Skip to main content

PRPK Antibody (OTI5B2) - Azide and BSA Free

Novus Biologicals, part of Bio-Techne | Catalog # NBP2-73675

Novus Biologicals, part of Bio-Techne

Key Product Details

Species Reactivity

Human, Mouse, Rat

Applications

Immunohistochemistry, Immunohistochemistry-Paraffin, Western Blot

Label

Unconjugated

Antibody Source

Monoclonal Mouse IgG2B Clone # OTI5B2

Format

Azide and BSA Free

Concentration

LYOPH mg/ml

Product Specifications

Immunogen

Full length human recombinant protein of human TP53RK (NP_291028) produced in E.coli.

Reactivity Notes

Please note that this antibody is reactive to Mouse and derived from the same host, Mouse. Mouse-On-Mouse blocking reagent may be needed for IHC and ICC experiments to reduce high background signal. You can find these reagents under catalog numbers PK-2200-NB and MP-2400-NB. Please contact Technical Support if you have any questions.

Clonality

Monoclonal

Host

Mouse

Isotype

IgG2B

Theoretical MW

28 kDa.
Disclaimer note: The observed molecular weight of the protein may vary from the listed predicted molecular weight due to post translational modifications, post translation cleavages, relative charges, and other experimental factors.

Description

Novus Biologicals Mouse PRPK Antibody (OTI5B2) - Azide and BSA Free (NBP2-46196) is a monoclonal antibody validated for use in IHC and WB. All Novus Biologicals antibodies are covered by our 100% guarantee.

Scientific Data Images for PRPK Antibody (OTI5B2) - Azide and BSA Free

Western Blot: PRPK Antibody (OTI5B2)Azide and BSA Free [NBP2-73675]

Western Blot: PRPK Antibody (OTI5B2)Azide and BSA Free [NBP2-73675]

Western Blot: PRPK Antibody (OTI5B2) - Azide and BSA Free [NBP2-73675] - Analysis of HEK293T cells were transfected with the pCMV6-ENTRY control (Left lane) or pCMV6-ENTRY PRPK.
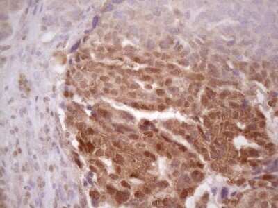
Immunohistochemistry: PRPK Antibody (OTI5B2) - Azide and BSA Free [NBP2-73675]

Immunohistochemistry: PRPK Antibody (OTI5B2) - Azide and BSA Free [NBP2-73675]

Immunohistochemistry: PRPK Antibody (OTI5B2) - Azide and BSA Free [NBP2-73675] - Analysis of Carcinoma of Human liver tissue. (Heat-induced epitope retrieval by 1 mM EDTA in 10mM Tris, pH8.5, 120C for 3min)
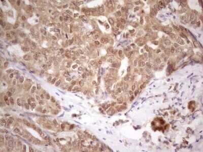
Immunohistochemistry: PRPK Antibody (OTI5B2) - Azide and BSA Free [NBP2-73675]

Immunohistochemistry: PRPK Antibody (OTI5B2) - Azide and BSA Free [NBP2-73675]

Immunohistochemistry: PRPK Antibody (OTI5B2) - Azide and BSA Free [NBP2-73675] - Analysis of Adenocarcinoma of Human ovary tissue. (Heat-induced epitope retrieval by 1 mM EDTA in 10mM Tris, pH8.5, 120C for 3min)

Applications for PRPK Antibody (OTI5B2) - Azide and BSA Free

Application
Recommended Usage

Immunohistochemistry

1:150

Western Blot

1:2000

Formulation, Preparation, and Storage

Purification

Immunogen affinity purified

Reconstitution

we recommend adding 100uL distilled water to a final antibody concentration of about 1 mg/mL. To use this carrier-free antibody for conjugation experiment, we strongly recommend performing another round of desalting process.

Formulation

Lyophilized from PBS (pH 7.3) with 8% Trehalose

Format

Azide and BSA Free

Preservative

No Preservative

Concentration

LYOPH mg/ml

Shipping

The product is shipped with polar packs. Upon receipt, store it immediately at the temperature recommended below.

Stability & Storage

Store at -20C. Avoid freeze-thaw cycles.

Background: PRPK

Protein kinase that phosphorylates 'Ser-15' of p53/TP53 protein and may therefore participate in itsactivation

Alternate Names

BUD32, C20orf64, chromosome 20 open reading frame 64, dJ101A2, dJ101A2.2, EC 2.7.11.1, Nori-2, Nori-2p, p53-related protein kinase, PRPK, TP53 regulating kinase, TP53-regulating kinase

Gene Symbol

TP53RK

Additional PRPK Products

Product Documents for PRPK Antibody (OTI5B2) - Azide and BSA Free

Certificate of Analysis

To download a Certificate of Analysis, please enter a lot number in the search box below.

Product Specific Notices for PRPK Antibody (OTI5B2) - Azide and BSA Free

This product is for research use only and is not approved for use in humans or in clinical diagnosis. Primary Antibodies are guaranteed for 1 year from date of receipt.

Loading...
Loading...
Loading...
Loading...
Loading...