PRPK Antibody (OTI5B2)
Novus Biologicals, part of Bio-Techne | Catalog # NBP2-46196
Conjugate
Catalog #
Forumulation
Catalog #
Key Product Details
Species Reactivity
Human, Mouse, Rat
Applications
Immunohistochemistry, Immunohistochemistry-Paraffin, Western Blot
Label
Unconjugated
Antibody Source
Monoclonal Mouse IgG2B Clone # OTI5B2
Concentration
1 mg/ml
Product Specifications
Immunogen
Full length human recombinant protein of human TP53RK (NP_291028) produced in E.coli.
Reactivity Notes
Please note that this antibody is reactive to Mouse and derived from the same host, Mouse. Mouse-On-Mouse blocking reagent may be needed for IHC and ICC experiments to reduce high background signal. You can find these reagents under catalog numbers PK-2200-NB and MP-2400-NB. Please contact Technical Support if you have any questions.
Clonality
Monoclonal
Host
Mouse
Isotype
IgG2B
Theoretical MW
28 kDa.
Disclaimer note: The observed molecular weight of the protein may vary from the listed predicted molecular weight due to post translational modifications, post translation cleavages, relative charges, and other experimental factors.
Disclaimer note: The observed molecular weight of the protein may vary from the listed predicted molecular weight due to post translational modifications, post translation cleavages, relative charges, and other experimental factors.
Description
Novus Biologicals Mouse PRPK Antibody (OTI5B2) (NBP2-46196) is a monoclonal antibody validated for use in IHC and WB. All Novus Biologicals antibodies are covered by our 100% guarantee.
Scientific Data Images for PRPK Antibody (OTI5B2)
Western Blot: PRPK Antibody (OTI5B2) [NBP2-46196]
Western Blot: PRPK Antibody (5B2) [NBP2-46196] - Analysis of HEK293T cells were transfected with the pCMV6-ENTRY control (Left lane) or pCMV6-ENTRY PRPK.Immunohistochemistry: PRPK Antibody (OTI5B2) [NBP2-46196]
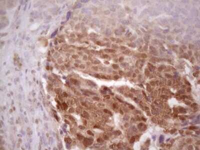
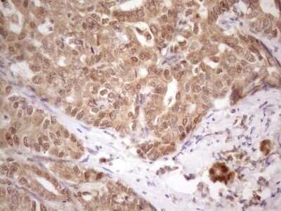
Immunohistochemistry: PRPK Antibody (5B2) [NBP2-46196] - Analysis of Adenocarcinoma of Human ovary tissue. (Heat-induced epitope retrieval by 1 mM EDTA in 10mM Tris, pH8.5, 120C for 3min)Immunohistochemistry: PRPK Antibody (OTI5B2) [NBP2-46196]
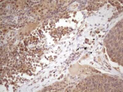
Immunohistochemistry: PRPK Antibody (5B2) [NBP2-46196] - Analysis of Carcinoma of Human liver tissue. (Heat-induced epitope retrieval by 1 mM EDTA in 10mM Tris, pH8.5, 120C for 3min)Applications for PRPK Antibody (OTI5B2)
Application
Recommended Usage
Immunohistochemistry
1:150
Western Blot
1:2000
Formulation, Preparation, and Storage
Purification
Immunogen affinity purified
Formulation
PBS (pH 7.3), 1.0% BSA and 50% Glycerol
Preservative
0.02% Sodium Azide
Concentration
1 mg/ml
Shipping
The product is shipped with polar packs. Upon receipt, store it immediately at the temperature recommended below.
Stability & Storage
Store at -20C. Avoid freeze-thaw cycles.
Background: PRPK
Alternate Names
BUD32, C20orf64, chromosome 20 open reading frame 64, dJ101A2, dJ101A2.2, EC 2.7.11.1, Nori-2, Nori-2p, p53-related protein kinase, PRPK, TP53 regulating kinase, TP53-regulating kinase
Gene Symbol
TP53RK
Additional PRPK Products
Product Documents for PRPK Antibody (OTI5B2)
Product Specific Notices for PRPK Antibody (OTI5B2)
This product is for research use only and is not approved for use in humans or in clinical diagnosis. Primary Antibodies are guaranteed for 1 year from date of receipt.
Loading...
Loading...
Loading...
Loading...