTHrP Antibody (D4) - BSA Free

Application
Recommended Usage

Immunohistochemistry

5-20ug/mL

Immunohistochemistry-Paraffin

5-20ug/mL

Western Blot

0.5-2ug/mL

Formulation, Preparation, and Storage

Purification

Protein A or G purified

Formulation

0.01M PBS, pH7.4, 50% glycerol

Format

BSA Free

Preservative

0.05% Proclin 300

Concentration

1 mg/ml

Shipping

The product is shipped with polar packs. Upon receipt, store it immediately at the temperature recommended below.

Stability & Storage

Store at 4C short term. Aliquot and store at -20C long term. Avoid freeze-thaw cycles.

Background: PTHLH/PTHrP

PTHLH is encoded by this gene is a member of the parathyroid hormone family. This hormone regulates endochondral bone development and epithelial-mesenchymal interactions during the formation of the mammary glands and teeth. This hormone is involved in lactation possibly by regulating the mobilization and transfer of calcium to the milk. The receptor of this hormone, PTHR1, is responsible for most cases of humoral hypercalcemia of malignancy. Four alternatively spliced transcript variants encoding two distinct isoforms have been observed. There is also evidence for alternative translation initiation from non-AUG (CUG and GUG) start sites, in-frame and downstream of the initiator AUG codon, to give rise to nuclear forms of this hormone. [provided by RefSeq]

Long Name

Parathyroid Hormone-like Hormone

Alternate Names

BDE2, HHM, Osteostatin, PTHRP

Gene Symbol

PTHLH

Additional PTHLH/PTHrP Products

Product Documents for PTHLH/PTHrP Antibody (D4) - BSA Free

Certificate of Analysis

To download a Certificate of Analysis, please enter a lot number in the search box below.

Product Specific Notices for PTHLH/PTHrP Antibody (D4) - BSA Free

This product is for research use only and is not approved for use in humans or in clinical diagnosis. Primary Antibodies are guaranteed for 1 year from date of receipt.

Loading...
Loading...
Loading...
Loading...