Skip to main content

Protein Phosphatase 1C gamma Antibody - BSA Free

Novus Biologicals, part of Bio-Techne | Catalog # NBP1-32858

Novus Biologicals, part of Bio-Techne
Catalog #
Availability
Size / Price
Qty
Loading...
NBP1-32858

Key Product Details

Species Reactivity

Validated:

Human, Mouse

Cited:

Human

Predicted:

Xenopus (100%). Backed by our 100% Guarantee.

Applications

Validated:

Immunohistochemistry, Immunohistochemistry-Paraffin, Western Blot, Immunocytochemistry/ Immunofluorescence, Immunoprecipitation

Cited:

Western Blot, Immunoprecipitation

Label

Unconjugated

Antibody Source

Polyclonal Rabbit IgG

Format

BSA Free

Concentration

Concentrations vary lot to lot. See vial label for concentration. If unlisted please contact technical services.

Product Specifications

Immunogen

Recombinant protein encompassing a sequence within the center region of human Protein Phosphatase 1C gamma. The exact sequence is proprietary.

Localization

Cytoplasm, Nucleus

Clonality

Polyclonal

Host

Rabbit

Isotype

IgG

Theoretical MW

37 kDa.
Disclaimer note: The observed molecular weight of the protein may vary from the listed predicted molecular weight due to post translational modifications, post translation cleavages, relative charges, and other experimental factors.

Description

Novus Biologicals Rabbit Protein Phosphatase 1C gamma Antibody - BSA Free (NBP1-32858) is a polyclonal antibody validated for use in IHC, WB, ICC/IF and IP. Anti-Protein Phosphatase 1C gamma Antibody: Cited in 1 publication. All Novus Biologicals antibodies are covered by our 100% guarantee.

Scientific Data Images for Protein Phosphatase 1C gamma Antibody - BSA Free

Western Blot: Protein Phosphatase 1C gamma Antibody [NBP1-32858]

Western Blot: Protein Phosphatase 1C gamma Antibody [NBP1-32858]

Western Blot: Protein Phosphatase 1C gamma Antibody [NBP1-32858] - Various whole cell extracts (30 ug) were separated by 10% SDS-PAGE, and the membrane was blotted with PP1C gamma antibody [N1C2] diluted at 1:1000. The HRP-conjugated anti-rabbit IgG antibody (NBP2-19301) was used to detect the primary antibody.
Immunocytochemistry/ Immunofluorescence: Protein Phosphatase 1C gamma Antibody [NBP1-32858]

Immunocytochemistry/ Immunofluorescence: Protein Phosphatase 1C gamma Antibody [NBP1-32858]

Immunocytochemistry/Immunofluorescence: Protein Phosphatase 1C gamma Antibody [NBP1-32858] - Paraformaldehyde-fixed HeLa, using antibody at 1:200 dilution.
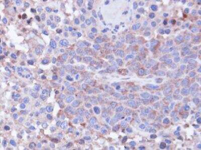
Immunohistochemistry-Paraffin: Protein Phosphatase 1C gamma Antibody [NBP1-32858]

Immunohistochemistry-Paraffin: Protein Phosphatase 1C gamma Antibody [NBP1-32858]

Immunohistochemistry-Paraffin: Protein Phosphatase 1C gamma Antibody [NBP1-32858] - SAS xenograft, using PPP1CC antibody at 1:100 dilution. Antigen Retrieval: Trilogy™ (EDTA based, pH 8.0) buffer, 15min.

Applications for Protein Phosphatase 1C gamma Antibody - BSA Free

Application
Recommended Usage

Immunocytochemistry/ Immunofluorescence

1:100-1:1000

Immunohistochemistry

1:100-1:1000

Immunohistochemistry-Paraffin

1:100-1:1000

Immunoprecipitation

Reported in scientific literature (PMID: 24722282)

Western Blot

1:500-1:3000

Formulation, Preparation, and Storage

Purification

Antigen Affinity-purified

Formulation

PBS, 20% Glycerol

Format

BSA Free

Preservative

0.025% Proclin 300

Concentration

Concentrations vary lot to lot. See vial label for concentration. If unlisted please contact technical services.

Shipping

The product is shipped with polar packs. Upon receipt, store it immediately at the temperature recommended below.

Stability & Storage

Aliquot and store at -20C or -80C. Avoid freeze-thaw cycles.

Background: Protein Phosphatase 1C gamma

Protein phosphatase 1 (PP1) is essential for cell division, and participates in the regulation of glycogen metabolism, muscle contractility and protein synthesis. The protein is involved in regulation of ionic conductances and long term synaptic plasticity. It may play an important role in dephosphorylating substrates such as the postsynaptic density associated Ca (2+)/calmodulin dependent protein kinase II. PP1 comprises a catalytic subunit, PPP1CA, PPP1CB or PPP1CC (PP1C gamma), which is folded into its native form by inhibitor 2 and glycogen synthetase kinase 3, and then complexed to one or several targeting or regulatory subunits. PPP1R12A and PPP1R12B mediate binding to myosin. PPP1R3A, PPP1R3B, PPP1R3C and PPP1R3D mediate binding to glycogen. Interacts with cyanobacterial toxin microcystin; disulfide-linked. Interacts with PPP1R7.

Alternate Names

EC 3.1.3.16, PP-1G, PP1gamma, PPP1G, protein phosphatase 1, catalytic subunit, gamma isoform, protein phosphatase 1, catalytic subunit, gamma isozyme, Protein phosphatase 1C catalytic subunit, serine/threonine phosphatase 1 gamma, serine/threonine-protein phosphatase PP1-gamma catalytic subunit

Gene Symbol

PPP1CC

Additional Protein Phosphatase 1C gamma Products

Product Documents for Protein Phosphatase 1C gamma Antibody - BSA Free

Certificate of Analysis

To download a Certificate of Analysis, please enter a lot number in the search box below.

Product Specific Notices for Protein Phosphatase 1C gamma Antibody - BSA Free

This product is for research use only and is not approved for use in humans or in clinical diagnosis. Primary Antibodies are guaranteed for 1 year from date of receipt.

Loading...
Loading...
Loading...
Loading...

⚠ WARNING: This product can expose you to chemicals including mercury, which is known to the State of California to cause reproductive toxicity with developmental effects.  For more information go to www.P65Warnings.ca.gov.