Skip to main content

Protein Kinase D2 Antibody (OTI5G1)

Novus Biologicals, part of Bio-Techne | Catalog # NBP2-02984

Novus Biologicals, part of Bio-Techne
Catalog #
Availability
Size / Price
Qty
Loading...
NBP2-02984

Key Product Details

Species Reactivity

Human, Mouse, Rat, Canine, Monkey, Primate

Applications

Immunohistochemistry, Immunohistochemistry-Paraffin, Western Blot, Flow Cytometry, Immunocytochemistry/ Immunofluorescence

Label

Unconjugated

Antibody Source

Monoclonal Mouse IgG2B Clone # OTI5G1

Concentration

0.72 mg/ml

Product Specifications

Immunogen

Full length human recombinant protein of human PRKD2 (NP_057541) produced in HEK293T cell.

Reactivity Notes

Please note that this antibody is reactive to Mouse and derived from the same host, Mouse. Mouse-On-Mouse blocking reagent may be needed for IHC and ICC experiments to reduce high background signal. You can find these reagents under catalog numbers PK-2200-NB and MP-2400-NB. Please contact Technical Support if you have any questions.

Clonality

Monoclonal

Host

Mouse

Isotype

IgG2B

Theoretical MW

96.5 kDa.
Disclaimer note: The observed molecular weight of the protein may vary from the listed predicted molecular weight due to post translational modifications, post translation cleavages, relative charges, and other experimental factors.

Description

Novus Biologicals Mouse Protein Kinase D2 Antibody (OTI5G1) (NBP2-02984) is a monoclonal antibody validated for use in IHC, WB, Flow and ICC/IF. All Novus Biologicals antibodies are covered by our 100% guarantee.

Scientific Data Images for Protein Kinase D2 Antibody (OTI5G1)

Western Blot: Protein Kinase D2 Antibody (OTI5G1) [NBP2-02984]

Western Blot: Protein Kinase D2 Antibody (OTI5G1) [NBP2-02984]

Western Blot: Protein Kinase D2 Antibody (5G1) [NBP2-02984] - HEK293T cells were transfected with the pCMV6-ENTRY control (Left lane) or pCMV6-ENTRY Protein Kinase D2 (Right lane) cDNA for 48 hrs and lysed. Equivalent amounts of cell lysates (5 ug per lane) were separated by SDS-PAGE and immunoblotted with anti-Protein Kinase D2.
Immunocytochemistry/ Immunofluorescence: Protein Kinase D2 Antibody (OTI5G1) [NBP2-02984]

Immunocytochemistry/ Immunofluorescence: Protein Kinase D2 Antibody (OTI5G1) [NBP2-02984]

Immunocytochemistry/Immunofluorescence: Protein Kinase D2 Antibody (5G1) [NBP2-02984] - Staining of COS7 cells transiently transfected by pCMV6-ENTRY Protein Kinase D2.
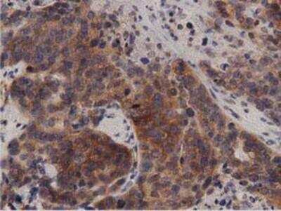
Immunohistochemistry-Paraffin: Protein Kinase D2 Antibody (OTI5G1) [NBP2-02984]

Immunohistochemistry-Paraffin: Protein Kinase D2 Antibody (OTI5G1) [NBP2-02984]

Immunohistochemistry-Paraffin: Protein Kinase D2 Antibody (5G1) [NBP2-02984] - Staining of paraffin-embedded Human Kidney tissue using anti-Protein Kinase D2 mouse monoclonal antibody.

Applications for Protein Kinase D2 Antibody (OTI5G1)

Application
Recommended Usage

Flow Cytometry

1:100

Immunocytochemistry/ Immunofluorescence

1:100

Immunohistochemistry

1:150

Immunohistochemistry-Paraffin

1:150

Western Blot

1:500-2000

Formulation, Preparation, and Storage

Purification

Immunogen affinity purified

Formulation

PBS (pH 7.3), 1.0% BSA and 50% Glycerol

Preservative

0.02% Sodium Azide

Concentration

0.72 mg/ml

Shipping

The product is shipped with polar packs. Upon receipt, store it immediately at the temperature recommended below.

Stability & Storage

Store at -20C. Avoid freeze-thaw cycles.

Background: PRKD2

The protein encoded by this gene belongs to the protein kinase D (PKD) family of serine/threonine protein kinases. This kinase can be activated by phorbol esters as well as by gastrin via the cholecystokinin B receptor (CCKBR) in gastric cancer cells. It can bind to diacylglycerol (DAG) in the trans-Golgi network (TGN) and may regulate basolateral membrane protein exit from TGN. Alternative splicing results in multiple transcript variants encoding different isoforms. [provided by RefSeq].

Long Name

Protein Kinase D2

Alternate Names

nPKC-D2

Entrez Gene IDs

25865 (Human)

Gene Symbol

PRKD2

Additional PRKD2 Products

Product Documents for Protein Kinase D2 Antibody (OTI5G1)

Certificate of Analysis

To download a Certificate of Analysis, please enter a lot number in the search box below.

Product Specific Notices for Protein Kinase D2 Antibody (OTI5G1)

This product is for research use only and is not approved for use in humans or in clinical diagnosis. Primary Antibodies are guaranteed for 1 year from date of receipt.

Loading...
Loading...
Loading...
Loading...
Loading...