Skip to main content

Protein Kinase D2 Antibody (OTI5G1) - Azide and BSA Free

Novus Biologicals, part of Bio-Techne | Catalog # NBP2-73664

Novus Biologicals, part of Bio-Techne
Catalog #
Availability
Size / Price
Qty
Loading...
NBP2-73664

Key Product Details

Species Reactivity

Human, Mouse, Rat, Canine, Monkey, Primate

Applications

Immunohistochemistry, Immunohistochemistry-Paraffin, Western Blot, Flow Cytometry, Immunocytochemistry/ Immunofluorescence, CyTOF-ready

Label

Unconjugated

Antibody Source

Monoclonal Mouse IgG2B Clone # OTI5G1

Format

Azide and BSA Free

Concentration

LYOPH mg/ml

Product Specifications

Immunogen

Full length human recombinant protein of human PRKD2 (NP_057541) produced in HEK293T cell.

Reactivity Notes

Please note that this antibody is reactive to Mouse and derived from the same host, Mouse. Mouse-On-Mouse blocking reagent may be needed for IHC and ICC experiments to reduce high background signal. You can find these reagents under catalog numbers PK-2200-NB and MP-2400-NB. Please contact Technical Support if you have any questions.

Clonality

Monoclonal

Host

Mouse

Isotype

IgG2B

Theoretical MW

96.5 kDa.
Disclaimer note: The observed molecular weight of the protein may vary from the listed predicted molecular weight due to post translational modifications, post translation cleavages, relative charges, and other experimental factors.

Description

Novus Biologicals Mouse Protein Kinase D2 Antibody (OTI5G1) - Azide and BSA Free (NBP2-02984) is a monoclonal antibody validated for use in IHC, WB, Flow and ICC/IF. All Novus Biologicals antibodies are covered by our 100% guarantee.

Scientific Data Images for Protein Kinase D2 Antibody (OTI5G1) - Azide and BSA Free

Western Blot: Protein Kinase D2 Antibody (OTI5G1)Azide and BSA Free [NBP2-73664]

Western Blot: Protein Kinase D2 Antibody (OTI5G1)Azide and BSA Free [NBP2-73664]

Western Blot: Protein Kinase D2 Antibody (OTI5G1) - Azide and BSA Free [NBP2-73664] - HEK293T cells were transfected with the pCMV6-ENTRY control (Left lane) or pCMV6-ENTRY Protein Kinase D2 (Right lane) cDNA for 48 hrs and lysed. Equivalent amounts of cell lysates (5 ug per lane) were separated by SDS-PAGE and immunoblotted with anti-Prot
Immunocytochemistry/ Immunofluorescence: Protein Kinase D2 Antibody (OTI5G1) - Azide and BSA Free [NBP2-73664]

Immunocytochemistry/ Immunofluorescence: Protein Kinase D2 Antibody (OTI5G1) - Azide and BSA Free [NBP2-73664]

Immunocytochemistry/Immunofluorescence: Protein Kinase D2 Antibody (OTI5G1) - Azide and BSA Free [NBP2-73664] - Staining of COS7 cells transiently transfected by pCMV6-ENTRY Protein Kinase D2.
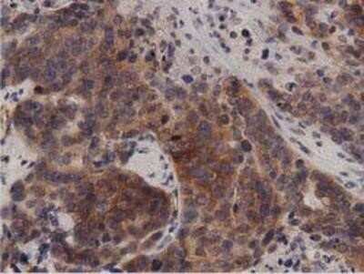
Immunohistochemistry: Protein Kinase D2 Antibody (OTI5G1) - Azide and BSA Free [NBP2-73664]

Immunohistochemistry: Protein Kinase D2 Antibody (OTI5G1) - Azide and BSA Free [NBP2-73664]

Immunohistochemistry: Protein Kinase D2 Antibody (OTI5G1) - Azide and BSA Free [NBP2-73664] - Staining of paraffin-embedded Carcinoma of Human bladder tissue using anti-Protein Kinase D2 mouse monoclonal antibody.

Applications for Protein Kinase D2 Antibody (OTI5G1) - Azide and BSA Free

Application
Recommended Usage

Flow Cytometry

1:100

Immunocytochemistry/ Immunofluorescence

1:100

Immunohistochemistry

1:150

Western Blot

1:500-2000

Formulation, Preparation, and Storage

Purification

Immunogen affinity purified

Reconstitution

we recommend adding 100uL distilled water to a final antibody concentration of about 1 mg/mL. To use this carrier-free antibody for conjugation experiment, we strongly recommend performing another round of desalting process.

Formulation

Lyophilized from PBS (pH 7.3) with 8% Trehalose

Format

Azide and BSA Free

Preservative

No Preservative

Concentration

LYOPH mg/ml

Shipping

The product is shipped with polar packs. Upon receipt, store it immediately at the temperature recommended below.

Stability & Storage

Store at -20C. Avoid freeze-thaw cycles.

Background: PRKD2

Protein kinases constitute a large superfamily of enzymes with key regulatory functions in nearly all signal transmission processes of eukaryotic cells; PKD2 is a novel phorbol ester and growth factor-stimulated protein kinase (1). PKD2 is widely expressed in human and murine tissues and in cell lines such as HL60. In vivo, phorbol ester has been shown to autophosphorylate PKD2 in a synergistic fashion. Phosphorylation of Ser(876) of PKD2 correlated with the activation status of the kinase. The first zinc finger-like domain shares 88% identity to the corresponding domains in PKD/PKC-mu and PKC-nu (2).

Long Name

Protein Kinase D2

Alternate Names

nPKC-D2

Gene Symbol

PRKD2

Additional PRKD2 Products

Product Documents for Protein Kinase D2 Antibody (OTI5G1) - Azide and BSA Free

Certificate of Analysis

To download a Certificate of Analysis, please enter a lot number in the search box below.

Product Specific Notices for Protein Kinase D2 Antibody (OTI5G1) - Azide and BSA Free

This product is for research use only and is not approved for use in humans or in clinical diagnosis. Primary Antibodies are guaranteed for 1 year from date of receipt.

Loading...
Loading...
Loading...
Loading...
Loading...
Loading...