Skip to main content

PSMA4 Antibody (OTI4B8)

Novus Biologicals, part of Bio-Techne | Catalog # NBP2-01608

Novus Biologicals, part of Bio-Techne
Catalog #
Availability
Size / Price
Qty
Loading...
NBP2-01608

Key Product Details

Species Reactivity

Human, Mouse, Rat, Monkey, Primate

Applications

Immunohistochemistry, Immunohistochemistry-Paraffin, Western Blot

Label

Unconjugated

Antibody Source

Monoclonal Mouse IgG1 Clone # OTI4B8

Concentration

1 mg/ml

Product Specifications

Immunogen

Full length human recombinant protein of human PSMA4(NP_002780) produced in HEK293T cell.

Reactivity Notes

Please note that this antibody is reactive to Mouse and derived from the same host, Mouse. Mouse-On-Mouse blocking reagent may be needed for IHC and ICC experiments to reduce high background signal. You can find these reagents under catalog numbers PK-2200-NB and MP-2400-NB. Please contact Technical Support if you have any questions.

Clonality

Monoclonal

Host

Mouse

Isotype

IgG1

Theoretical MW

29.3 kDa.
Disclaimer note: The observed molecular weight of the protein may vary from the listed predicted molecular weight due to post translational modifications, post translation cleavages, relative charges, and other experimental factors.

Description

Novus Biologicals Mouse PSMA4 Antibody (OTI4B8) (NBP2-01608) is a monoclonal antibody validated for use in IHC and WB. All Novus Biologicals antibodies are covered by our 100% guarantee.

Scientific Data Images for PSMA4 Antibody (OTI4B8)

Western Blot: PSMA4 Antibody (4B8) [NBP2-01608] Analysis of extracts (35ug) from 9 different cell lines by using anti-PSMA4 monoclonal antibody.
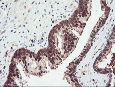
Immunohistochemistry-Paraffin: PSMA4 Antibody (OTI4B8) [NBP2-01608]

Immunohistochemistry-Paraffin: PSMA4 Antibody (OTI4B8) [NBP2-01608]

Immunohistochemistry-Paraffin: PSMA4 Antibody (4B8) [NBP2-01608] - Staining of paraffin-embedded Human prostate tissue using anti-PSMA4 mouse monoclonal antibody.
Western Blot: PSMA4 Antibody (OTI4B8) [NBP2-01608]

Western Blot: PSMA4 Antibody (OTI4B8) [NBP2-01608]

Western Blot: PSMA4 Antibody (4B8) [NBP2-01608] - HEK293T cells were transfected with the pCMV6-ENTRY control (Left lane) or pCMV6-ENTRY PSMA4 (Right lane) cDNA for 48 hrs and lysed. Equivalent amounts of cell lysates (5 ug per lane) were separated by SDS-PAGE and immunoblotted with anti-PSMA4.

Applications for PSMA4 Antibody (OTI4B8)

Application
Recommended Usage

Immunohistochemistry

1:150

Immunohistochemistry-Paraffin

1:150

Western Blot

1:500-2000

Formulation, Preparation, and Storage

Purification

Immunogen affinity purified

Formulation

PBS (pH 7.3), 1.0% BSA and 50% Glycerol

Preservative

0.02% Sodium Azide

Concentration

1 mg/ml

Shipping

The product is shipped with polar packs. Upon receipt, store it immediately at the temperature recommended below.

Stability & Storage

Store at -20C. Avoid freeze-thaw cycles.

Background: PSMA4

The proteasome is a multicatalytic proteinase complex with a highly ordered ring-shaped 20S core structure. The core structure is composed of 4 rings of 28 non-identical subunits; 2 rings are composed of 7 alpha subunits and 2 rings are composed of 7 beta subunits. Proteasomes are distributed throughout eukaryotic cells at a high concentration and cleave peptides in an ATP/ubiquitin-dependent process in a non-lysosomal pathway. An essential function of a modified proteasome, the immunoproteasome, is the processing of class I MHC peptides. This gene encodes a member of the peptidase T1A family, that is a 20S core alpha subunit. Three alternatively spliced transcript variants encoding different isoforms have been found for this gene. [provided by RefSeq].

Long Name

Proteasome subunit alpha type-4

Alternate Names

HC9, PSC9

Entrez Gene IDs

5685 (Human)

Gene Symbol

PSMA4

Additional PSMA4 Products

Product Documents for PSMA4 Antibody (OTI4B8)

Certificate of Analysis

To download a Certificate of Analysis, please enter a lot number in the search box below.

Product Specific Notices for PSMA4 Antibody (OTI4B8)

This product is for research use only and is not approved for use in humans or in clinical diagnosis. Primary Antibodies are guaranteed for 1 year from date of receipt.

Loading...
Loading...
Loading...
Loading...