Skip to main content

PSMA4 Antibody (OTI4B8) - Azide and BSA Free

Novus Biologicals, part of Bio-Techne | Catalog # NBP2-73690

Novus Biologicals, part of Bio-Techne

Key Product Details

Species Reactivity

Human, Mouse, Rat, Monkey, Primate

Applications

Immunohistochemistry, Immunohistochemistry-Paraffin, Western Blot

Label

Unconjugated

Antibody Source

Monoclonal Mouse IgG1 Clone # OTI4B8

Format

Azide and BSA Free

Concentration

LYOPH mg/ml

Product Specifications

Immunogen

Full length human recombinant protein of human PSMA4(NP_002780) produced in HEK293T cell.

Reactivity Notes

Please note that this antibody is reactive to Mouse and derived from the same host, Mouse. Mouse-On-Mouse blocking reagent may be needed for IHC and ICC experiments to reduce high background signal. You can find these reagents under catalog numbers PK-2200-NB and MP-2400-NB. Please contact Technical Support if you have any questions.

Clonality

Monoclonal

Host

Mouse

Isotype

IgG1

Theoretical MW

29.3 kDa.
Disclaimer note: The observed molecular weight of the protein may vary from the listed predicted molecular weight due to post translational modifications, post translation cleavages, relative charges, and other experimental factors.

Description

Novus Biologicals Mouse PSMA4 Antibody (OTI4B8) - Azide and BSA Free (NBP2-01608) is a monoclonal antibody validated for use in IHC and WB. All Novus Biologicals antibodies are covered by our 100% guarantee.

Scientific Data Images for PSMA4 Antibody (OTI4B8) - Azide and BSA Free

Western Blot: PSMA4 Antibody (OTI4B8)Azide and BSA Free [NBP2-73690]

Western Blot: PSMA4 Antibody (OTI4B8)Azide and BSA Free [NBP2-73690]

Western Blot: PSMA4 Antibody (OTI4B8) - Azide and BSA Free [NBP2-73690] - HEK293T cells were transfected with the pCMV6-ENTRY control (Left lane) or pCMV6-ENTRY PSMA4 (Right lane) cDNA for 48 hrs and lysed. Equivalent amounts of cell lysates (5 ug per lane) were separated by SDS-PAGE and immunoblotted with anti-PSMA4.
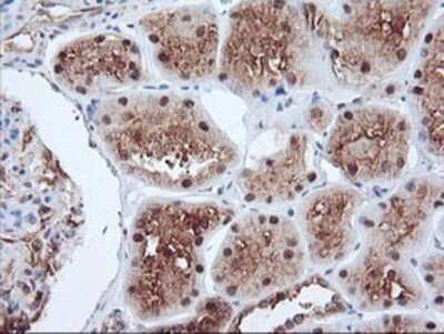
Immunohistochemistry: PSMA4 Antibody (OTI4B8) - Azide and BSA Free [NBP2-73690]

Immunohistochemistry: PSMA4 Antibody (OTI4B8) - Azide and BSA Free [NBP2-73690]

Immunohistochemistry: PSMA4 Antibody (OTI4B8) - Azide and BSA Free [NBP2-73690] - Staining of paraffin-embedded Human pancreas tissue using anti-PSMA4 mouse monoclonal antibody.
Western Blot: PSMA4 Antibody (OTI4B8)Azide and BSA Free [NBP2-73690]

Western Blot: PSMA4 Antibody (OTI4B8)Azide and BSA Free [NBP2-73690]

Western Blot: PSMA4 Antibody (OTI4B8) - Azide and BSA Free [NBP2-73690] - Analysis of extracts (35ug) from 9 different cell lines by using anti-PSMA4 monoclonal antibody.

Applications for PSMA4 Antibody (OTI4B8) - Azide and BSA Free

Application
Recommended Usage

Immunohistochemistry

1:150

Western Blot

1:500-2000

Formulation, Preparation, and Storage

Purification

Immunogen affinity purified

Reconstitution

we recommend adding 100uL distilled water to a final antibody concentration of about 1 mg/mL. To use this carrier-free antibody for conjugation experiment, we strongly recommend performing another round of desalting process.

Formulation

Lyophilized from PBS (pH 7.3) with 8% Trehalose

Format

Azide and BSA Free

Preservative

No Preservative

Concentration

LYOPH mg/ml

Shipping

The product is shipped with polar packs. Upon receipt, store it immediately at the temperature recommended below.

Stability & Storage

Store at -20C. Avoid freeze-thaw cycles.

Background: PSMA4

The proteasome is a multicatalytic proteinase complex with a highly ordered ring-shaped 20S core structure. The core structure is composed of 4 rings of 28 non-identical subunits; 2 rings are composed of 7 alpha subunits and 2 rings are composed of 7 beta subunits. Proteasomes are distributed throughout eukaryotic cells at a high concentration and cleave peptides in an ATP/ubiquitin-dependent process in a non-lysosomal pathway. An essential function of a modified proteasome, the immunoproteasome, is the processing of class I MHC peptides. This gene encodes a member of the peptidase T1A family, that is a 20S core alpha subunit. Three alternatively spliced transcript variants encoding different isoforms have been found for this gene.

Long Name

Proteasome subunit alpha type-4

Alternate Names

HC9, PSC9

Gene Symbol

PSMA4

Additional PSMA4 Products

Product Documents for PSMA4 Antibody (OTI4B8) - Azide and BSA Free

Certificate of Analysis

To download a Certificate of Analysis, please enter a lot number in the search box below.

Product Specific Notices for PSMA4 Antibody (OTI4B8) - Azide and BSA Free

This product is for research use only and is not approved for use in humans or in clinical diagnosis. Primary Antibodies are guaranteed for 1 year from date of receipt.

Loading...
Loading...
Loading...
Loading...
Loading...